mindray
search search login
Mein Konto Abmelden
Menu
  • Produkte & Lösungen
    Lösungen Produkte Community
    Lösungen
    • Krankenhaus-Gesamtlösung
      • Für ER
      • Für Intensivstationen
      • Für CCU
      • Für den OP
      • M-Connect IT-Lösung
      • Partnerschaft
      • Alle ansehen
    • Notfallbehandlung
    • Intensivbehandlung
    • Perioperative Behandlung
    • Minimalinvasive Chirurgie
    • Medizinische Bildgebung
      • Allgemeine Bildgebung
      • Frauenheilkunde
      • Kardiologie
      • Point of Care
      • Ärztliche Grundversorgung
      • Leberbehandlung
      • Alle ansehen
    • Cybersicherheit
    • Alle ansehen
    Produkte
    • Patientenüberwachung
      • Kontinuierliche Patientenüberwachung
        • Hohe Akuität
          • BeneVision V-Serie
          • BeneVision N22/N19
          • BeneVision N17/N15/N12
          • BeneVision N1
          • BeneView TDS
          • Alle ansehen
        • Mittlere/Niedrige Akuität
          • Serie ePM™
          • uMEC
          • Alle ansehen
      • Transportüberwachung
        • BeneVision N1
        • ePM10
        • BeneView TDS
        • Alle ansehen
      • Telemetrie-Überwachung
        • BeneVision™ TM80
        • Alle ansehen
      • Vitalparameter-Überwachung
        • VS 9
        • VS 8
        • VS-600
        • PM-60
        • Alle ansehen
      • Zentralisierte Überwachung
        • BeneVision™ CMS
        • BeneVision CMS Viewer
        • BeneVision CMS Mobile Viewer
        • Alle ansehen
      • Patientenüberwachungszubehör
      • Alle ansehen
    • Anästhesie
      • A-Serie
        • A9
        • A8
        • Alle ansehen
      • WATO-Serie
        • WATO EX-65 Pro
        • WATO EX-35
        • WATO EX-30
        • WATO EX-20
        • Alle ansehen
      • Alle ansehen
    • Beatmungsgeräte
      • SV-Serie
        • SV800/SV600
        • SV300 Pro
        • SV300
        • Alle ansehen
      • TV-Serie
        • TV50
        • TV80
      • Alle ansehen
    • Infusionssystem
      • Serie BeneFusion n
      • Serie BeneFusion e
      • Alle ansehen
    • AED
      • BeneHeart L-Serie
      • BeneHeart C-Serie
      • BeneHeart D1 (Pro)
      • AED-Alert 2.0
      • AED Partnerschaft
      • Alle ansehen
    • Defibrillator
      • BeneHeart DX
      • BeneHeart D60
      • BeneHeart D30
      • Die Notaufnahmelösung M-Connect
      • Alle ansehen
    • Elektrokardiograph (EKG)
      • BeneHeart R700
      • BeneHeart R300
      • Alle ansehen
    • Ultraschall
      • Allgemeine Bildgebung
        • Resona A20
        • Resona I9 Elite Edition
        • Resona I8
        • Resona R9
        • Resona 7
        • Resona I9
        • Serie X-Insight
        • Alle ansehen
      • Frauenheilkunde
        • Nuewa I9 Elite Edition
        • Nuewa I8
        • Nuewa R9
        • Nuewa I9
        • Alle ansehen
      • Kardiologie
        • M9
        • MX7
        • Alle ansehen
      • Point of Care
        • TEX20-Serie
        • TE Air
        • TE9
        • TE7
        • ME-Serie
        • M9
        • Alle ansehen
      • Ärztliche Grundversorgung
        • Serie Consona N
        • DC-60 Exp
        • Z60
        • Z50
        • DP-50Exp
        • Alle ansehen
      • Leberbehandlung
        • Resona A20
        • Resona I9 Elite Edition
        • Alle ansehen
      • Alle ansehen
    • OP-Leuchten
      • Video-Lösungen
    • IT-Produkte
      • eGateway
      • BeneLink
      • Alle ansehen
    • Mindray Tiermedizintechnik
    • Alle ansehen
    Community
    • LabClub
    • M-academy
  • Innovation
  • Dienstleistungen
    • Übersicht
    • Krankenhauszukunftsfonds
    • Technischer Service
    • Patientenüberwachungszubehör
    • Angebotsanfrage
  • ESG
  • Karriere
  • Über uns
    • Zweck
    • Perspektive
    • Unser Ansatz
    • Geschichte
    • Unsere Kultur
Medienzentrum
Kontakt
Region/Sprache wählen
Region/Sprache wählen
  • Global - English
  • Australia - English
  • Argentina - Español
  • Brazil - Português
  • Canada - English
  • Chile - Español
  • China - 中文
  • Colombia - Español
  • Ecuador - Español
  • Egypt - English
  • France - Français
  • Germany - Deutsch
  • India - English
  • Indonesia - Indonesian
  • Italy - Italiano
  • Latin America - Español
  • Kenya - English
  • Korea - 한국어
  • Malaysia - English
  • Mexico - Español
  • Morocco - English
  • Netherlands - Dutch
  • Nigeria - English
  • Panama - Español
  • Peru - Español
  • Philippines - English
  • Poland - Polski
  • Russia - Русский
  • Saudi Arabia - English
  • South Africa - English
  • Spain - Español
  • Thailand - English
  • Türkiye - Türkçe
  • United Kingdom - English
  • United States - English
  • Venezuela - Español
  • Vietnam - English
bewerbdoc

Unsere Jobangebote

thunderdoc

Blitzbewerbung

Loading

News

Filter
  • Alle (20)
  • Mindray’s MSCI ESG rating jumps to AA level, the highest for A-share listed companies
    Mindray’s MSCI ESG rating jumps to AA level, the highest for A-share listed companies
    ESG | Nachhaltigkeit 2023-06-28
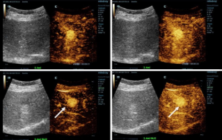
  • Genauere Diagnosen mit HiFR-CEUS
    Genauere Diagnosen mit HiFR-CEUS
    Kontrastmittelverstärkter Ultraschall (CEUS oder KM-Sonografie) ist ein außerordentlich dynamisches Feld, auf dem in den letzten Jahren weitere technologische Innovationen zur Verbesserung der Bildqualität erreicht werden konnten. Eine dieser Innovationen ist der kontrastmittelverstärkte Ultraschall mit hoher Bildrate (HiFR-CEUS), der im Vergleich zu herkömmlichem Ultraschall bis zu zehnmal so viele Bilder liefert – in derselben Zeit.
    Ultraschall | Allgemeine Bildgebung 2022-12-16
  • Markteinfuehrung Der Consona Serie
    Markteinfuehrung Der Consona Serie
    2022-03-31
  • World Restart A Heart Worldrestartaheart Jeder Auf Der Welt Kann Ein Leben Retten
    World Restart A Heart Worldrestartaheart Jeder Auf Der Welt Kann Ein Leben Retten
    2021-10-27
  • Defi Aktion Jede Sekunde Zaehlt
    Defi Aktion Jede Sekunde Zaehlt
    2021-07-02
  • Gemeinsam Leben Retten
    Gemeinsam Leben Retten
    2021-06-30
  •  Mindray Feiert 30 Jaehriges Firmenjubilaeum
    Mindray Feiert 30 Jaehriges Firmenjubilaeum
    2021-04-21
  • Mindray Bringt Eine Neue Deckenversorgungseinheit Auf Den Markt
    Mindray Bringt Eine Neue Deckenversorgungseinheit Auf Den Markt
    2021-03-24
  • Mindray verändert die Spot-Check-Patientenüberwachung mit den neuen Vitaldatenmonitoren der VS-Serie
    Mindray verändert die Spot-Check-Patientenüberwachung mit den neuen Vitaldatenmonitoren der VS-Serie
    2021-02-04
  • Krankenhauszukunftsgesetz Khzg Mindray Als Partner Bei Der Digitalisierung Und Modernisierung Ihrer Infrastruktur
    Krankenhauszukunftsgesetz Khzg Mindray Als Partner Bei Der Digitalisierung Und Modernisierung Ihrer Infrastruktur
    2021-01-20
Loading
Mehr laden
  1. Startseite
  2. Medienzentrum
  3. News
Verwalte deine Privatsphäre
Um dir ein optimales Erlebnis zu bieten, verwenden wir Technologien wie Cookies, um Geräteinformationen zu speichern und/oder darauf zuzugreifen. Wenn du diesen Technologien zustimmst, können wir Daten wie das Surfverhalten oder eindeutige IDs auf dieser Website verarbeiten. Wenn du deine Zustimmung nicht erteilst oder zurückziehst, können bestimmte Merkmale und Funktionen beeinträchtigt werden.
Funktional Immer aktive

Die technische Speicherung oder der Zugang ist unbedingt erforderlich für den rechtmäßigen Zweck, die Nutzung eines bestimmten Dienstes zu ermöglichen, der vom Teilnehmer oder Nutzer ausdrücklich gewünscht wird, oder für den alleinigen Zweck, die Übertragung einer Nachricht über ein elektronisches Kommunikationsnetz durchzuführen.

Statistiken

Die technische Speicherung oder der Zugriff, der ausschließlich zu anonymen statistischen Zwecken verwendet wird. Ohne eine Vorladung, die freiwillige Zustimmung deines Internetdienstanbieters oder zusätzliche Aufzeichnungen von Dritten können die zu diesem Zweck gespeicherten oder abgerufenen Informationen allein in der Regel nicht dazu verwendet werden, dich zu identifizieren.

Marketing

Die technische Speicherung oder der Zugriff ist erforderlich, um Nutzerprofile zu erstellen, um Werbung zu versenden oder um den Nutzer auf einer Website oder über mehrere Websites hinweg zu ähnlichen Marketingzwecken zu verfolgen.

Akzeptieren Ablehnen Optionen verwalten Einstellungen speichern
Funktional Immer aktiv

Die technische Speicherung oder der Zugang ist unbedingt erforderlich für den rechtmäßigen Zweck, die Nutzung eines bestimmten Dienstes zu ermöglichen, der vom Teilnehmer oder Nutzer ausdrücklich gewünscht wird, oder für den alleinigen Zweck, die Übertragung einer Nachricht über ein elektronisches Kommunikationsnetz durchzuführen.

Statistiken

Die technische Speicherung oder der Zugriff, der ausschließlich zu anonymen statistischen Zwecken verwendet wird. Ohne eine Vorladung, die freiwillige Zustimmung deines Internetdienstanbieters oder zusätzliche Aufzeichnungen von Dritten können die zu diesem Zweck gespeicherten oder abgerufenen Informationen allein in der Regel nicht dazu verwendet werden, dich zu identifizieren.

Marketing

Die technische Speicherung oder der Zugriff ist erforderlich, um Nutzerprofile zu erstellen, um Werbung zu versenden oder um den Nutzer auf einer Website oder über mehrere Websites hinweg zu ähnlichen Marketingzwecken zu verfolgen.

Your Choices Regarding Cookies on this Site
Cookies are important to the proper functioning of a site. To improve your experience, we use cookies to remember log-in details and provide secure log-in, collect statistics to optimize site functionality, and deliver content tailored to your interests. Click Agree and Proceed to accept cookies and go directly to the site or click on More Information to see detailed descriptions of the types of cookies and choose whether to accept certain cookies while on the site.
Accept and Proceed More Information
Function unavailable
Some functions cannot be used properly because of the privacy settings of your browser. Please modify your privacy settings and retry. (Conact Us, Remember Me, Accessories Search)
  • Produkte
    • Patientenüberwachung
    • Ultraschall
    • AED
    • Defibrillatorsystem
    • Anästhesie
  • Lösungen
    • Krankenhaus-Gesamtlösung
    • Notfallbehandlung
    • Intensivbehandlung
    • Perioperative Behandlung
    • Medizinische Bildgebung
    • Minimalinvasive Chirurgie
    • Informationsmaterial
  • Dienstleistungen
    • Krankenhauszukunftsfonds
    • Technischer Service
    • Schulung und Weiterbildung
    • Patientenüberwachungszubehör
  • Medienzentrum
    • Veranstaltungen und Aktivitäten
    • Kundengeschichten
    • News
    • Blog
    • Presse
    Karriere
  • Über uns
    • Zweck
    • Perspektive
    • Unser Ansatz
    • Geschichte
    • Unsere Kultur
    • ESG/Nachhaltigkeit
    • Virtuelle Tour durch Mindray
    Kontakt
    • Angebotsanfrage
Mindray Medical Germany GmbH Goebel­straße 21 64293 Darmstadt
06151 3910 - 0
info@mindray.de
Unsere Geschäfts­zeiten: Mo-Do von 8 bis 17 Uhr Fr von 8 bis 16 Uhr
Datenschutz | Kontakt | Impressum | AGB | Cookie-Richtlinie | Site Map
© 2026 Shenzhen Mindray Bio-Medical Electronics Co., Ltd. Alle Rechte vorbehalten.

Open Wechat and Scan the QR Code. Stay Tuned with Mindray.

Willkommen auf der deutschen Webseite von Mindray
Die Informationen auf dieser Website sind ausschließlich für Gesundheitsversorger bestimmt. Diese Webseite kann Werbung für Produkte und Dienstleistungen enthalten.
Sind Sie eine solche Person und möchten Sie sich mit den Inhalten der Seite vertraut machen?
Nein Ja Kontakt