MC-30 Automated Digital Cell Morphology Analyzer product images
Automated Digital Cell Morphology Analyzer

MC-30

Your 1st Reliable Morphology Partner

Display the ultra clarity and authenticity of each cell
The high-performance objective lens and advanced image sensor offer ultra resolution images to reappear the real view under the microscope.
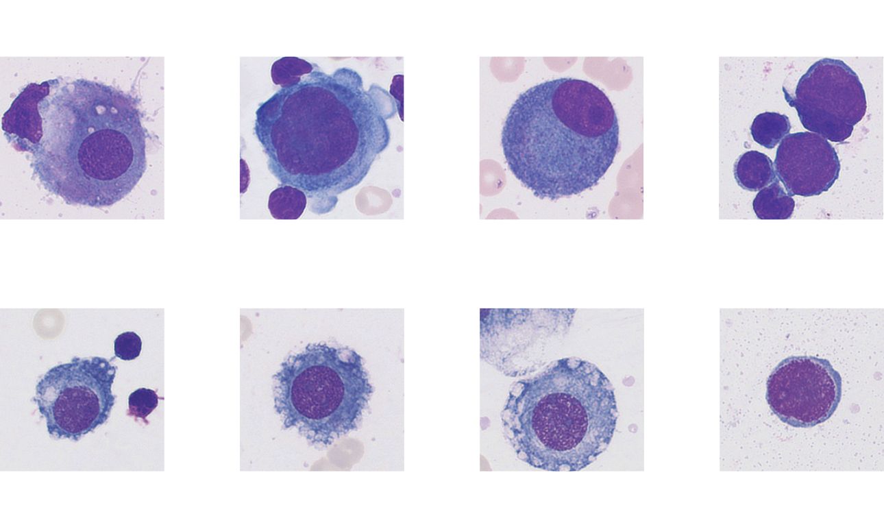
Display the ultra clarity and authenticity of each cell - Peripheral Blood
Peripheral Blood
Display the ultra clarity and authenticity of each cell - Body Fluid
Body Fluid
Next
Previous
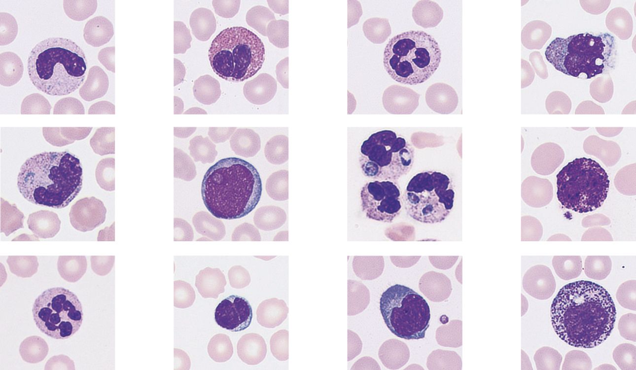
Capture comprehensive pathological features of each cell
Multi-layer fusion technology

Simulates manual focus adjustment and accurately restores the pathological features of cells, which is helpful for early screening of blood diseases (such as acute promyelocytic leukemia) and infectious diseases.

Multi-layer fusion technology workflow
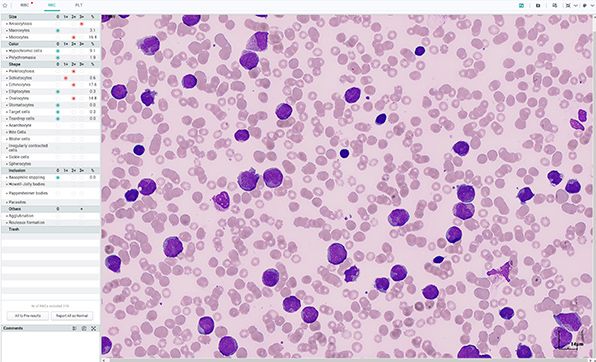
Reliable cell pre-classification and pre-characterization
WBC
RBC
PLT
Accurately pre-classifies white blood cells, especially abnormal cells, such as blast cells, reactive lymphocytes, etc.
20210918103348_7020
Pre-characterized RBC morphology can be modified with one click.
20210918103403_3573
Precise PLT Estimation
20210918113629_3675
High-speed FLY-MODE ensures the accurate - PLT clump identification
20210923092455_7512
Remote review, consultation & training on demand anywhere
Remote review from Hospital Intranet to each labs
  • The labXpert software optimizes remote review in multiple scenarios

  • Digital cell images & cases support morphology learning, training and communication

A complete and user-friendly compact solution

Comprehensive solution for hematology analysis, slide preparation, staining, and morphological analysis that meets all the needs of laboratories.

MC-30 Automated Digital Cell Morphology Analyzer product images
  • High compatibility

    Supports mixed testing of peripheral blood and body fluid smears
    Supports manual smears that meet slide preparation and staining requirements
  • User-friendly interface

  • Easy maintenance

Slide preparation and staining equipment
Slide preparation and staining equipment
false