Ultrasound Journal 7 - 희귀 원발성 췌장 림프종(Rare Primary Pancreatic Lymphoma)의 조영제 증강 초음파 검사(CEUS) 사례

2022-11-15

pancreatic-lymphoma-kv-pc

키포인트:

  • • 원발성 췌장림프종(Primary Pancreatic lymphoma)은 진단하기 어려운 희귀 악성종양입니다.
  • CEUS소견은 원발성 췌장림프종(PPL) 진단에 중요한 지표가 될 수 있습니다.

Case Description:

64세의 한 남성이 급성 좌상 사분면(left upper quadrant) 통증으로 지역병원에 입원하였고 환자의 통증부위에 시행된 B 모드 초음파는 "비장부위 불균질형  저에코(heterogeneous hypoechogenicit) 및 비장 공간 점유 병변 "을 보였습니다. 이후 환자는 상급병원으로 옮겨져 CT와 MRI 검사를 받은 결과 췌장 꼬리부위, 비장, 왼쪽 주변 관찰되었습니다. 일반적인 혈액검사 및 간, 신장 기능, 종양표지자(TMs) 검사는 모두 정상이었습니다. 환자는 이후 Zhejiang 대학 의과대학 제2 부속병원으로 옮겨져 최종 진단을 받았습니다.

영상소견:

환자는 US, CEUS, CT 및 전신 PET/CT 촬영을 받았으며 그 결과는 Fig 1-3에 있습니다.

pancreatic-lymphoma-fig1-pc
형상1: B-모드 초음파 검사에서는 비장실질(splenic parenchyma)로 돌출되고 비장문(splenic hilum)을 침범한 불균질형 종괴(heterogeneous mass)가 췌장 꼬리(pancreatic tail)부분에서 보이는 커진 불균질형 췌장(heterogeneous pancreas)이 확인되었습니다. (Fig 1 A). 컬러도플러 영상(Color Doppler imaging ; CDI) 로 해당 종괴(mass)내 혈류가 관찰되었고 (Fig 1 B). 췌장 종괴(pancreatic mass)에 진행된 CEUS 검사는 동맥기(arterial phase)에서 불균질형 과도증가(heterogeneous hyperenchancement)를 지연기(delayed phase)에는 빠른 퇴색(rapid fading)및 체와 같은(sieve-like) 변화를 보여주고 있습니다. (Fig 1 C-F)
pancreatic-lymphoma-fig2-pc
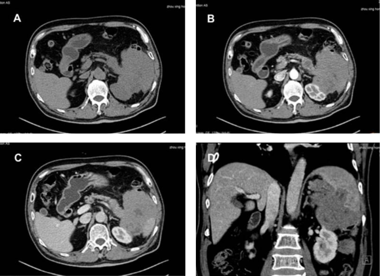
형상2: CT 검사에서 종괴 같은 연조직 밀도가 췌장 꼬리(pancreatic tail)부위 불분명한 경계, 비장(spleen)과의 경계와 명확하게 구분되지 않는 비장문(splenic hilum), 좌측 신장 그리고 다른 장기들 에서 확인됨. (Fig 2 A). 가벼운 단계에서 보통 단계로 진행된 종괴 (Fig 2 B-C). 비장(spleen), 좌측 신장 및 장관(intestinal tract) 일부의 종양 침윤이 관상면(coronal plane)에서 관찰됨. (Fig 2 D)
pancreatic-lymphoma-fig3-pc
형상3: 전신 PET/CT에서 췌장꼬리(pancreatic tail), 비장, 좌측 신장, 비장 공간(splenorenal space), 비장 위 공간(splenogastric space)의 연조직 종괴(soft tissue masses )가 비정상적으로 증가한 포도당 대사와 함께 보여짐

진단:

모든 영상 진단이 악성종양이지만 비특이성(nonspecific) 원발성 췌장암(primary pancreatic cancer)으로 나타났으며 원발성 췌장 림프종(primary pancreatic lymphoma)인 버킷림프종(Burkitt lymphoma)의 병리학적 진단과 함께 췌장 종괴(pancreatic mass)에 대한 초음파유도생검(ultrasound guided biopsy)이 수행되었습니다.

치료:

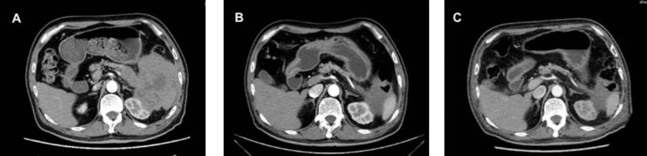
환자는 혈액내과에서 R-Hyper-CVAD-A 화학요법을 받았으며 연속된 CT 사진을 통해 종양 크기가 현저히 감소한 것을 확인 할 수 있습니다. (Fig 4 A-C). 환자의 전반적인 상태도 또한 상당히 좋아졌습니다.

pancreatic-lymphoma-fig4-pc
형상4. 연속된 CT에서 종괴 크기의 감소 관찰됨(A) 치료 전 (B) 항암화학요법 1개월 후, (C) 항암화학 요법 2개월 후

결론:

원발성 췌장림프종은 췌장 종양 중 드문 비상피성 악성종양으로 전체 췌장 종괴 중 0.5%, 전체 림프절외림프종(extranodal lymphomas )의 2%에 불과합니다. [1] 임상소견과 검사실 검사는 비특이적(non-specific)이며 영상소견은 관선암(pancreatic ductal adenocarcinoma) 등 다른 췌장 악성종양과 혼동하기 쉬워 진단의 어려움이 가중됩니다 [2].


이번 사례에서, Resona 플랫폼의 고성능 CEUS 도움으로 Pintong 교수와 그의 팀은 이 희귀 진단에 대한 잠재적인 새로운 지표들을 시각화할 수 있었습니다. 이 사례에서, CEUS 지연기(delayed phase)의 체와 같은(sieve-like) 변화가 이전에 보고된 다른 림프종의 CEUS 소견이 유사하 듯이 장래에는 CEUS 소견이 중요한 지표가 될 수 있습니다. 최종 진단은 초음파 유도생검(Ultra-guided biopsy) 또는 탐색적 개복술(exploratory laparotomy)에 의한 조직병리학적 검사(histopathological examination)를 통해 내려질 수 있습니다.

참조
[1] K Blouhos, K A Boulas, A Paraskeva, et al. Obstructive jaundice as primary presentation of a stage IIE Non-Hodgkin lymphoma: A decision making process between advanced lymphoma and locally advanced/metastatic pancreatic adenocarcinoma [J]. International Journal of Surgery Case Reports. 2018,44:226-229.
[2] Han Huan, Wang Yuanchen, Zheng Jianming. A nine-case report of clinicopathological analysis of primary pancreatic lymphoma [J]. Chinese Journal of Pancreatology, 2018,18(1):51-53.