Elastography Matters | Leading the Future on MSK Diagnosis

Mindray 2020-09-07

pc29-s0

Elastography has been widely used for diagnosis of breast cancer, liver fibrosis and thyroid nodules. Click the link below for previous two sessions.

Elastography Matters

Compared with isotropic tissues such as liver and breast, the musculoskeletal system with its viscoelastic, heterogeneous, anisotropic tissues, raises the difficulty of Elastography diagnosis.

pc29-s5

With over 20 years’ experience in MSK Elastography, Dr. Wolfgang Bauermeister, the professor of Physical Rehabilitation and Sport Medicine from Kharkiv National Medical University in Ukraine, hereby shares his expertise of “State of Art MSK Elastography”.

 

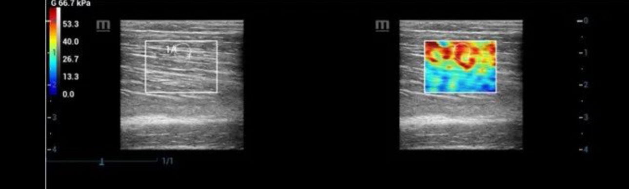
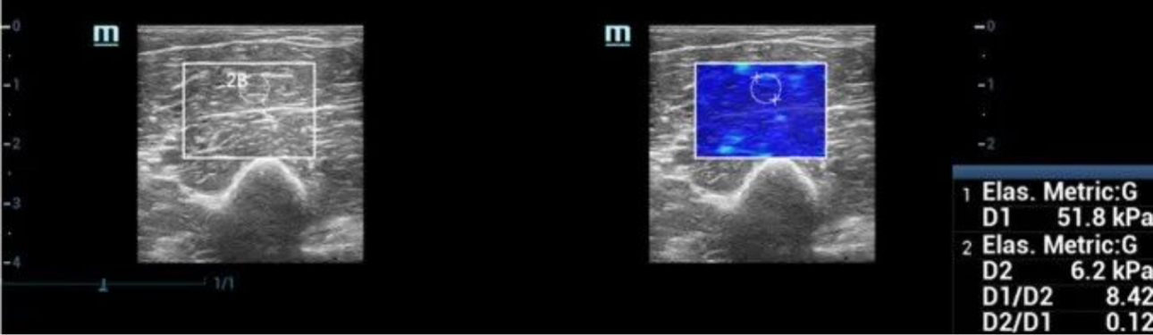
As Prof. Bauermeister mentions, for musculoskeletal system, we look at the longer muscle fibers first, then we turn the probe 90 degrees to get a cross section, and we will obtain totally different values. Therefore, it’s very important to use the same alignment to be relatively accurate, in order to reproduce and compare images.

 

To provide doctors with more confidence, Mindray offers unique Shear Modulus “G” as elasticity metrics tool, besides the Young’s modulus “E” and Shear wave propagation velocity “Cs”. Direction ratio can also be measured with both longitudinal view and transverse view, which is designed especially for the evaluation of anisotropic tissues.

pc29-s3@web
Longitudinal View
pc29-s4@web
Transverse View

By far, Mindray is the only ultrasound provider in the industry that has four technologies with a number of independent invention patents, which includes transient elastography (TE), point shear wave elastography (pSWE), two-dimensional shear wave elastography (2D-SWE), and strain elastography.

 

Mindray elastography technology is now applied in various applications from liver, breast, thyroid, prostate, gynecology, to MSK, etc, providing precise diagnosis and clinical insights.