Ultrasound Journal 28 - Diagnosis of heart damage in hypereosinophilic syndrome using multiparametric transthoracic echocardiography

2024-08-12

Special thanks to Petrovich Julia Sergeevna, doctor of ultrasound diagnostics in State Budgetary Healthcare institution of Novosibirsk region «State Novosibirsk Regional Clinical Hospital» for contributing the case.

Case description:

A 34-year-old woman who recently recovered from COVID-19 was admitted to the clinic with complaints of weakness, rapid heartbeat, shortness of breath, hoarseness, arm weakness, and difficulty swallowing. Examination revealed muffled heart sounds, systolic murmur, tachycardia, tachypnea, liver, and spleen enlargement.

 

Laboratory tests revealed leukocytosis 20.3x109/l, eosinophilia - 6.87x109 (33.8%), mild anemia (Hb 109 g/l) thrombocytopenia (104x109/l), increase in urea level (16.2 mmol/l), AlT – (48.9 units/l), LDH (570 units/l), GGTP (51.3 units/l) and Troponin I (1300 pg/ml).

 

The myelogram shows a decrease in the cells number, without blastosis. Severe eosinophilia (56%) is represented by all forms of maturation, mainly mature ones.

 

Pulmonary congestion, bilateral hydrothorax, hydroperitoneum, hepatosplenomegaly, chest and abdominal lymphadenopathy were detected on CT. Pulmonary embolism was excluded based on the CT results.
The brain MRI revealed a combination of focal microcirculatory embolic lesions and lymphoproliferative lesions in the left occipital region.

 

A molecular blood test did not reveal any rearrangement of marker genes for myeloid/lymphoid formations with eosinophilia. No evidence of secondary eosinophilia was found.

Imaging findings:

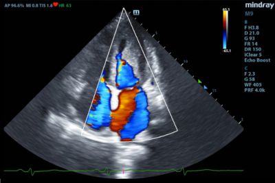
Two-dimensional transthoracic echocardiography was performed on a Mindray M9 ultrasound machine using monocrystal sector SP5-1s transducer. The examination revealed a 20 mm thick hyperechoic mass in the left ventricular (LV) cavity, closely associated with the inferior and inferolateral segments of the LV myocardium. This mass involved the posteromedial papillary muscle, posterior mitral valve leaflet and caused moderate mitral regurgitation. (Figure 1,2).

Fig. 1 - Hyperechoic mass in the LV cavity involving myocardium, papillary muscle and posterior mitral valve leaflet.
Fig. 2 - Mitral and tricuspid regurgitations.

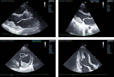
A slight dilatation of both atria, moderate tricuspid regurgitation, overload, and decreased contractility of the right ventricle (TAPSE = 12), moderate pulmonary hypertension (Figure 3), and restrictive transmitral blood flow (Figure 4) were also detected. LV ejection fraction (EF) was preserved (65%).

Fig. 3 - The echocardiography patterns of pulmonary hypertension.
Fig. 4 - The restrictive pattern of trans-mitral flow.

Speckle tracking was performed to assess LV contractility. According to TTQA results global longitudinal strain (GLS), Global longitudinal Strain Rate (GLSR), Global Radial strain (GRS) were decreased. (Figure 5)

Fig. 5 - TT QA revealed reduced LV GLS (-) - 13%, GLSSR – 0,87 1/s, GRS - 28%.

Cardiac MRI revealed widespread endocardial fibrosis, microvascular obstruction, moderate thickening of the myocardium of the inferior and lateral walls of the LV, and a thin thrombus in the LV cavity.

Diagnosis:

Hypereosinophilic syndrome (HES), a myeloproliferative variant with heart, lungs, liver, spleen, and lymph nodes damaging. Loeffler's endomyocarditis. Moderate mitral and tricuspid insufficiency. Chronic heart failure, NYHA IV. Encephalopathy, left-sided hemiparesis, mild cognitive impairment.

Treatment:

After treatment with Imatinib, diuretics, beta-blockers, and glucocorticoids, positive clinical changes were noted: heart failure and neurological deficit decreased; exercise tolerance increased; leukocytosis, eosinophilia and elevation of troponin decreased. Positive dynamics were noted on brain MRI.

Discussion:

Hypereosinophilic syndrome (HES) is a heterogeneous group of diseases with different etiologies, clinical manifestations, and prognosis. Myeloproliferative HES is a very rare disorder with an age-adjusted incidence of approximately 0.036 per 100,000 adults [1]. It is characterized by peripheral blood eosinophilia (more than 1,5× 109/l) affecting the heart, lungs, skin, nervous system, and gastrointestinal tract in patients without secondary causes of eosinophilia. Loeffler's endocarditis is a rare variant of HES, manifested by eosinophilic infiltration, endocardial and myocardial damage, platelet activation and the development of intracavitary and intravascular thrombosis and thromboembolism. The mitral valve is affected due to eosinophilic infiltration in 42% of cases.

 

There is no conclusive data regarding the timing of therapy initiation in the absence of identified organ damage. The improvement in the eosinophil count is usually associated with improvement in organ dysfunction. Echocardiography today can be considered a routine technique that helps accurately determine heart damage to start therapy on time.

Conclusion:

Considering the clinical and echocardiographic data, heart failure with preserved LV EF in this clinical case developed as a result of heart structures damaging and impaired LV deformation against the background of mitral and tricuspid valve insufficiency. Mindray TTQA technology has made it possible to conduct high-precision non-Doppler assessment of LV myocardial function.

References:

[1]. Crane MM, Chang CM, Kobayashi MG, Weller PF. Incidence of myeloproliferative hypereosinophilic syndrome in the United States and an estimate of all hypereosinophilic syndrome incidence. J Allergy Clin Immunol. 2010 Jul;126(1):179-81.

[2]. Christopher J F Spry, Poh-Chun Tai, John Davies, The cardiotoxicity of eosinophils, Postgraduate Medical Journal, Volume 59, Issue 689, March 1983, Pages 147–151,

[3]. NMPN Study Group. Guidelines for the diagnosis and treatment of eosinophilia. 2nd version, September 2012, (http://www.hematology.dk/filer/vejledninger/mpd/NORDIC_EOS_GUIDELINE_revised_SEPT_2012.pdf)

false