Mindray 2020-12-17
 
            Действительно ли требуется переливание тромбоцитов, если содержание тромбоцитов (PLT) чрезвычайно низкое? Давайте проанализируем следующий случай, подразумевающий иной ответ.
49-летняя женщина обратилась в отделение неотложной помощи с жалобой на транзиторное когнитивное расстройство. У нее были явно выраженные приступообразные головные боли, эпигастральные боли и рвота. КТ мозга не выявила никаких аномалий. Результаты лабораторных исследований показали наличие анемии и тяжелой формы тромбоцитопении. Чего следует ожидать?
 
Анализ крови (Рис. 1) показал низкое содержание эритроцитов (RBC) (3,07×1012/л) и низкий гемоглобин, что указывает на анемию. Содержание PLT-O составило 15×109/л (режим CDR, Mindray BC-6200). Столь низкое содержание PLT и аномальные параметры RBC привлекли наше внимание: следует ли начинать переливание тромбоцитов?
Гистограмма PLT была далека от нормальной. Затем мы проверили диаграмму рассеяния RET, в которой наблюдалось несколько точек PLT, а содержание RET было повышено (Рис. 2).
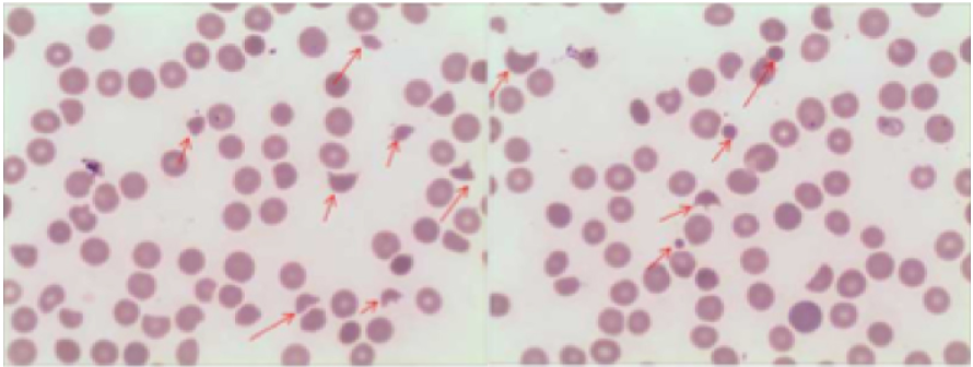
Эти аномальные результаты обусловили применение правила повторного тестирования, после чего был рассмотрен мазок периферической крови (Рис. 3). В результате были получены данные о внутрисосудистом гемолизе, в том числе о шистоцитах, небольшом количестве сфероцитов, шлемовидных эритроцитах и тромбоцитопении.
Эритроцитные клеточные линии 44%, гранулоцитные клеточные линии 40%, G/E=0,91/1.
В мазке костного мозга часто встречались недифференцированные эритробласты и обнаруживались тельца Хауэлла-Жолли. Всего в мазке обнаружено 257 мегакариоцитов, 50 из них дифференцированные, в том числе 3 мегакариобласта, 44 промегакариоцита и 3 голых мегакариоцитарных ядра. PLT обнаруживались редко. Данный мазок костного мозга выявил мегакариоцитарную тромбоцитопению, повышенную функцию эритроидной дифференциации.
Анализ на биохимию показал повышенное содержание общего билирубина (TBIL), повышенное содержание свободного билирубина (IBIL), что свидетельствовало о гемолитическом заболевании.
Учитывая типичность симптомов — (1) гемолитическая анемия (шистоциты), (2) тромбоцитопения, (3) неврологические симптомы (транзиторные психические расстройства) — велика вероятность тромботической тромбоцитопении (TTP). Результаты и рекомендации по диагностике TTP были немедленно переданы врачам. Дальнейшее анализ на ADAMTS13 подтвердил наличие TTP. В конечном итоге вместо переливания тромбоцитов было произведено замещение плазмы.
Если содержание PLT ниже порога принятия решения, опытные врачи немедленно перепроверяют соответствие образца установленным критериям, соответствие гистограммы и диаграммы рассеяния норме, а также все прочие отклоняющиеся от нормы результаты подсчета клеток, значимые результаты сигнализирования и т.д. Дальнейшее подтверждение осуществляется путем клинического анализа крови под микроскопом. Наконец, после рассмотрения симптомов пациента и истории болезни, лаборатория может сообщить о результатах и поставить предварительный диагноз.
 
Автоматический 8-кратный подсчет методом PLT-O (технология SF Cube) компании Mindray обеспечивает точный и стабильный подсчет тромбоцитов в образцах. В сочетании с высококачественным клиническим анализом крови в SC-120 Auto Slide Maker, гематологические решения Mindray поддерживают эффективное лечение тромбоцитопении. Метод PLT-O реализован в автоматическом гематологическом анализаторе серии Mindray BC-6000 и системе цитологического анализа CAL 8000/6000.
Дополнение. Почему переливание тромбоцитов не рекомендуется при тромботической тромбоцитопении?
Общие причины тромбоцитопении включают снижение выработки тромбоцитов в костном мозге, увеличение разрушения тромбоцитов в периферической крови, а также медикаментозное лечение[1].
Тромботическая тромбоцитопения, в том числе и TTP в рассмотренном случае, является одной из болезней, вызываемых повышенным разрушением PLT. Из-за дефицита протеазы расщепления (ADAMTS13) фактора фон Виллебранда (VWF), VWF не может нормально отделяться, что приводит к накоплению сверхбольших VWF (ULVWF), что в свою очередь вызывает аномальную агрегацию PLT, микротромбоз и фрагментацию RBC[2]. В такой ситуации переливание тромбоцитов может ускорить тромбообразование, что приведет к ухудшению симптомов[3]. Поэтому при тромботической тромбоцитопении основной терапией должно быть замещение плазмы.
Выражаем благодарность доктору Сяо Цзуомяо, доктору Чэнь Сяньчунь, доктору Сяо Дэцзюнь и доктору Ло Ши из Народной больницы Ганьчжоу, Китай, за предоставленную информацию о клиническом случае.
Ссылки:
[1] What Is Thrombocytopenia? - NHLBI, NIH". www.nhlbi.nih.gov. Дата обращения: 2015-05-01.
[2] Tsai, Han-Mou (2010). “Pathophysiology of thrombotic thrombocytopenic purpura.”
International journal of hematology vol. 91,1: 1-19. doi:10.1007/s12185-009-0476-1.
[3] Joly, BS; Coppo, P; Veyradier, A (2017). "Thrombotic thrombocytopenic purpura." Blood. 129 (21): 2836–2846. doi:10.1182/blood-2016-10-709857.
 
                 
                 
                 
                 
                 
                