Schmerz abschalten mit ultraschallgesteuerten Rumpfblockaden

ultrasound-controlled-kv-pc

Faszien enthalten Nervenfasern, die wiederum für die Entstehung von Schmerzen verantwortlich sind. Dieses Wissen ist nicht neu, doch konnten Narkoseärzte lange keinen klinischen Nutzen daraus ziehen. Erst die Fortschritte bei der Ultraschalltechnik eröffneten hier faszinierende neue Perspektiven.

So steht heute mit der peripheren Rumpfwandblockade ein Regionalanästhesieverfahren zur Verfügung, mit dem sich Faszienschichten selektiv betäuben lassen. Für Patienten, die sich bestimmten laparoskopischen bariatrischen Operationen unterziehen müssen, bietet dies viele Vorteile, sagt Dr. Jens Döffert, Chefarzt an der Klinik für Anästhesie und Intensivmedizin des Kreisklinikums Calw-Nagold. In seiner Abteilung werden Rumpfblockaden ganz konsequent bei allen abdominalchirurgischen Patienten durchgeführt.

 

Dazu muss man wissen, dass bei Bauch-OPs zwei unterschiedliche Arten von Schmerz auftreten können: Der viszerale Schmerz, auch Eingeweideschmerz genannt, und der somatische Schmerz, der von der Bauchdecke ausgeht. Der somatische Schmerz ist es, der bei einer Rumpfblockade ausgeschaltet wird. Dabei werden nicht einzelne Nerven angesteuert, sondern das Lokalanästhetikum flächig zwischen einzelne Muskelschichten injiziert.

 

Das an den Standorten Calw und Nagold verwendete Ultraschallgerät TE7 von Mindray biete aufgrund seiner hohen Abbildungsleistung beste Voraussetzungen, um solche Blockaden in die vordere Bauchwand zu setzen, erläutert Döffert: „Mit dem MSK Preset können wir die Muskulatur sehr gut abgrenzen. Dadurch gewinnen wir nicht nur an Präzision und Sicherheit, wenn wir die Injektion setzen, sondern auch der Zeitaufwand hält sich in Grenzen.“

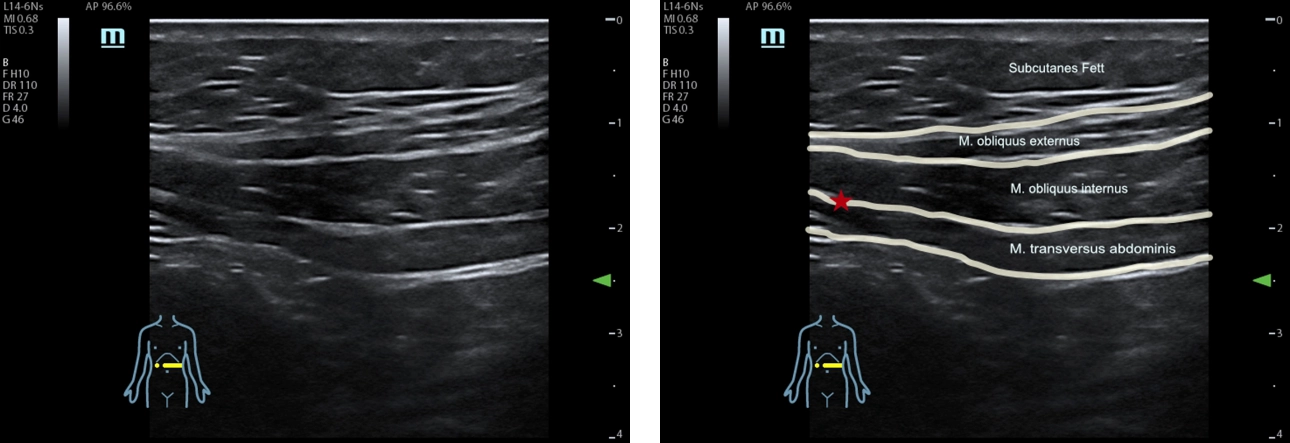
ultrasound-controlled-fig1-pc
Sonoanatomie laterale Rumpfwandschichten, subcostal links. Roter Stern: Zielstruktur der (subcostalen) Transversus abdominal plane Blockade

Schonend und sicherer als der Standard

Im Vergleich zu herkömmlichen zentral-neuroaxialen Verfahren wie der Spinal- oder Periduralanästhesie ist diese Vorgehensweise deutlich weniger risikobehaftet. Schließlich birgt eine rückenmarksnahe Anästhesie immer eine gewisse Gefahr: „Eine Infektion oder Blutung in diesem Bereich stellt eine schwerwiegende Komplikation dar, die man tunlichst vermeiden möchte. Außerdem kommt es nicht selten zu starken Kreislaufreaktionen wie Blutdruckabfall oder Verlangsamung des Herzschlags, die wir medikamentös auffangen müssen. Und natürlich darf man nicht vergessen, dass es für den Patienten Schöneres gibt, als mit einer Nadel in den Rücken gestochen zu werden.“

ultrasound-controlled-quote

Selbst bei sehr kräftigen Patienten mit einem Body Mass Index 50 plus erreichen wir mit unserem Gerät noch eine ausreichende Auflösung, um die Zielstrukturen sicher darzustellen.

 

Dr. Jens Döffert

Chefarzt der Kliniken für Anästhesie und Intensivmedizin der Kreiskliniken Calw-Nagold, Standorte Calw und Nagold

Eine Rumpfblockade dagegen führen Döffert und seine Kollegen dann durch, wenn der Patient bereits in Vollnarkose liegt. Üblicherweise erfolgt die Installation der Lokalanästhetika über mehrere Einstichstellen in unterschiedlichen Quadranten. Die Flüssigkeit wird zwischen zwei Muskelschichten injiziert, um diese voneinander zu trennen. „Im Ultraschall kann ich genau verfolgen, wann ich in der richtigen Schicht bin, wie die Muskelschichten auseinander gehen und sich das Lokalanästhetikum spindelförmig ausbreitet. Selbst bei sehr kräftigen Patienten mit einem Body Mass Index 50 plus erreichen wir mit unserem Gerät noch eine ausreichende Auflösung, um die Zielstrukturen sicher darzustellen.“ In besonderem Maße profitieren auch antikoagulierte Patienten von der neuartigen Blockadetechnik, denn da sie weniger invasiv ist, besteht auch kein erhöhtes Blutungsrisiko.

 

Den größten Nutzen hat die Betäubung der Bauchwand allerdings hinsichtlich der Linderung postoperativer Schmerzen. So mehren sich wissenschaftliche Studien, die zeigen, dass beispielsweise der Einsatz eines sogenannten TAP-Blocks (Transversus abdominis Plane-Block) bei einer laparoskopischen Leistenhernien-OP zu einer deutlichen Verringerung des Opiatbedarfs und zu einer Verbesserung der postoperativen Ergebnisse führt.1 Das liegt daran, dass eine somatische Analgesie bei laparoskopischen Eingriffen genau dort wirkt, wo es weh tut. In der Vergangenheit wurde ein Bauchwandschmerz oft mit einem Eingeweideschmerz verwechselt oder gleichgesetzt. Erst seitdem der Ultraschall die Faszien in den Fokus der Aufmerksamkeit gerückt hat, besteht die Möglichkeit, Schmerzen genauer nach ihrem Ursprungsort zu differenzieren.

Neue Erkenntnisse für die postoperative Analgesie

Während man in der Vergangenheit also noch davon ausging, dass postoperative Schmerzen nach einer laparoskopisch durchgeführten Hernienoperation im Wesentlichen abdominelle Ursachen hatten, lässt sich heute erschließen, dass es die Trokar-Einstichstellen sind, die hauptsächlich Probleme bereiten. Dieser Wissensgewinn ist von entscheidender Bedeutung, um etwa einer Chronifizierung von Schmerzen vorzubeugen. Die ersten 24 Stunden seien dabei besonders entscheidend, betont Döffert: „Mittlerweile gibt es eine ganze Serie an Arbeiten, die zeigen, dass eine Rumpfblockade in den ersten 12 bis 24 Stunden zu einer guten Analgesie führt. Das heißt, wir haben das kritische Zeitfenster gut abgedeckt.“2,3

ultrasound-controlled-quote

Mittlerweile gibt es eine ganze Serie an Arbeiten, die zeigen, dass eine Rumpfblockade in den ersten 12 bis 24 Stunden zu einer guten Analgesie führt. Das heißt, wir haben das kritische Zeitfenster gut abgedeckt.

 

Dr. Jens Döffert

Tatsächlich brauche die Mehrzahl an Patienten, bei denen an seiner Klinik eine laparoskopische Hernienversorgung ambulant durchgeführt werde, keine postoperativen Opiate. Vor dem Hintergrund, dass solche starken Schmerzmittel mit schwerwiegenden Risiken und Nebenwirkungen in Verbindung stehen, sei dies ein großer Gewinn, so der Experte abschließend.

Profil:

Dr. med. Jens Döffert schloss 1998 sein Medizinstudium an der Eberhard Karls Universität in Tübingen ab. 2004/2005 folgten die Facharztausbildung Anästhesie sowie die Ausbildung zum Facharzt spezielle Intensivmedizin. Nach verschiedenen Stationen als Oberarzt, Leitender Oberarzt und Chefarzt an Kliniken in Stuttgart, Bad Friedrichshall, Karlsbad-Langensteinbach und Bad Wildbad übernahm Döffert 2016 den Posten als Chefarzt der Klinik für Anästhesie und Intensivmedizin, Klinikverbund Südwest, Kliniken Calw-Nagold, Kliniken Calw. Seit 2018 ist er zudem Chefarzt der Kliniken für Anästhesie und Intensivmedizin der Kreiskliniken Calw-Nagold, Standorte Calw und Nagold.

Literatur:

[1] Sørenstua M et al.: Efficacy of a TAP block versus an anterior QLB for laparoscopic inguinal hernia repair: A randomised controlled trial; Acta Anaesthesiologica Scandinavica 2023

[2] Ra YS et al.: The analgesic effect of the ultrasound-guided transverse abdominis plane block after laparoscopic cholecystectomy; Korean Journal of Anesthesiology 2010

[3] Hamid HKS et al.: Transversus abdominis plane block using a short-acting local anesthetic reduces pain and opioid consumption after laparoscopic bariatric surgery: a meta-analysis; Surgery for Obesity and Related Diseases 2020