迈瑞鲲鹏 Recho R9 心血管超声诊断系统
心血管超声诊断系统

鲲鹏 Recho R9

心之所动,智像万里

专业的心血管彩超

随着社会经济的发展,国民生活方式的变化,尤其是人口老龄化及城镇化进程的加速,居民不健康生活方式问题日益突出,致使心血管疾病患病率持续增高,临床诊断难度大。

迈瑞鲲鹏 Recho R9 基于以上痛点,以新一代 eZST+ 域影平台为基石,带来:

  • 清晰的心血管影像
  • 精准的心功能评估
  • 高效的工作体验

结构评估的基石

eZST+ 域影平台

基于域扫描技术的域影平台,突破传统超声波束合成在成像空间分辨力和时间分辨力的技术限制,拥有更快的成像速度,更高的图像帧频,更佳的血流灵敏度和整场均一性。同时可搭载矩能探头和面阵探头,支持实时三维成像,更为精准的观察和评估心脏的解剖结构,为病变的定性和定量诊断提供重要影像依据和支撑。

宏阵列合成技术

实现三维声场的精准发射与接收

超域动态血流

实现高速异常血流与低速微小血流的兼容成像

宽域谐波成像

更宽域扫描范围,实现图像帧频与细节分辨率的同步提升

图像自适应优化

实时自动优化心脏各切面图像参数

清晰影像

精准量化

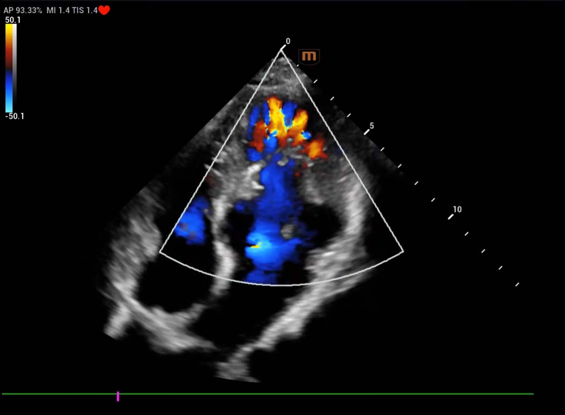
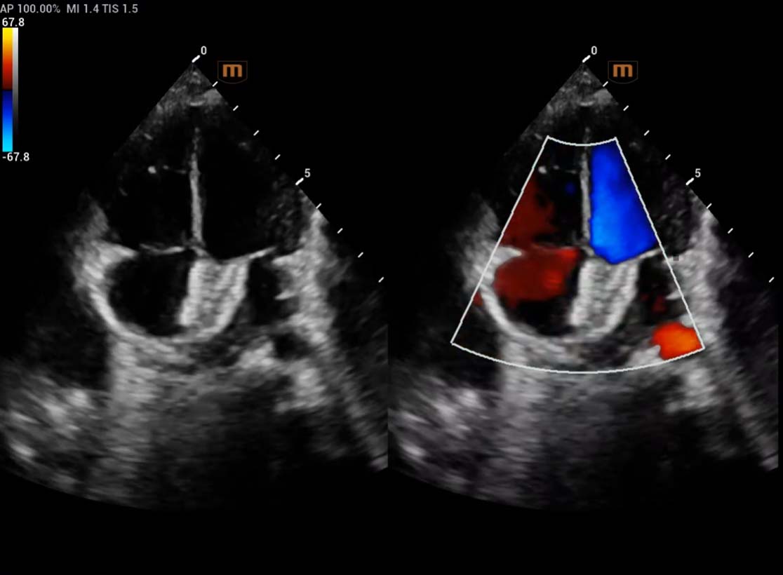
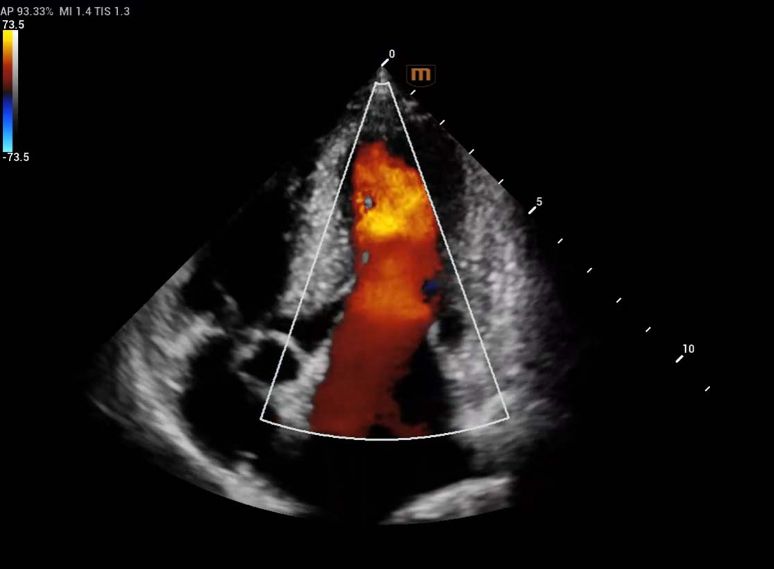
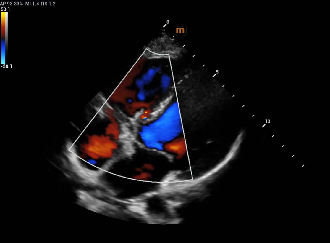
心脏二维灰阶与彩色多普勒成像

图像具备高帧频与高细节分辨率,同时兼容高低速血流信息

心肌淀粉样病变

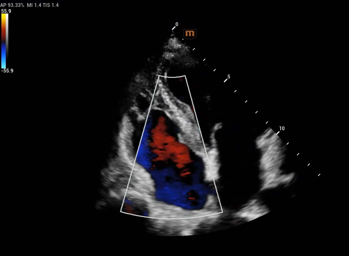
主动脉瓣反流

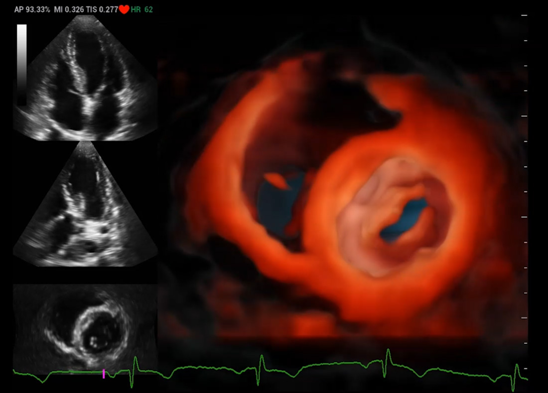
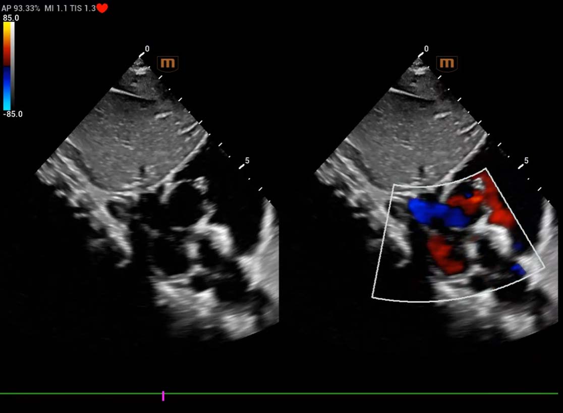
心脏实时三维成像

支持多平面成像、辅助成像和多种渲染模式等,助力诊断结构性心脏病

X-Vue 实时多平面成像

iLive Echo 立体光影成像

心血管造影成像

精准评估左心室容量、功能量化评估心肌微循环灌注

LVO 左心室显影

VLMI Contrast 心肌造影

Echo Contrast Imaging QA 心肌造影定量分析

负荷成像

在药物、运动或其它负荷条件下,评估患者冠脉血流储备能力,判断心肌缺血程度和心肌存活性

开启智能心血管检查的新篇章

自动化心功能定量分析
Auto Strain LV 自动左心应变评估

自动识别切面类型并定位心肌内膜,跟踪室壁的连续运动,直观显示左心室各节段在纵向、横向上的力学变化,评价心肌运动状况。

Auto Strain RV 自动右心应变评估

全自动化识别、追踪、描迹、分析心脏超声切面,提供右心室游离壁三个节段的纵向应变值和曲线。

开启智能心血管检查的新篇章

自动化心功能定量分析
Auto VQLA 自动左房容量评估

自动识别切面并描迹左房壁,计算左房容积大小和左房容积指数,评估左室舒张功能。

Auto DFR 舒张功能自动测量

自动进入 PW 和 TVD 模式,定位取样容积,计算心功能参数,评估心脏舒张功能。

开启智能心血管检查的新篇章

血管功能评估
V Flow 向量血流成像

创新的血流动力学成像及定量分析工具,使用彩色矢量箭头追踪血细胞运动速度的大小和方向。

RIMT 实时血管内中膜测量

基于全息数据的血管内中膜检测技术,不依赖图像,可实时评估内中膜厚度。

R-VQS 全息血管硬度分析

获取脉搏波速度,进行血管壁的硬度定量评估,早期发现和预防动脉血管病变。

清晰影像

心脏二维灰阶与彩色多普勒成像

图像具备高帧频与高细节分辨率,同时兼容高低速血流信息

心肌淀粉样病变

主动脉瓣反流

心脏实时三维成像

支持多平面成像、辅助成像和多种渲染模式等,助力诊断结构性心脏病

X-Vue 实时多平面成像

iLive Echo 立体光影成像

心血管造影成像

精准评估左心室容量、功能量化评估心肌微循环灌注

LVO 左心室显影

VLMI Contrast 心肌造影

Echo Contrast Imaging QA 心肌造影定量分析

负荷成像

在药物、运动或其它负荷条件下,评估患者冠脉血流储备能力,判断心肌缺血程度和心肌存活性

精准量化

开启智能心血管检查的新篇章
自动化心功能定量分析

Auto Strain LV 自动左心应变评估

自动识别切面类型并定位心肌内膜,跟踪室壁的连续运动,直观显示左心室各节段在纵向、横向上的力学变化,评价心肌运动状况。

Auto Strain RV 自动右心应变评估

全自动化识别、追踪、描迹、分析心脏超声切面,提供右心室游离壁三个节段的纵向应变值和曲线。

Auto VQLA 自动左房容量评估

自动识别切面并描迹左房壁,计算左房容积大小和左房容积指数,评估左室舒张功能。

Auto DFR 舒张功能自动测量

自动进入 PW 和 TVD 模式,定位取样容积,计算心功能参数,评估心脏舒张功能。

血管功能评估

V Flow 向量血流成像

创新的血流动力学成像及定量分析工具,使用彩色矢量箭头追踪血细胞运动速度的大小和方向。

RIMT 实时血管内中膜测量

基于全息数据的血管内中膜检测技术,不依赖图像,可实时评估内中膜厚度。

R-VQS 全息血管硬度分析

获取脉搏波速度,进行血管壁的硬度定量评估,早期发现和预防动脉血管病变。

高效流畅

23.8” 超大医用液晶显示器
15.6” 手势控制触摸屏
支持五探头接口
心血管专科面板

1

23.8” 超大医用液晶显示器

2

15.6” 手势控制触摸屏

3

心血管专科面板

4

支持五探头接口

心血管专科探头

覆盖心脏检查项目的心血管探头家族,包含成人、小儿及新生儿应用下的经胸探头、经食道探头及线阵探头等,真实还原组织原貌,再现解剖细节,为医生提供更多诊断信息。

优异的图像质量

二尖瓣后叶脱垂

房间隔封堵术后

隔瓣下室缺

梗阻性肥厚型心肌病

卵圆孔未闭

三尖瓣反流

室间隔缺损

左室双室心并中部梗阻

false