Ultrasound Journal 21 - Ultrasound Evaluation of Stress Urine Continence in Patients Who Not Require Immediate Surgical Treatment

2024-01-09

stress-urine-kv-pc

Special thanks to Dr. Roberto Gori from Argentina, for sharing these cases.

Introduction

Urinary incontinence (UI), defined as the symptom of involuntary loss of urine, is a bothersomer condition that negatively impacts the lives of millions of women. There are several subtypes of UI and the most common are: Stress incontinence (SUI), defined as the complaint of involuntary loss of urine on effort or physical exertion in which two processes can coexist bladder floor prolapse and alteration of urethral motility; and Mixed incontinence (MUI), defined as the complaint of involuntary loss of urine associated with urgency and also with effort (presence of both SUI and UUI).

 

The Pelvic Floor Ultrasound can help to identify whether there is one or both causes, in order to define suitable therapeutic strategy. The Ultrasound approach provide visualization in real time of the modifications that occur in the pelvic floor structures which are of interest to the physician. It is necessary not only the subjective evaluation, but also to use a method that allows to quantify the alterations and at the same time to be reproducible, for this, different parameters are evaluated such as "descent" of the different pelvic organs and angles of the urethra with different reference points (urethral angle (UTA), urethral rotation angle (URA), and the retrovesical angle (RVA)).

 

It is known that, when faced high-grade prolapses, patients may also present urethral motility changes, so it is important to take into account that bladder floor repairing without correcting the urethral abnormality could transform SUI ´patients to Continuous urinary incontinence´s ones.

 

In other cases, we can find alterations in urethral motility without a cystocele. In this case, it is important to detect if there are changes in the Levator Ani Muscle compression on the urethra (continence effect), by ultrasound with the findings of changes in the urethral angle. In addition, it must be determined if there is an incompetence of the internal or intrinsic urethral sphincter. In SUI cases, the solution to the problem is not always surgical; perhaps with a muscular reeducation of the pelvic floor it is enough, thus being able to avoid or delay surgery until a moment when it is more effective.

Clinical Cases

Case 1

Age: 48-year-old patient

Pregnancies 3 - Deliveries 2 - Abortions 0

Medical history: No history of surgery or pulmonary pathologies, without diabetes, hypertension or smoker. Ultrasound requested to rule out SUI without clinical presence of cystocele.

 

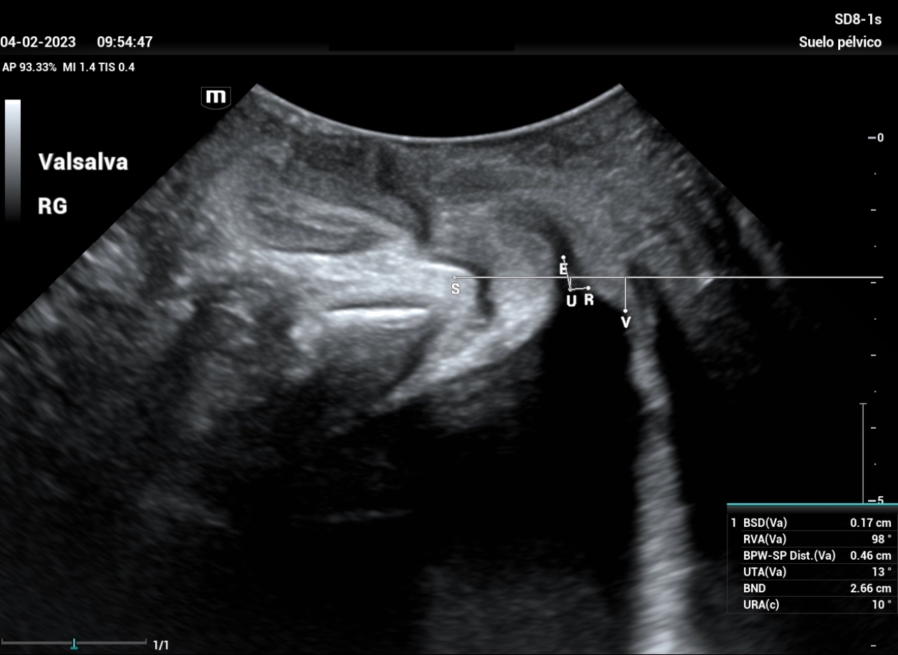
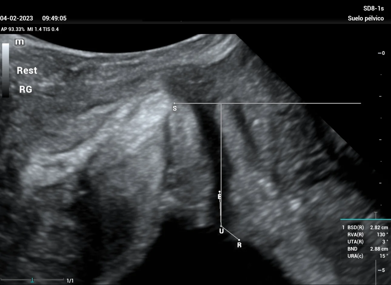
A study was carried out with filling bladder of 300 ml. The reference line is set at the inferior margin of the symphysis pubis, giving a total result of Bladder neck descent (BND) of 28mm, a UTA angle of 3º and a beta angle (RVA) of 130º (Figure 1), both within normal parameters, we performed the Valsalva maneuver showing a 26mm descent, and after maneuvering of Valsalva (Figure 2) a UTA angle of 13º (10º rotation) is observed, RVA of 98º.

stress-urine-fig1
Figure 1: The image corresponds to the mid- sagittal section of the pelvic floor at rest, with magnification that allows for the correct identification of the different structures to be studied (symphysis pubis, bladder floor, and urethra), with the measurement of the UTA and RVA angles.
stress-urine-fig2
Figure 2: Mid-sagittal section study of the pelvic floor in Valsalva maneuver. The descent of the bladder floor can be observed with respect to Figure 1, as well as the change in the angle of the urethra. Both changes do not justify, due to the values expressed, they do not justify a surgical intervention.

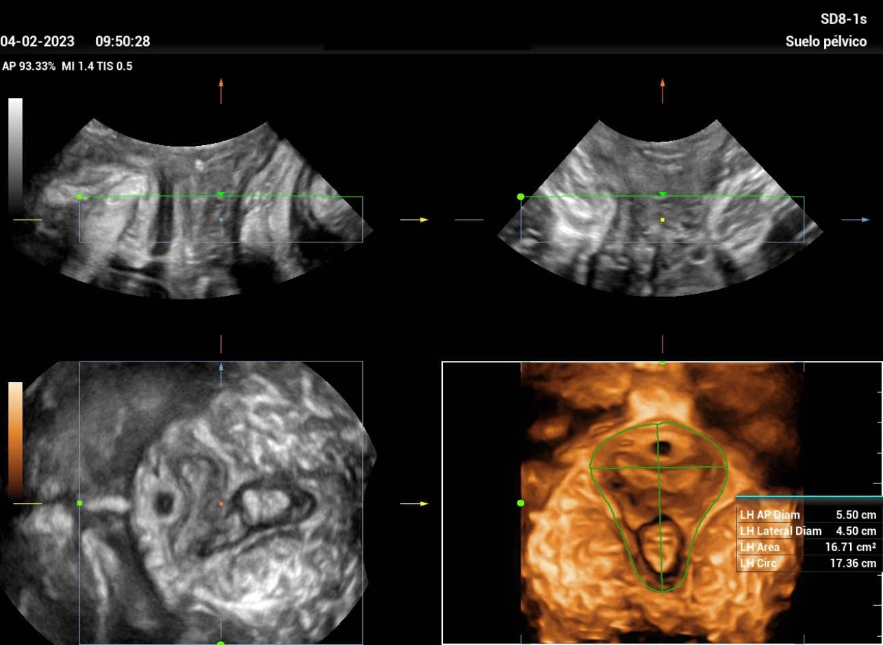
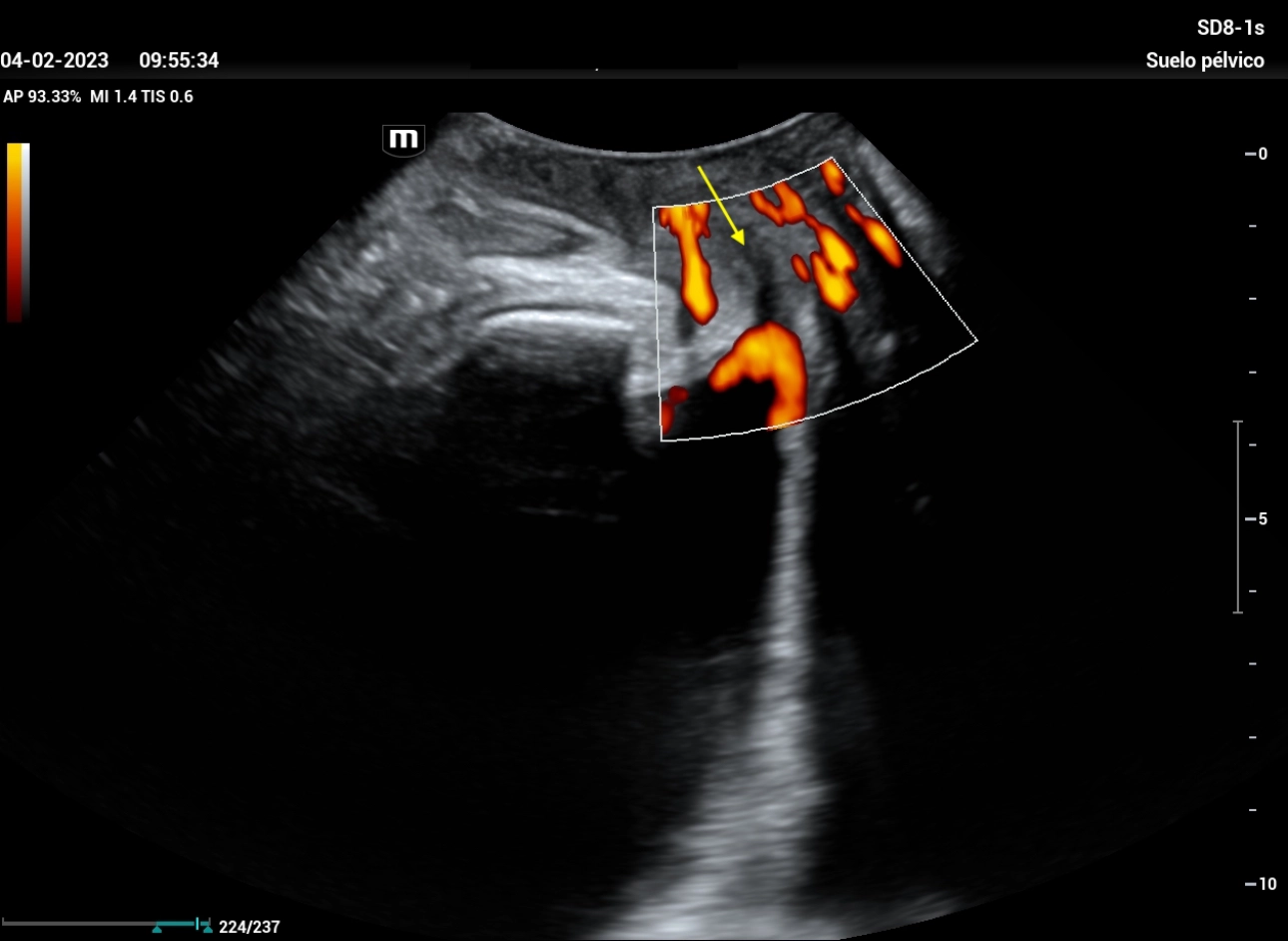
It is examined with color Doppler without filling of the urethra, which infers internal sphincter competence (Figure 3). After evacuating the bladder, a post-micturition residue of 8 ml and a detrusor thickness of 3.4 mm were found. When evaluating the hiatus in 3D, at rest and after Valsalva, a ‘normal’ distensibility of the levator hiatus is observed. (Figures 4 and 5)

stress-urine-fig3
Figure 3: it is observed that in Valsalva maneuver the urethra (yellow arrow) does not fill with color, which infers no absence of urine passage.
stress-urine-fig4
Figure 4: allows evaluation of the hiatus area in the coronal plane, with the automatic measurement software of the equipment.
stress-urine-fig5
Figure 5: Measurement of Levator Hiatus area in Valsalva maneuver, where we can appreciate a ‘normal’ distensibility of the levator hiatus is observed (20.46cm2); which does not generate symptoms in the patient.
Case 2:

Age: 53-year-old patient

Pregnancies 4 - Deliveries 2 - Abortions 2.

Medical history: with a history of appendectomy, and high blood pressure, without pulmonary pathologies, or diabetes, not a smoker. Ultrasound requested to rule out SUI without clinical presence of cystocele.

 

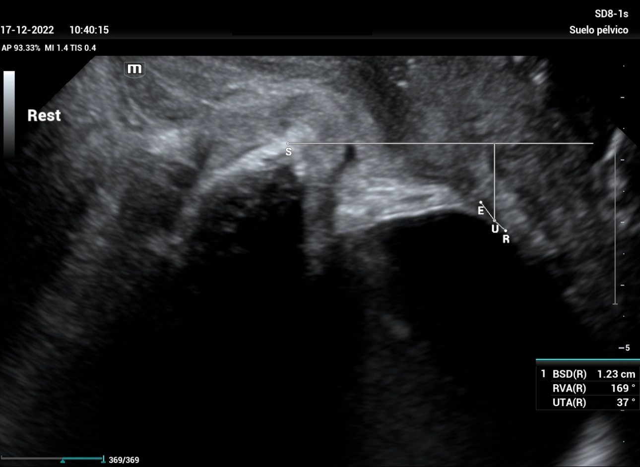
A study was carried out with a 200 ml filling bladder, with a Bladder neck symphyseal distance (BSD) result within normal values, a UTA angle of 37º and a beta angle (RVA) of 169º (Figure 6), both within normal parameters, and when performing the Valsalva maneuver (Figure 7), the bladder neck is below the reference line, and funneling of the bladder neck is observed. With color Doppler the urethra is filled, inferring internal sphincter incompetence (Figure 8). After evacuating bladder, a post-void residue of 14 ml and a detrusor thickness of 3.2 mm were found. When evaluating the hiatus in 3D, at Rest and Valsalva, we can observe the hiatal ballooning on Valsalva manoeuvre. (Figure 9 and 10)

stress-urine-fig6
Figure 6: the image corresponds to the median sagittal section of the pelvic floor at rest, with magnification that allows the different structures to be studied to be correctly identified (symphysis pubis, bladder floor and urethra), with the measurement of the UTA and RVA angles.
stress-urine-fig7
Figure 7: Performing Valsalva maneuver, we can observe a Bladder Neck Descent within mild cystocele, funneling of the bladder neck, with angles that do not represent a significant change.
stress-urine-fig8
Figure 8: when placing color Doppler before the Valsalva maneuver, it is observed how the urethra fills with color (yellow arrow), which infers the passage of urine due to internal sphincter incontinence.
stress-urine-fig9
Figure 9: allows evaluation of the hiatus area in the coronal plane, with the automatic measurement software of the equipment.
stress-urine-fig10
Figure 10: Measurement of Levator Hiatus area in Valsalva maneuver, where we can appreciate a moderate increase of the area “Balloning” (31.52cm2); which does not generate symptoms in the patient, but enough to decrease contractility.

Conclusion

The Pelvic Floor Ultrasound allowed us to define in case 1 that: the patient does present hypermobility of bladder neck, which maybe cause of SUI, that the urethral angles do not present an alteration that justifies surgical intervention. While in case 2, there is mild cystocele, with angle modifications within normal parameters, with intrinsic urethral sphincter incompetence.

 

Therefore, the patient in case 1 benefited from the Pelvic Floor scanning, combining the use of 2D and 3D, since it allowed re-education of the pelvic floor to be defined as a treatment. In the case of patient 2, drug treatment is recommended, and if it fails, surgical correction should be performed.

 

Both cases allow us to understand the importance of using a diagnostic method complementary to the physical examination, not only to determine the type of incontinence, but also the therapeutic approach. Due to its practicality, simplicity and low cost, Pelvic Floor Ultrasound is the best choice method.

false