nuewa-i9-kv-pc
彩色多普勒超声系统

女娲Nuewa I9

影有型 智无边

创新 是应对医疗趋势变化的关键

伴随医疗趋势的发展变化,如何应对快速增长的病人检查,疑难病症的诊断,以及不同医疗机构的协同合作,成为了超声设备当前所面临的严峻挑战。


与此同时,用户在各类场景下使用需求的不断细化,也对产品提出了更高的创新要求。

 

女娲 深入洞察妇产场景需求,解决场景下的临床痛点,为用户带来全面的创新体验,当中包括:

  • 精准高效的诊断创新
  • 精致舒适的交互创新
  • 触手可及的远程创新
nuewa-i9-fig1-pc

平台突破,诊断创新

nuewa-i9-fig2-1-pc
基于全息数据的ZST+域光平台,搭载极速处理硬件架构,突破了传统超声波束合成在成像空间分辨力和时间分辨力的技术限制,拥有更快的成像速度,更高分辨力的整场图像,为用户带来更精准的影像诊断。

创新的全栈式妇儿解决方案,提供全栈应用下的场景全栈自动化。全栈应用覆盖孕前,孕中,产后及新生儿。场景全栈自动化,针对不同妇儿临床场景提供全流程的自动化,包括自动成像,自动切面获取,自动定量分析,自动工作流。

nuewa-i9-fig2-2-pc
智汇致影
生殖健康解决方案
产科筛查解决方案
产后康复解决方案
子宫内膜自动测量
提供至少两个正交平面上的勾勒轮廓,自动分割出目标。并可对任意位置的剖面轮廓进行灵活的编辑,同时提供多种定量分析,全面评估目标区域内血管占比及血流强度,子宫内膜评估更加精准高效。
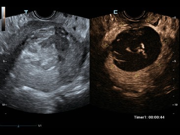
nuewa-i9-fig3-1-1
输卵管容积造影
清晰显示造影剂在宫腔和输卵管及盆腔显影情况,可帮助判断宫腔和输卵管畸形/病变,明确输卵管是否有梗阻及阻塞部位,有效评估输卵管的通畅性。
nuewa-i9-fig3-1-2
产科容积自动切面识别
一键式胎儿颅脑筛查自动解决方案,能自动获取胎儿颅脑检查的四个标准切面,并自动测量六项生理参数。全自动,高精准的胎儿中枢神经系统筛查工具。
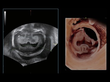
nuewa-i9-fig3-2-1
立体光影成像
基于ZST+ 域光平台,高效的3D/4D 成像和丰富的渲染方式,实现全新多光源及体积光成像效果,提高多方位不同效果的观察灵活性,增强3D/4D图像的立体感及真实感。
nuewa-i9-fig3-2-2
自动盆底超声解决方案
系统自动建立参考测量基准线,按照标准流程,自动测量出前盆腔参数。自动进行肛提肌裂孔边界识别及面积等参数计算,并自动检测“开闭闭”切面,快速输出肛提肌评估指标。
nuewa-i9-fig3-3-1
自动盆底超声解决方案
系统自动建立参考测量基准线,按照标准流程,自动测量出前盆腔参数。自动进行肛提肌裂孔边界识别及面积等参数计算,并自动检测“开闭闭”切面,快速输出肛提肌评估指标。
nuewa-i9-fig3-3-2
医学共享,触手可及

瑞影云++ 赋能迈瑞超声设备,为远程会诊、远程质控、教学培训、研讨社区场景提供远程超声解决方案,有效应对超声医疗资源不均衡的困境。

nuewa-i9-fig4-pc
优异的图像质量
  • nuewa-i9-fig10-1

    宫内节育器

  • nuewa-i9-fig10-2

    卵巢占位

  • nuewa-i9-fig10-3

    胎儿胃肠道扩张

  • nuewa-i9-fig10-4

    胎儿锥体畸形

  • nuewa-i9-fig10-5

    卵泡

  • nuewa-i9-fig10-6

    盆底自动成像

  • nuewa-i9-fig10-7

    早孕

  • nuewa-i9-fig10-8

    子宫动脉频谱

  • nuewa-i9-fig10-9

    胼胝体及小脑蚓部

  • nuewa-i9-fig10-10

    前脑无裂容积成像

  • nuewa-i9-fig10-11

    子宫肌瘤弹性

  • nuewa-i9-fig10-12

    子宫内膜粘连

  • nuewa-i9-fig10-13

    胎儿脊柱

  • nuewa-i9-fig10-14

    胎儿面部

  • nuewa-i9-fig10-15

    子宫肿瘤造影

  • nuewa-i9-fig10-16

    胎儿足内翻

true