Ultrasound Journal 1: Mindray "Fusion imaging"을 활용한 재발성 간암 Micowave Ablation 케이스 리뷰

2022-11-15

fusion-imaging-kv-pc

해당 사례 관련 자료를 공유해 주신 중국의학대학 부속 Shenjing 병원의 Wang Peng 박사님과 Tang Shaoshan 박사님께 감사 드립니다.

 

Case introduction

64세 여성으로 30년 전부터 만성B형 간염 보균자였으며, 우측간엽 S7부위 간암으로 분절간 절제술과 비장절제술을 받았습니다. 3개월 전에 MR로 S4 분절에 생긴 재발성 간암 의중으로 본원으로 전환된 환자였습니다. 본원에서 Contrast-enhanced CT(조영제 증강 CT검사)를 실시하여 좌엽 S4 분절에 1.5센티미터 크기 저음영의 불규칙한 종괴가 발견되었습니다. 동맥기 문맥가 정맥기 모두에서 재발성 간암에 합당한 소견을 보였습니다.

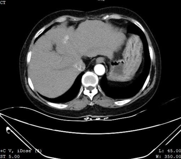
fusion-imaging-fig1
형태 1. Contrast-enhanced CT 소견으로 좌엽 S4 구역에서 1.5센티미터 크기의 저밀도 음영이 발견되었으며, 조영제 투여 후 동맥기에서 균일하지 않은 증강을 보여주었습니다.

간기능검사 종양 마커 검사: 혈장 알부민 저하, 트렌스 아미나제 증가, AFP증가.


CT에서는 보였던 S4구역 재발성 간암은 일반 흑백초음파에서는 보이지 않았습니다. CEUS(Contrast-Enhanced Ultra Sound)영상에서는 동맥기에서는 과혈관 상태의 영상을 보였고 문맥가와 그 이후의 기에서는 사라지는 영상을 보여주었습니다.

fusion-imaging-fig2
형태 2. 동맥기에서 증강이 두드러짐. (측정 마커:S4 종괴)
fusion-imaging-fig3
형태 3. 간문맥 단계에서 보여주는 종괴의 등장성 증강

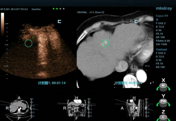
환자는 초음파 유도 마이크로파 절제술(MWA)을 받을 예정이었으나 기존 초음파에서는 종괴가 명확하게 잡히지 않아 Contrast-enhanced CT와 병행하여 초음파 융합 영상과 합성을 통해 정확히 종괴 부위에 마이크로파 안테나를 삽입하여 마이크로파 절제(MWA)를 하도록 계획하였습니다.

fusion-imaging-fig4
클립 1. 초음파 와 조영제 증강CT 융합 영상.
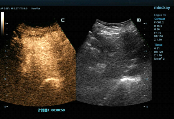
fusion-imaging-fig5
형태 4. 초음파와 CT영상 융합 후 CEUS(Contrast-Enhanced Ultra Sound)를 통해 종괴 위치를 재확인.
fusion-imaging-fig6
형태 5. 실시간으로 가스 범위를 모니터링 항 수 있는 융합 영상 항법 모드에 의해 수행되는 마이크로파 절제(MWA).
fusion-imaging-fig7
Figure 6. At 3 minutes of microwave ablation at 60W, the lesion was completely covered by strong echoes
fusion-imaging-fig8-pc
형태 7. 60W에서 극초단파 절제술을 3분간 실시했을 때, 고강도 에코에 의해 종괴가 가려짐.

Discussion

이 환자는 B형 간염과 강경변의 오래된 병력이 있으며 이전에 분절간 절제술과 비장절제술을 받았습니다. S4 구역은 간의 깊숙한 곳에 위치하고 있어 MWA를 선택하여 치료하였습니다.


이러한 동일에코성 종양은 2D 그레이 스케일 초음파를 사용하여 명확하게 확인할 수 없었으므로 기존의 초음파 영상 정보만으로는 부정확한 위치 지정과 불완전한 절제술을 야기할 수 있었습니다. 그러나 실시간 초음파와 조영제 강화 CT 데이터 세트를 결합하여 정확한 안테나 배치와 경피 MWA를 통한 성공적인 치료를 가능하게 하였습니다. CEUS(Contrast-Enhanced Ultra Sound)를 사용하여 절제 전 종양의 위치를 파악하고, 절체 후 치료 효과를 확인하기 위해 절제 부위를 검증하였습니다. 

 

융합 항법과 결합된 CEUS(Contrast-Enhanced Ultra Sound)를 사용하면 실시간으로 소규모 간경변 위치를 정확하게 확인할 수 있고, 마이크로파 안테나를 정확하게 배치하고, 절제 영역을 모니터링하고 평가할 수 있습니다. 이러한 추가적 기능을 사용하는 초음파 유도 마이크로파 절제(Ultrasound-guided MWA)는 안전하며 임상 적용이 가능합니다.