Ultrasound Journal 16 - Application of ultrasound-guided sclerotherapy in patients with focal cystic thyroid mass

By Tagil A.O., Borsukov A.V. [1] 2023-07-07

throid-sclerotherapy-kv-pc

Key points

The use of ultrasound during minimally invasive interventions significantly increases the effectiveness of therapeutic measures and reduces the potential risk of possible complications both during the procedure and in the long-term period.

Introduction

Patient P., born in 1995, complained of a cosmetic defect on the front surface of the neck in the form of a bulging associated with a focal lesion of the thyroid gland. Laboratory indices: TSH - 2.1 mIU/L, free T4 - 14.51 pmol/ml, free T3 - 4.8 pmol/ml, calcitonin - 1.0 pg/ml. Fine-needle aspiration (FNA) biopsy results - benign mass (Bethesda 2).

B-mode and Color Flow Doppler (CFD)

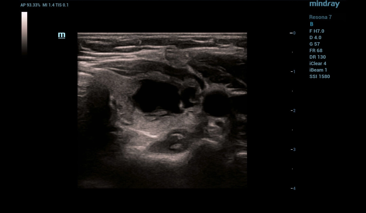
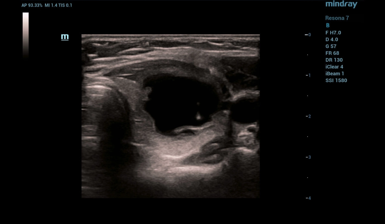
Ultrasonography was performed on a Resona 7 ultrasound machine (Mindray, China) using a linear probe L14-5WU. A cystic focal mass of anechogenic structure measuring 24x28x38 mm with smooth clear contours was detected in the left lobe of the thyroid gland (Fig. 1, 2)

throid-sclerotherapy-fig1-pc
Figure 1. B-mode image of the thyroid

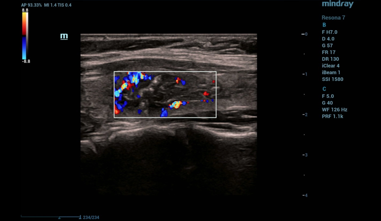
In Color Flow Doppler (CFD) there is no blood flow in the focal mass with the presence of single perinodular vessels (Fig.2)

throid-sclerotherapy-fig2-pc
Figure 2. CFD image of thyroid

Strain elastography

Strain elastography identifies a tricolor structure (BGR sign - blue/green/red layers) of the focal mass, which is consistent with cystic contents (Figure 3).

throid-sclerotherapy-fig3-pc
Figure 3. Strain elastography image of the thyroid
Fine-needle aspiration (FNA) biopsy followed by sclerotherapy with ethanol under ultrasound guidance
Fine-needle aspiration (FNA) biopsy was performed under ultrasound navigation with aspiration of 8.5 ml of clear cystic contents (Fig. 4,5,6) followed by injection of 2.5 ml of sclerosant in the form of 95% alcohol with exposure for 4 minutes (Fig. 7). When sclerosant is injected into the cystic mass cavity in B - mode, the appearance of a hyperechogenic component followed by a decrease in visualization of the needle tip is determined.
throid-sclerotherapy-fig4-pc
Figure 4: FNA of a focal thyroid mass under ultrasound navigation
throid-sclerotherapy-fig5-pc
Figure 5. Aspiration of the contents of a cystic growth of the thyroid under ultrasound navigation
throid-sclerotherapy-fig6-pc
Figure 6. Complete evacuation of cystic contents under ultrasound navigation
throid-sclerotherapy-fig7-pc
Figure 7. Sclerosant injection into the cystic thyroid cavity under ultrasound navigation
Next
Previous
As the necessary exposure was completed, the sclerosant was evacuated followed by completion of the manipulation and control ultrasound. In - mode a heterogeneous focal formation of the thyroid gland with absence of cystic component was detected (Fig. 8). CFD mode determines absence of blood flow in the focal mass with preserved perinodular vessels (Fig. 9). Strain elastography reveals elastographic heterogeneity of the focal mass with predominance of a soft tissue component (Fig. 10).
throid-sclerotherapy-fig8-pc
Figure 8. Control ultrasound of the thyroid after completion of sclerotherapy
throid-sclerotherapy-fig9-pc
Figure 9. CFD of a focal thyroid lesion after sclerotherapy
throid-sclerotherapy-fig10-pc
Figure 10. Strain elastography of the thyroid after sclerotherapy
Next
Previous

Discussion

Laboratory parameters

The patient's thyroid hormone levels are within acceptable limits.

 

B - mode, CFD

Multiparametric ultrasound examination of the thyroid revealed a cystic focal mass in the left lobe without signs of malignancy.

 

Strain elastography

On strain elastography, the focus had tricolor staining (BGR sign) consistent with a cystic mass.

 

Sclerotherapy

Complete evacuation of the cyst contents was performed under ultrasound navigation with the injection of 2.0 ml of sclerosant with the exposure of 4 minutes and its subsequent removal from the cyst cavity. On control examination, complete recession of the cystic neoplasm walls was determined.

[1] Problem Research Laboratory "Diagnostic Studies and Minimally Invasive Technologies", Federal State Budgetary Educational Institution of Higher Professional Education Smolensk State Medical University, Ministry of Health of Russia