2nd Level Hero Image 1920x750 - mindray-ultrasound-zone-sonography-technology-1920x750-na
Software-based, next-generation...

ZONE Sonography®
Technology

and the source of Mindray's "Living Technology"

Watch ZST Technology Overview Video
  • Software-Based, Next Generation...

    ZONE Sonography® Technology

    ZONE Sonography® Technology+ (ZST+) is a revolutionary, software-driven approach to acoustic data acquisition and image formation that breaks the barriers of conventional ultrasound imaging based on innovative channel data processing methods. Introduced in 1999, ZST was the first virtual beamforming method approved for use in clinical practice. Thanks to continuous advances and improvement in this core technology, ZST+ has matured into the premier advanced ultrasound imaging architecture that makes novel and innovative diagnostic applications possible.

    A9-liver-live-dual
  • Living Technology

    ZONE Sonography Technology is a constantly evolving, software-based technology, or a “Living Technology”. Living Technology is the ZST approach to providing customers with easily upgradable ultrasound enhancements based on its unique and proprietary ZONE Sonography Technology. These upgrades secure product investment protection by ensuring that ZST based platform remain at the cutting edge of imaging performance excellence throughout the system’s entire life cycle.

Key Advantages of ZONE Sonography Technology

Advanced Acoustic Acquisition

Advanced Acoustic Acquisition (AAA) is a software-based data acquisition method that captures up to 90% of the returning acoustic data and then processes it up to 10x faster by interrogating a relatively smaller number of large zones and extracting more information from each acquisition. Conventional ultrasound systems can capture only a few receive data sets from each transmit event due to processing time requirements for each data set which creates an acoustic acquisition backlog that results in processing constraints. This inherent limitation is overcome by using a flexible, software-based channel domain processor.

DataAcquisition
Dynamic Pixel Focusing

Conventional ultrasound systems link a fixed focus transmit with a dynamically focused receive. Due to
depth of field constraints, the transmit focus is typically weaker than the receive focus resulting in poor depth penetration and the need for multiple focal zones. For an ultrasound imaging system to
produce high quality images, the region of interest must be sufficiently sampled in both the axial and lateral dimensions to prevent several types of imaging artifacts. Dynamic Pixel Focusing permits utilization of the complete channel data set received from multiple, overlapping zones to retrospectively improve the position and focus of each individual data point. Using software algorithms to synthetically focus along every point in the receive beam effectively produces a round-trip beam focused at all depths, eliminating the need for multiple transmit foci. The image is 2-way focused at every point. A typical ZST+ ultrasound image has over 500 range samples, so the net effect is equivalent to a conventional beamformer-based system using 500-600 focal zones.

A1-liver-still-uniformity
Sound Speed Compensation

Another unique and patented engineering breakthrough that differentiates ZST from traditional hardware-based beamforming platforms is automated digital Sound Speed Compensation (SSC). Historically, ultrasound imaging systems have been calibrated to the inaccurate assumption that ultrasound propagates through all human soft tissue at a velocity of 1,540 meters per second. In fact, many factors affect the actual speed of sound in a particular tissue and failure to compensate for these differences diminishes and limits spatial and contrast resolution in conventional ultrasound systems. At the touch of a button, SSC automatically samples the tissue being examined and recalibrates the software to reflect its specific speed of sound. The resulting enhancements in image quality provide another powerful clinical tool that increases diagnostic confidence, especially when examining diseased organs and structures at deeper depths.

Compare and the difference is clear. Enhanced spatial resolution in a tissue-equivalent pin phantom without Sound Speed Compensation (A) and with Sound Speed Compensation (B).

Request Your Quote Today >>

A5
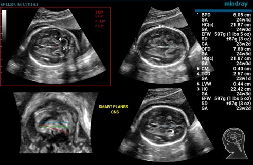
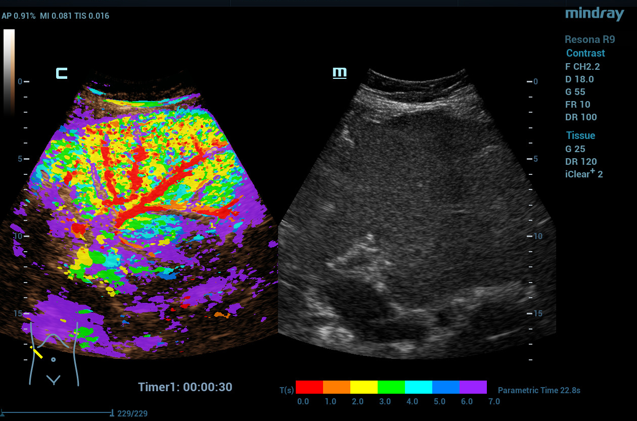
Clinical Images
  • Picture1
  • c3
  • Picture3
  • i4
  • 201803192115430084VAS
  • 202306301108320022ABD
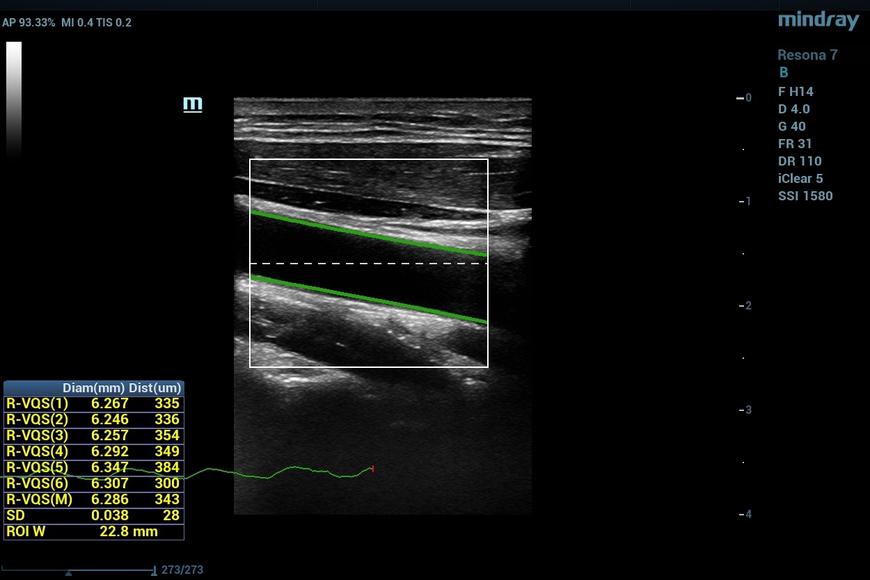
  • STE-shear-wave
  • HDScopethyroidlesion
false