zhg995-s1-web
高端彩色多普勒超声系统

Resona 7

底蕴 决定高度

域光平台的突破

ZST+域光平台突破了传统超声波束合成在成像空间分辨力和时间分辨力的技术限制,是对超声成像技术的一次变革,实现了对超声成像的三大创新:域扫描,全域动态聚焦,全息域技术。ZST+域光平台代表了未来超声成像的发展趋势。

zhg995-s3

气象万干

更优异的图像品质

更优的图像质量,更高的诊断信心。基于ZST+域光平台,Resona7定义了优异超声图像的新标准,满足临床诊断中对超声图像的更高要求。

  • zhg995-s5-1

    胰腺

  • zhg995-s5-2

    踝关节外伤积液

  • zhg995-s5-3

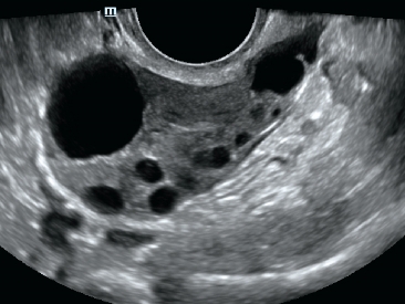
    卵巢

  • zhg995-s5-4

    睾丸血流

  • zhg995-s5-5

    颈总动脉和颈静脉

  • zhg995-s5-6

    主动脉返流

  • zhg995-s5-7

    肝癌造影

  • zhg995-s5-8

    浸润性导管癌STE弹性图

  • zhg995-s5-9

    动态向量血流

  • zhg995-s5-10

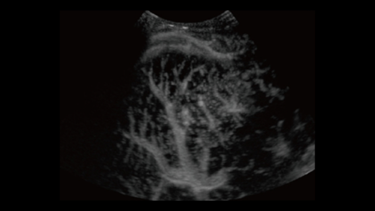
    组织斑点追踪

鹰击长空

更广阔的应用领域
动态向量血流V-Flow 7
通过彩色编码的向量箭头来追踪血流速度的大小和方向,生动且准确地显示外周 血管的血流动力学特征,且无角度依赖,提供更多的血流动力学信息。
动态向量血流
动态向量血流
超宽带非线性造影成像 UWN+
基于ZST+域光平台的UWN+造影技术,可以在保证造影信号强度的前提下,用尽可能低的机械指数确保更长的显影时间和更少的造影剂用量。
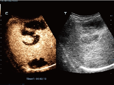
时间强度曲线定量分析
微血管灌注
STE弹性成像
Sound Touch Elastography

采用超宽带追踪技术,STE可以提供更快、更精准和更好穿透力的定量弹性图像,不仅定量组织的硬度信息,还具备评估组织浸润边界的shell功能。

zhg995-s8
融合成像 iFusion
基于毫米级精度的磁感应器,具有呼吸补偿的融合成像可 减少因病人呼吸而产生的融合失真,极大的提升了融合成像的精 准度。
无呼吸补偿的融合成像
具有呼吸补偿的融合成像
组织斑点追踪

春色辉映

贴心的人机工程设计

直观、便捷、智能的用户体验超出您的预期。宽大触摸屏引入时尚便利的手势操控。电动升降的可调控制面板,让您可以随时随意地处于最舒适的工作状态。

 

 

zhg995-s11
true