Ultrasound Journal 26 - Evaluation of the percutaneous radio-frequency thermal ablation zone using CEUS

2024-06-14

thermal-ablation-kv-pc

Special thanks to Dr Jakub Piotrkowski PhD, Clinical Hospital of the Ministry of Internal Affairs and Administration with the Warmia-Mazury Oncology Centre in Olsztyn, Poland for sharing this case.

Case report
A 57-year-old male patient was treated for rectal cancer. To date, rectal resection and chemotherapy have been performed according to the applicable standard. A follow-up CT scan revealed a lesion in the left liver lobe consistent with a metastasis. Percutaneous radio-frequency thermal ablation (Fig.1) was performed by an experienced operator.
thermal-ablation-fig1-pc
Fig. 1. Percutaneous radio-frequency thermal ablation under ultrasound guidance. Visible electrode (arrow) located in area of the focal lesion. An increasing gas volume was visible during the procedure at the site of thermal ablation in the form of hyperechoic reflections.
Next
Previous
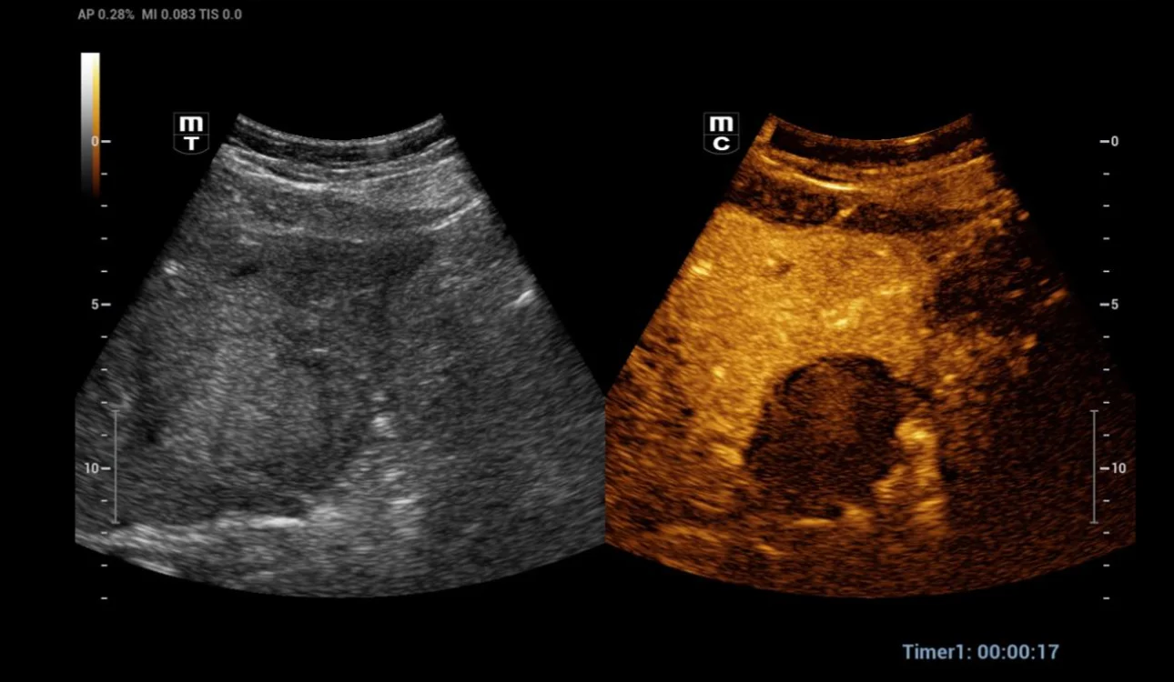
After a month, a CEUS exam was performed to assess the post-thermal ablation zone. The post-thermal ablation zone in the arterial phase after injection of 1.2 ml of Sonovue intravenously (Fig 2). A clear margin of necrosis developed from post-thermal ablation was visible. The necrotic region didn’t undergo contrast enhancement in any phase of the examination. In the portal phase (Fig 3-4), contrast washout was observed in the liver parenchyma adjacent to the ablation zone (arrows). Then a CT scan was performed to verify the case (Fig 5). A hepatic vein adjacent to the post-thermal ablation recurrence area was visible.
thermal-ablation-fig2-pc
Fig. 2 The post-thermal ablation zone in the arterial phase (17th second). A clear margin of necrosis developed from post-thermal ablation was visible.
thermal-ablation-fig3-pc
Fig. 3 In the portal phase (42th second), contrast washout was observed in the liver parenchyma adjacent to the ablation zone (arrows).
thermal-ablation-fig4-pc
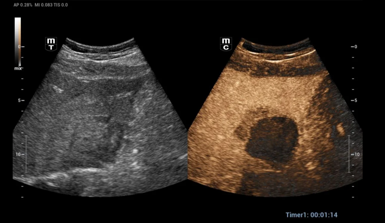
Fig. 4 Mix image of grayscale and contrast-enhanced US (portal phase).
thermal-ablation-fig5-pc
Fig. 5 Venous phase of CT image. A hepatic vein adjacent to the post-thermal ablation recurrence area was visible.
Next
Previous

Discussion

According to the available reference literature, recurrence in the lesion zone after thermal ablation in the liver occurs in approximately 12% of cases [1]. Based on the analysis of factors influencing the local recurrence post-thermal ablation, the relations to the adjacent vessels were listed. Both the size of the adjacent vessel and the absolute distance between the ablation zone and any near vessels affect the risk of recurrence in the treated area [2]. In this case, during the ablation procedure, the blood flow in the hepatic vein decreased the temperature in the area of thermal ablation, which directly reduced the effectiveness of the procedure in the area affected by high-frequency current. CEUS is a good tool for assessing the post-thermal ablation zone, among others, intraoperatively. Its first day sensitivity and specificity are comparable to CT [3]. For CEUS, the criteria for thermal ablation failure or local recurrence include irregular enhancement in the arterial phase and contrast washout in the portal phase [4].

Reference:

[1]. Mulier S, Ni Y, Jamart J, Ruers T, Marchal G, Michel L. Local recurrence after hepatic radiofrequency coagulation: multivariate meta-analysis and review of contributing factors. Ann Surg. 2005 Aug;242(2):158-71.

[2]. Odet J, Pellegrinelli J, Varbedian O, Truntzer C, Midulla M, Ghiringhelli F, Orry D. Predictive Factors of Local Recurrence after Colorectal Cancer Liver Metastases Thermal Ablation. J Imaging. 2023 Mar 10;9(3):66.

[3]. Meloni M.F., Andreano A., Franza E., Passamonti M., Lazzaroni S. Contrast enhanced ultrasound: Should it play a role in immediate evaluation of liver tumors following thermal ablation? Eur. J. Radiol. 2012;81:e897–e902.

[4]. Mauri G, Porazzi E, Cova L, Restelli U, Tondolo T, Bonfanti M, Cerri A, Ierace T, Croce D, Solbiati L. Intraprocedural contrast-enhanced ultrasound (CEUS) in liver percutaneous radiofrequency ablation: clinical impact and health technology assessment. Insights Imaging. 2014 Apr;5(2):209-16.

false