zhg937-s1-web
全数字便携式超声诊断系统

DP-50 Expert

精致灵巧 超凡至臻

秉承“ 生命科技,如此亲近 ”的理念,迈瑞一直致力于发展医疗技术和提高患者医护质量。 DP-50Expert 外观小巧,移动便捷,操作方便,质量可靠,全面满足多种临床应用需求,为您提供超乎想象的帮助。

优异的产品结构设计

zhg937-s3

先进的超声成像技术

高端超声技术平台的引进,以及先进的超声成像技术的应用,给DP-50的二维图像质量带来了突破性的提升,大大的增强了超声医生的临床诊断信心。

iTouch图像一键优化
集各种模式优化条件于一键,使医生在轻触之间对不同模式下的超声图像进行优化,操作简单快捷
zhg937-s5-1
iBeam复合成像
多角度的空间复合成像,在抑制随机噪声和杂波信号的同时提高了空间分辨率,提供更多的诊断信息
zhg937-s5-2
iClear斑点噪声抑制
自动均衡的噪声抑制技术能够识别并增强有效的诊断信息,抑制噪声干扰,使人体组织结构更清晰
zhg937-s5-3
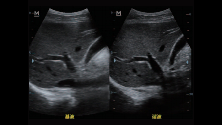
宽带频移谐波技术
可在频域上有效的分离基波和谐波,得到更纯净的谐波信号,使谐波图像质量更优
zhg937-s5-4
新增临床应用功能
  • zhg937-s6-1

    伪彩功能

  • zhg937-s6-2

    IMT血管内中膜测量

  • zhg937-s6-3

    碎石引导功能

  • zhg937-s6-4

    梯形成像

  • zhg937-s6-5

    二维角度独立偏转

  • dp-50-exp-fig6-6

    3D 胎儿面部

false