Ultrasound Journal 2: 분만 후 거근 손상

Rui Yanhui, Sheng Xuan & Yin Hong 2022-11-15

levator-trauma-kv-pc

Special thanks to: Ru Yanhui, Sheng Xuan, Yin Hong, Department of Ultrasound of Shandong Maternal and Child Health Hospital, Medical Imaging Center of Shandong Maternal and Child Health Hospital.

항문거근(Levator Ani) 근육군은 골반기저근(Pelvic Floor)의 정상적인 기능을 유지하는 데 중요한 역할을 합니다. 최근 연구에 따르면 분만시 거근 손상(Levator Trauma)의 발병률은 약 15~35%인것으로 나타나며, 이를 위한 진단으로 MRI 및 경피막 초음파를 사용합니다. 거근 손상의 주요 검진 방법으로는 transvaginal palpation, Magnetic Resonance Imaging(MRI), 골반기저근 초음파를 들 수 있습니다. MRI는 비용적인 측면에서나 또는 동적 이미지를 제공하지 못하고 정적 이미지를 제공한다는 측면에서 제한적이나 골반기저근 초음파는 검사 시간이 짧고, 비용 측면에서 보다 경제적이며, 실시간 다중 디스플레이를 통한 직관적인 관찰이 가능하다는 장점이 있어 거근 손상 진단 방법 중 보다 중요한 역할을 하게 되었습니다.

 

주요 스캔 방법으로는 parasagittal view에서의 경피강/강내 2D 스캐닝, 3D/4D 볼륨 영상, Ipage+라고 하는 단층 촬영 초음파가 포함됩니다.

levator-trauma-video1
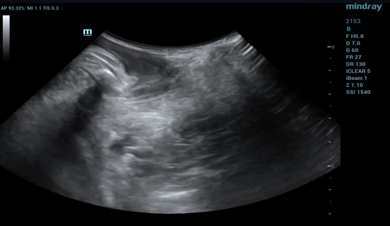
Video 1. Parasagittal view에서 abdominal volume probe가 있는 항문 근육의 경피막 2D 초음파 영상
levator-trauma-fig3-pc

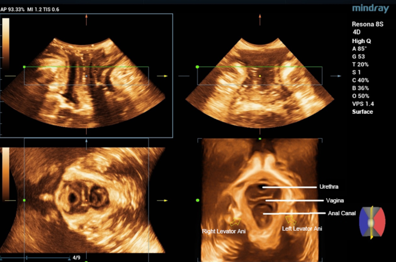
형상 1. 항문거근의 골반기저근 초음파 볼륨 영상

levator-trauma-fig4-pc

형상 2. 정상 levator ani 근육의 Ipage+영상은 3x3모드를 채택하고, 양쪽 levator ani 근육의 균일한 반향과 대칭되는 모습을 보여줍니다. 가운데 3개의 이미지들은 각각 2.5mm의 레이어 간격으로 pubic symphysis의 열림과 닫힘, 그리고 닫힌 상태를 보여줍니다.

Case Introduction:

임신 39주차의 30세여성(G1P1)이며 분만시 Negative-pressure vacuum extraction과 left perineotomy가 적용되었고, 신생아의 몸무게는 3.387kg이었습니다. Pelvic floor 초음파는 분만 42일 후 실행되었습니다.

levator-trauma-video2
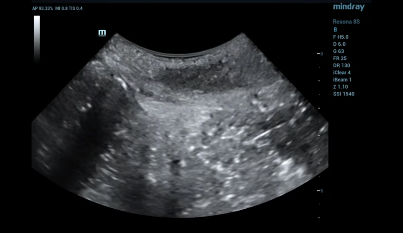
Video 2. Parasagittal view에서 좌측 경회음부 avulsion 2D 스캔 (순서: 오른쪽부터 왼쪽)
levator-trauma-fig5-pc

형상 3. 좌측 avulsion의 볼륨 이미징

levator-trauma-fig6-pc

형상 4. 좌측 avulsion의 Ipage+ 이미지

levator-trauma-video3
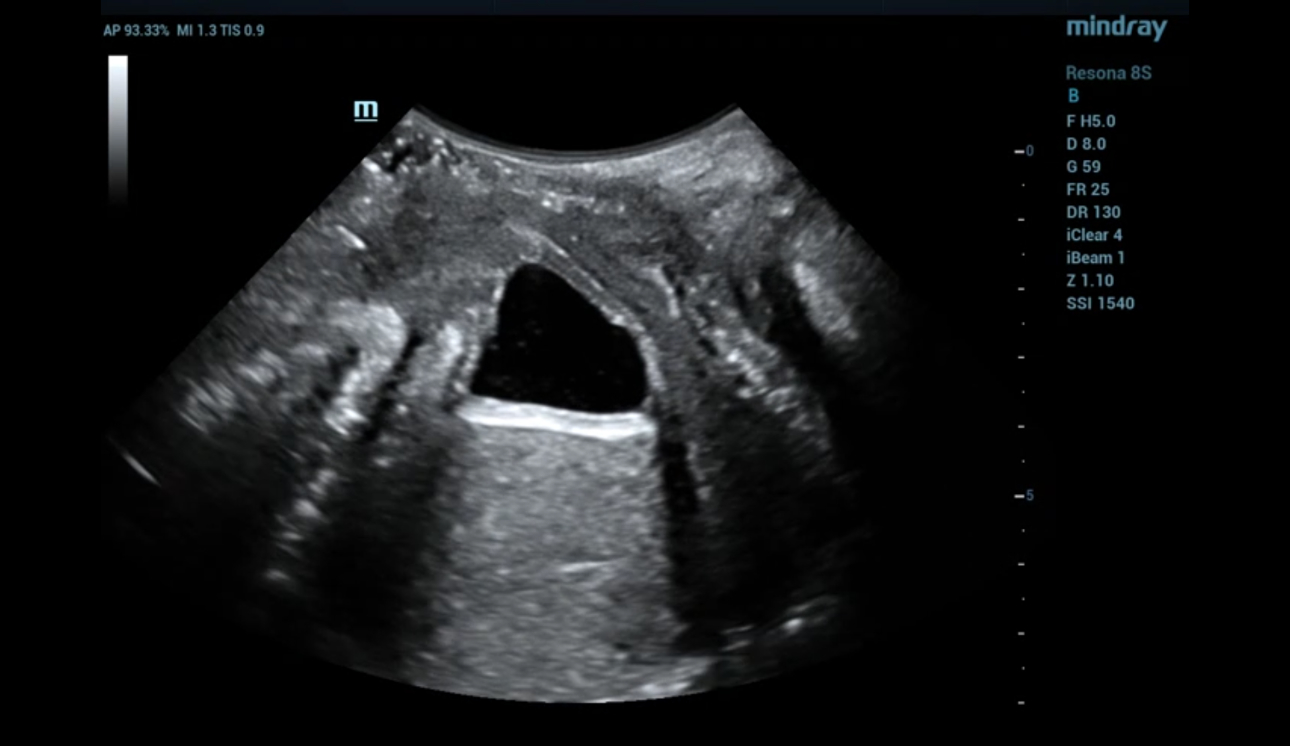
Video 3. 방광 탈출
levator-trauma-video4
Video 4. 산후 9개월 review
levator-trauma-fig10-pc
형상 5. 산후 9개월 이후 ipage+ 이미지

Discussion:

감별 진단:

1. Probe sleeve 내부, 외부 가스에 의한 거짓 양성:

levator-trauma-video6
Video 5. Probe sleeve 내부 및 외부 가스로 인한 levator avulsion의 거짓양성. Probe sleeve를 교체하고 sleeve 내부와 외부에 다량의 젤을 골고루 바르면 감별진단에 도움.
levator-trauma-fig7-pc

형상 6. Probe sleeve 내부 및 외부 가스로 인한 levator avulsion의 거짓양성

levator-trauma-fig8-pc

형상 7. 동일 환자의 가스 간섭 제거 후

2. 항문거근의 선천적 협착증: 

항문거근의 발달이 대부분 좌우 대칭인것에 반하여 얇고 비정상적으로 나타남. 볼륨 이미징은 감별진단에 도움.

 

3. 항문거근은 회음부 피하혈종에 의해 눌리게 됨.

levator-trauma-video5
Video 6. 좌측 항문거근과 질 사이의 불균일한 hypoechogenicity
거근 손상 초음파 진단의 핵심 사항:
  1. 2D 스캔 : 항문거근 섬유에 완전 또는 부분적인 interruption에 의해 절단면이 거칠고 좌우 비대칭 확인.
  2. Levator hiatus가 비대칭적이고 부상 방향으로의 이탈 확인.
  3. Ipage+ : 세 개 이상의 slice에서 한면 또는 양면 levator avulsion이 보일 경우, levator trauma 진단을 고려해 볼 수 있음.

 

스캔시 주의 사항:
  • 근육이 완전한지를 확인하기 위하여 근육 섬유의 시작 지점부터 끝까지 스캔이 누락되지 않도록 해야 합니다.
  • 진단이 명확하지 않은 경우 frequancy가 높은 intravitary probe와 superficial probe를 결합합니다.
  • 거근손상 여부를 배제하기 어려운 경우 1~2개월 후 pelvic floor 초음파 검사를 재실행 해야 합니다.

 

치료:

환자는 최대한 휴식을 취하며 산후 3개월이 지나면 재활운동을 시작하는 것을 추천합니다. 현재 주요 치료 방법은 아래와 같습니다:

  1. 골반기저근 전기 자극, vagina dumbbell 운동과 같은 재활 치료는 증상을 일부 완화할 수 있음.
  2. 골반 재건 수술 치료 방법의 장기적인 효과는 아직 추가적인 평가가 필요한 상황.

 

 

참조:

[1] DeLancey J, Kearney R, Chou Q, Speights S, Binno S. The appearance of levator ani muscle abnormalities in magnetic resonance images after vaginal delivery. Obstet Gynecol 2003;101(1):46–53.
[2] Dietz HP, Lanzarone V. Levator trauma after vaginal delivery. Obstet Gynecol 2005;106(4):707–12.
[3] Hans Peter Dietz, Pelvic floor ultrasound: a review. American Journal of Obstetrics & Gynecology 2010(4); 321-334.