Ultrasound Journal 10 - 질전벽(anterior vaginal wall) 자궁내막낭종(Endometrioid cyst)

2022-12-02

endometrioid-cyst-kv-pc

소개

이 사례는 자궁내막종이 예상치 못한 질 낭종(cyst)의 병인(etiology)임을 주목합니다. 자궁내막증의 진단은 조직학적 확인 없이 복강경 외부에서 발견 되는 부분은 놀라운 것입니다. 자궁내막증은 종종 진단이 누락되거나 지연될 수 있는 여러 다른 질환으로 위장되어 보일 수 있습니다. 질 내 자궁내막증 사례는 거의 보고되지 않았습니다. 문헌을 검토한 결과 부드러운 결절과 주기적인 통증을 동반한 회음절개(episiotomy) 흉터에서 자궁내막증이 나타났습니다. 여기에 묘사된 환자와 유사하게, 다른 보고서에서는 자궁내막증의 다른 증상이 없는 43세 환자의 질 자궁내막종이 밝혀졌습니다. 수술 전 임상 소견은 요도 게실(urethral diverticulum)과 가장 일치하는 반면 MR 및 US 영상은 Gartner관(Gartner’s duct) 낭종을 시사했습니다.그녀는 수술 후 3개월 동안 증상이 없었습니다.

환자 D. 26세, G0P0은 긴 보행 시 회음부(perineum)에 이물감, 육체 노동, 성교 시 통증 및 초경과 함께 다량의 고통스러운 월경을 호소하였습니다. 환자는 8개월 전에 회음부에 형성되는 것을 발견했다고 하며 서서히 증가하고 있었다고 한다. 

 

병력: 14세부터 월경 주기, 규칙적, 28-29일, 7-9일 후, 풍부하고 매우 고통스럽습니다(항상 NSAID 복용). 

 

객관적인 검사: 키 172cm, 체중 57kg, BMI 19kg/m2.

 

골반 장기의 초음파 : 증식 단계(proliferation phase,)의 징후, 선근증(adenomyosis)의 확산 형태.

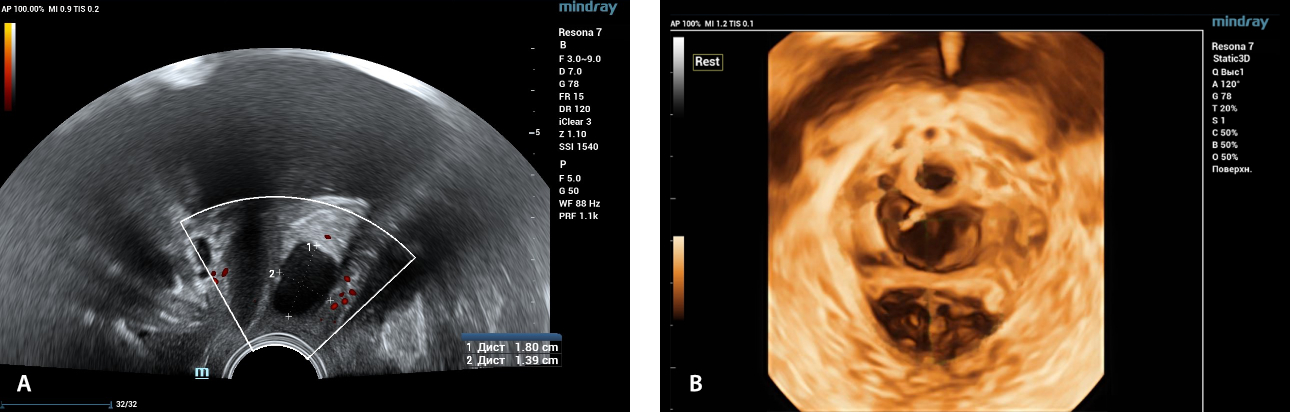
endometrioid-cyst-fig2-pc
형상 1. 2D 도플러검사 와 초음파(echograms) (A), 환자 D의 휴식 상태에서 경질 접근(transvaginal access)에 의한 골반 바닥의 3D 재구성 (B)., 질 전벽(anterior vaginal wall)의 자궁내막양 낭종(endometrioid cyst)이 있는 26세 환자.

내강 용적 컨벡스 트랜스듀서(Endocavity volume convex array transducer)(DE10-3WU, Resona 7, 마인드레이)를 사용한 초음파 진단중, 요도의 중간 1/3 따라 질 전벽(anterior vaginal wall)의 투영에서 18x14 mm 크기의 난형 형태(an ovoid-shaped formation) with a parietal fine suspension, 트랜스듀서 견인에 변위되지 않음(non-displaced), 민감하며,  CDI 모드의 단일 혈관 위치들이 시각화되었습니다. 3D 재구성 -  고에코 성 격막(hyperechoic septa)이 있는 이질적인 내용을 가진 형성.

치료 계획

이 환자는 환자의 불편을 고려하여 이 형성물의 외과적 제거(방광 절제술) 및 형성 캡슐의 보존, 자궁경(hysteroscopy) 및 자궁내막 생검(endometrial biopsy )을 위해 외과의사에게 의뢰되었습니다. 수술 후  최소 6개월 동안 프로게스토겐(디에노게스트 2mg)을 사용한 장기 요법이 권장됩니다.

결론

골반 바닥의 체적 재구성(Volumetric reconstruction)은 진단을 명확히 하고 올바른 치료 방법을 선택할 수 있도록 하며 외과의사에게는 가이드 역할이 되기도 합니다.

하이라이트

• 자궁내막증(Endometriosis) 임플란트는 몸 전체에 광범위하게 발생할 수 있지만 질에서는 거의 발생하지 않습니다.
• 난소내막종(Endometrioma)은 질 병변의 이례적인 병인(etiology)으로 무증상일 수 있습니다.
• 수술 전 3D US 또는 자기 공명 영상은 병변을 특징짓는 데 도움이 됩니다.
• 난소내막종(Endometrioma) 치료는 낭종벽(cyst wall)을 외과적으로 절제하는 것으로 재발 가능성은 낮습니다.