清晰
清晰图像,镜下一致
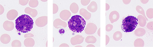
真实还原各类正常细胞特征,完美呈现细胞细腻质感、色泽和内部细节,异常细胞的纹路、胞浆、颗粒清晰复现。
病理特征,精准捕捉
多景深融合技术
模拟手动调焦,精准还原细胞病理特征,有助于对血液病(如急性早幼粒白血病)、感染性疾病的早期筛查。
智慧
精准分类,助筛血液病
联合血常规,智能阅片
智能化阅片规则,完备复检规则和自动审核规则,完善标准化血液检测流程



从容
极致高速,TAT无忧

极致60速
保证1000样本量/天、15%复检率的客户,TAT小于30分钟。

“磐石”超稳防抖系统:
采用航天工艺和材料,先进防抖算法,保证高速连拍图像清晰不模糊。
跨院跨科室,均质发展
跨院区、跨科室远程审核、会诊:上传形态学脱敏完整案例,方便形态学专家随时指导,提高报告质量,让医联体、多院区、多科室质量一致。

洞察需求 方便易用

灵活搭配适应多样需求
MC-80可作为模块接入迈瑞CAL 8000、CAL 7000血液分析流水线


宽×深×高:2305×1030×810(mm)

宽×深×高:2975×1030×810(mm)

宽×深×高:5630×1030×1520(mm)

宽×深×高:7140×1030×1470(mm)