Ultrasound Journal 27 - Non-Hodgkin Lymphoma: The Great Simulator

2024-07-08

Special thanks to Dr. Magaly Quispaya Condori, Radiology Resident at Hospital Obrero No.1, La Paz, Bolivia and Dr. Jaime Count Vargas, Radiologist, Hospital Obrero No.1, La Paz, Bolivia for contributing the case.

Summary:

Non-Hodgkin lymphoma (NHL) involving the salivary glands is rare, accounting for 5% of all primary extranodal NHL and 2% of all salivary gland neoplasms.
We present a clinical case of a 71-year-old male patient who presented with a slow-growing, painless bilateral mandibular increase for 2 years, transferred with the diagnosis of Sjogren's Syndrome and treatment with corticosteroids. Complementary examinations and biopsy were requested, on two occasions due to differences in the results, after and later on chronic evolution without treatment, the diagnosis of diffuse large B-cell lymphoma (DLBCL) secondary to transformation of a follicular lymphoma with infiltration to salivary glands was confirmed.

Key words: Non-Hodgkin's lymphoma, extranodal lymphoma, salivary glands.

Introduction

Salivary gland lymphomas (SGL) are rare, with an incidence of 5%. The most common location is the parotid (75%), followed by the submandibular (23%) and the sublingual (1%). Most of them are NHL and, less commonly, DLBCL secondary to follicular lymphoma transformation [1].

Case report

A 71-year-old male presented with a slow-growing (2 years) and painless bilateral maxillary enlargement of the maxillary region. On physical examination, parotid volume increased without inflammatory signs and adenomegaly (Fig. 1). Complementary studies and biopsy are requested.

 

The first ultrasound reported: Signs compatible with Sjogren's syndrome and non-specific lymphadenopathy; in addition to CT of the C/C neck: squamous cell neoplasm with lymph node metastases was concluded. FNA puncture with the initial diagnosis: chronic mumps, fibroconnective tissue and lymphoid with lymphoid hyperplasia. Laboratory: GB 22000 mg/dl, IgG 2908 mg/dl, SSA(Ro) negative.

lymphoma-simulator-fig1-pc
Fig. 1. Physical examination shows an enlargement of the parotid glands.

Given that incongruity of results and approximately 3 months later, new studies were carried out: Ultrasound as an initial approximation method due to its feasibility, performed in this second evaluation with Resona i9 ultrasound machine, with L14-3Ws high-frequency linear transducer, for the evaluation of salivary glands and cervical lymph nodes and with SC6-1s convex transducer, in the evaluation of the abdomen in which the following are evidenced: Enlarged parotid, submandibular and lacrimal glands, with hypoechogenic images in all their extension, with vascularity preserved at color Doppler/Power Doppler (Fig. 2, 3 and 4), associated with lymph nodes (lymph nodes of rounded morphology, with loss of their grayscale echogenic fat center and with loss of the vascular hilum to color Doppler) at all cervical levels with a predominance of submandibular, bilaterally (Fig. 5), and a conglomerate of retroperitoneal lymphadenopathies of similar characteristics (Fig. 6).In addition to CT scans of the neck-thorax-abdomen-pelvis C/C: lymphoma with lacrimal involvement, parotid, pleuropulmonary, retroperitoneal and renal. Biopsy: diffuse large B-cell lymphoma originating in follicular lymphoma (Figs. 7, 8 and 9).

lymphoma-simulator-fig2-pc
Fig. 2. Submandibular glands: (A) right, (B) left. Both were presented with hypoechogenic images in their entire extension (white arrow), with vascularity preserved on color Doppler/Power Doppler (dashed arrow)).
lymphoma-simulator-fig3-pc
Fig. 3. Parotid glands: (A) right, (B) left. Both were presented with hypoechogenic images (white arrow), with vascularity preserved on color Doppler/Power Doppler (dashed arrow).
lymphoma-simulator-fig4-pc
Fig. 4. Lacrimal glands: (A) right, (B) left. Both were presented with hypoechogenic images (white arrow), with vascularity preserved on color Doppler/Power Doppler (dashed arrow).
lymphoma-simulator-fig5-pc
Fig. 5 Multiple cervical lymphadenopathy: (A) Left laterocervical lymphadenopathy (B) Left submandibular lymphadenopathy: rounded morphology, with loss echogenic fat center on grayscale (white arrow), loss of vascular hilum on color Doppler (dashed arrow).
lymphoma-simulator-fig6-pc
Fig 6: Retroperitoneal lymph node cluster: (A) US shows hypodense grayscale lymph node cluster (white arrow) with color/Power Doppler conserved vascularity (dashed arrow). (B) Contrasted CT scan shows retroperitoneal lymph node conglomerate with faint enhancement on contrast agent (red arrows).
lymphoma-simulator-fig7-pc
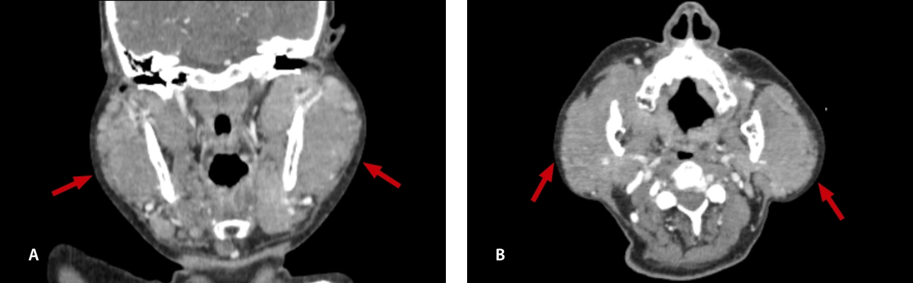
Fig 7: Contrasted CT scan: coronal reconstruction (A) axial section (B) shows heterogeneous parotid glands enlarged (red arrows).
lymphoma-simulator-fig8-pc
Fig. 8: Contrasted CT scan: (A) axial section (B) coronal reconstruction: shows heterogeneous lacrimal glands, enlarged in size (red arrows).
lymphoma-simulator-fig9-pc
Fig. 9: Contrasted CT scan: (A) axial section shows paravertebral conglomerate (bulky mass) (white arrows), (B) coronal reconstruction shows bilateral cervical lymphadenopathy (black arrows).

Discussion

SGL is rare, comprising 5% of all primary extranodal NHL and 2% of salivary gland neoplasms [1].

 

It manifests as a painless mass with or without multiple swollen cervical lymph nodes. Clinically, SGL tends to be misdiagnosed like other salivary tumors [2].

 

The diagnostic role of imaging in lymphomas of the parotid gland is controversial [3].

 

Ultrasound is a useful imaging tool in evaluation. As a method, it is safe (as it does not use ionizing radiation), accessible, low-cost, and reproducible. In addition, it is acquired in real time without risk to the patient and can be portable. Grayscale ultrasound is widely used in the evaluation of the number, size, site, shape, edges, edema of adjacent soft tissues, and internal architecture of cervical lymph nodes. Moreover, both color Doppler ultrasound and Power Doppler ultrasound are routine to evaluate intranodal vascular distribution. With the use of Spectral Doppler ultrasound, the vascular resistance of the lymph nodes can also be measured [4].

 

The use of CT provides important information on tumor site and extent, relationship with the parapharyngeal space and carotid vessels, as well as the presence of ipsi and contralateral subclinical lesions, soft tissue involvement and staging [5].

 

CT and MRI findings include variations in the contours and internal structure of the masses: solitary solid, solitary cystic-solid, diffuse cystic-solid and multiple solid [6].

Conclusion

Non-Hodgkin lymphoma involving salivary glands is a fairly rare entity, it represents a challenge in clinical-radiological diagnosis, like the case of this patient. Imaging studies play a fundamental role in diagnosis and staging.

References:

[1]. Jaehne M., Ussmuller J., Jakel KT., Zschaber R. La presentación clínica de los linfomas no Hodgkin de las glándulas salivales principales. Acta Otolaryngol 2001; 121 : 647–651.

[2]. Zhang XY., Wang ZM. Relevance on the diagnosis of malignant lymphoma of the salivary gland. World J Clin Cases. 2020 Jul 6;8(13):2717-2726.

[3]. Fee E. W., Tran L. Evaluation of a patient with a parotid tumour. Arch Otolaryngol Head Neck Surg 2003; 129: 937-8

[4]. Ahuja AT, Ying M. Sonographic evaluation of cervical lymph nodes. AJR Am J Roentgenol. 2005;184(5):1691–9.

[5]. The Non-Hodgkin's Lymphoma Classification Project. A clinical evaluation of the International Lymphoma Study Group classification of non-Hodgkin's lymphoma. Blood 1997; 89: 3909-18.

[6]. Zhu L., Wang P., Yang J., Yu Q. Non-Hodgkin ymphoma involving the parotid gland: CT and MR imaging findings. Dentomaxillofac Radiol. 2013;42(9):20130046.

false