Top Considerations When Buying an Ultrasound Machine

01-27-2026

Blog Innovation Card Component PC 894 x 566 - 01-Top-Considerations-When-Buying-an-Ultrasound-Machine-894x566

This blog discusses why:


Selecting an ultrasound system requires evaluating imaging quality, transducer versatility, workflow automation, interface usability, interoperability, ergonomics, portability, and total costs, including warranties and service. Ergonomic design is particularly important, as many sonographers report work-related musculoskeletal issues from extended scanning. Mindray's ultrasound portfolio offers systems with responsive support and ongoing technology updates across Emergency Medicine, Critical Care, Radiology, and specialty practices.

As healthcare professionals seek to deliver higher-quality care while reducing costs, ultrasound is an attractive solution. Ultrasound machines are a more cost-effective, patient-friendly alternative to other imaging technologies, offering real-time results for a quick diagnosis.

 

There are many factors to consider when buying an ultrasound machine, whether you need to replace an outdated system or purchase your first machine. You’ll want to choose a system that's well-suited for your facility or practice, employees, exam types, and budget. Considering the average lifespan of an ultrasound machine is around seven years, we understand that this is a big decision and one that will directly impact you and your team’s day-to-day workflow for years to come.

 

At Mindray North America, we offer a comprehensive suite of leading-edge, accessible ultrasound machines across many specialties and departments, ranging from Emergency Medicine to Radiology to Physician Offices and more. The list below encompasses the top considerations across a wide range of ultrasound applications and uses. The top needs will differ broadly between departments and specialties. However, from our experience and clinician feedback, these are some of the key considerations when purchasing an ultrasound machine.

To make an informed decision, here's what to look for in a new ultrasound system:

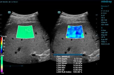
1. High-Resolution Images

Image quality and image-enhancing feature sets are typically top of mind when looking for a new ultrasound machine. The quality of the image directly impacts patient care, so it is important that you select a system that provides the quality you need to arrive at the appropriate diagnoses.

 

When evaluating a machine, pay careful attention to image resolution. For instance, ensure the machine offers excellent contrast resolution — its ability to distinguish between tissues with different levels of brightness. A high-quality ultrasound machine will show the subtle differences between tissues to enable a precise diagnosis.

 

Also, consider software features that enhance image clarity and reduce unwanted artifacts — images that don't represent real anatomical structures. This includes image processing algorithms like speckle reduction and spatial compounding, which reduce noise and improve image quality.

 

Learn More About Mindray's Award-Winning Imaging Technologies

 

2. Wide Transducer Breadth

If you're purchasing ultrasound machines for a multi-specialty facility, it's important to look for systems that offer a wide transducer breadth. For example, the Resona I9 Ultrasound System features multiple active transducer ports to support a comprehensive transducer family, including convex and linear transducers. This allows the technology to be used across departments and reduces the need to purchase multiple specialized machines.

 

A wide transducer breadth can also help your team save time when transitioning to different exams. With different transducers connected simultaneously, clinicians will not need to disconnect and reconnect them.

 

Lastly, a machine that supports a variety of transducers helps prepare your practice or facility for the future, if you're considering expanding into new specialties.

 

3. Automated Workflows

Most ultrasound systems come equipped with some level of exam automation. Exam automation software can help ensure that every exam is fully complete by walking the user through the images and measurements they need to acquire. This helps to standardize exams regardless of the clinician and can help reduce repeat exams and additional testing.

 

In evaluating these workflows, you’ll want to determine what exam types are available for automation, as this may vary between systems. You will also want to walk through the available protocols and see if they can be adjusted or customized to adhere to your practice standards or capture the specific workflows that each department or physician requires.

 

4. Ease of Use

Ease of use for physicians is essential when looking to purchase an ultrasound machine. Typically, in the Point of Care (POC) environment, being able to quickly arrive at a decision is of the utmost importance. POC environments include Emergency Departments, Urgent Care, Critical Care, and more. Being able to rapidly triage, diagnose, and treat is essential in POC environments due to the heightened severity associated with these patients.

 

Features that demonstrate a machine's overall ease-of-use include physical characteristics, like transducer maneuverability, and software navigation. Customizable, intuitive interfaces should be simple to navigate for both beginners and experienced sonographers. Handheld ultrasound systems, in particular, exemplify ease-of-use. These devices run on app-based platforms that clinicians can access through a smartphone or tablet. With a lightweight, wireless transducer and app-based interface, a handheld ultrasound offers exceptional usability at an attractive price point.

 

For Radiology environments, sonographers typically value how easy it is to get a ploppable image — meaning they can place a transducer on a patient and easily capture the images they need for the exam. Advanced features like one-touch optimization enable clinicians to obtain a clearer picture with the touch of a single dedicated key.

 

5. Seamless Interoperability

While most basic ultrasound machines offer some level of data management, not all seamlessly integrate with a facility's Picture Archiving and Communication System (PACS). A machine that integrates with PACS will automatically upload images, reducing the need for manual image transfer.

 

Ultrasound machines should be compliant with Digital Imaging and Communications in Medicine (DICOM®), which is an international standard that defines the format for sending and retrieving images to and from PACS. You can verify compatibility with your PACS with the machine provider's DICOM® conformance statement.

 

6. Ergonomic Design

Product Teaser B Swiper Component 1290x725 - 02-Ergonomic-Design-1290x725

Ergonomics tends to be a big consideration for sonographers who typically scan patients all day long. That's because work-related musculoskeletal disorders (WRMSDs) — injuries that employees develop from repetitive use or strain — are common among sonographers. A 2023 survey found that 64% of sonographers reported WRMSDs. While this is lower than what previous research showed, it still demonstrates the importance of ergonomic design, which can help reduce the risk of WRMSDs.

When looking for an ergonomic system, consider the following:

  • How easy is it to position the monitor?
  • Does the system have a fully articulating monitor so the screen can be adjusted to an optimal viewing angle in any environment?
  • Is the system fully adjustable for seated or standing use?
  • Is programmable-button transducer technology available?
  • What cable management options are there to prevent dragging and cable fatigue, decrease tripping hazards, and reduce contamination?

 

7. Transparent Total Cost of Ownership

 

When looking at price, it is imperative to look at the total cost of the system over its lifespan, not just the purchase price. This requires factoring in key costs like system warranty, service, training, and technology upgrades. The ultrasound system provider should be transparent about most, if not all, of these costs. That way, you can justify the expense of a new system to your facility's administration, if needed, and budget more accurately for the machine.

Explore Mindray’s industry-best total cost of ownership

 

8. Streamlined Disinfection

 

Ease of disinfection is critical to keep your healthcare team and patients healthy and your ultrasound systems running at peak performance. Some systems require a specialized disinfection process or can only be disinfected with certain products. You will want to inquire about this and determine if you can easily source the disinfectant required. You may also want to request to see the disinfection process during a demo to see how time-consuming or cumbersome it may be. Some systems, particularly Point of Care Ultrasound Systems (POCUS) have unique designs to reduce the time it takes to properly disinfect a system.

 

9. System Portability

 

The overall performance and portability of a system are key. You want an ultrasound machine that can provide superb image quality and tools that can enable you to improve workflow and exam times and reduce the need for rescans. Depending on how you plan to use the system, you may also need to consider how long a system can run on battery power alone and how long it takes for the system to boot up. A portable ultrasound system can help improve patient throughput due to the system’s mobility and small footprint, allowing clinicians to perform exams at the bedside.

A handheld ultrasound system takes portability a step further, fitting into a clinician's pocket. Because the device is wireless and functions as its own hot spot, a clinician can begin scanning nearly instantly in any location, including in tight spaces, at the bedside, or in an ambulance.

 

10. Competitive Warranty

 

It’s essential to look at the warranty coverage, availability of parts, and service time frames for parts when your system needs service to ensure you select a machine that fits your overall needs. When an ultrasound machine or any type of medical device breaks down, it can negatively affect workflow and productivity, lead to decreased patient throughput, and have clinical implications. Decreased patient throughput leads to revenue loss, which can wreak havoc on budgets.

When evaluating providers of ultrasound solutions, look for companies that have a robust, vertically integrated production model. This helps to ensure they have more control over the quality of every aspect of the system as well as improve overall efficiency to give you peace of mind that the products are safe, effective, and reliable.

Learn How Mindray Can Deliver The Highest Quality Products In The Industry, At Accessible Price Point

 

11. Ongoing Technology Updates

 

Healthcare technology is constantly changing to adapt to an ever-evolving industry. These changes encompass continual software upgrades and updates, which are often meant to enhance imaging and workflow capabilities as well as data security. Without regular software enhancements, an ultrasound machine may become technologically obsolete.

Ultrasound software updates, fixes, and enhancements can be significant operational expenses, with them averaging $10,000 or more per system annually. When selecting an ultrasound system, ensure it has the technology you need today and a solution to help you get the technology and upgrades you may need tomorrow.

See How Mindray Ensures Your Systems Remain At The Cutting Edge Of Imaging Performance Excellence — Free Of Charge

 

12. Responsive Support

 

When buying a new ultrasound machine, you’ll want to find a partner who will be there for you when you need them. Look into the solution provider's support and service model and see if these are included with the cost of the system or are separate. You'll also want to see how long it will take for them to respond to any service and sales requests.

Another key aspect is a company’s reputation and ability to adapt. Opt for a partner who can take your feedback and requests and turn them into actions. Your ultrasound technology partner should live and breathe healthcare, just like you, so you don’t have to worry about where their focus, passion, or interests lie.

Explore Mindray’s Unique Partnership-Driven Approach

Advanced Capabilities to Look for in an Ultrasound Machine

 

When examining advanced capabilities on an ultrasound machine, you want to look for the features and tools you will utilize most. Many companies offer innovative systems and packages developed for specific specialties such as Point of Care, Critical Care, Private Practice, Women’s Health, and General Imaging. When looking at the available features, be sure to see if the system can have features or technologies added later, as your needs and exam types may change.

 

Some features to look for include:

  • Contrast Enhanced Ultrasound (CEUS)
  • Shearwave Elastography
  • 3D/4D imaging
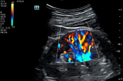
  • High-sensitivity Doppler modes
  • AI-powered workflow, productivity, and image optimization tools
  • Intuitive and customizable user interface with gesture-based controls

Why Trust Mindray?

 

At Mindray, we're not just committed to developing medical technology that addresses clinician needs — we're  dedicated to providing responsive service and building lasting partnerships. From the initial product demo throughout post-purchase, we'll be there to answer your questions, ensure your technology runs smoothly, and provide timely support. For us, developing medical technology is more than a job. It's a passion that drives us to partner with healthcare organizations in delivering high-quality patient care.

Top Ultrasound Machine Technologies to Consider from Mindray

 

Due to cost-effectiveness, portability, and safety, modern ultrasound machines are essential imaging tools for healthcare providers worldwide. Choosing a high-performing ultrasound system helps ensure you have the technology to deliver timely, high-quality patient care.

At Mindray, we offer a full portfolio of leading-edge, user-friendly ultrasound solutions, from powerful cart-based machines to next-generation handheld ultrasound systems. Our solutions are developed to address the unique imaging, cost, and workflow needs in various specialties and departments.

Product Teaser B Swiper Component 1290x725 - 03-Imagyn-I9-Ultrasound-System-1290x725

For example, the Imagyn I9 Ultrasound System is one of our most advanced solutions for Women's Health, featuring robust automation and AI capabilities and innovative ergonomics to aid workflow. We've also developed a line of innovative POCUS solutions, including the TE Air Wireless Handheld Ultrasound, to help clinicians make rapid decisions right at the bedside.

Contact us today to learn more about our ultrasound systems or request a demo.

false