m8-ru-kv-pc
портативная ультразвуковая диагностическая система премиум-класса

M8

Более доступные возможности премиум-класса

При работе со сложными и неотложными клиническими сценариями в повседневной практике растет потребность в высокопроизводительных переносных ультразвуковых диагностических системах в сфере общей визуализации, эхокардиографии
и в местах оказания медицинской помощи.


Портативная ультразвуковая система M8 от компании Mindray, основанная на зарекомендовавшей себя компактной платформе mQuadro, разработана для обеспечения более доступных возможностей премиум-класса и ориентирована на быструю и точную диагностику. M8 — это универсальная система с широким спектром применения.

Первоклассные характеристики

Разработанная на мощной платформе mQuadro и оснащенная датчиками с 3T технологией, система M8 предлагает первоклассные возможности визуализации для быстрой и точной диагностики.

 
Платформа mQuadro

Компактная ультразвуковая платформа Mindray оснащена ведущей в отрасли аппаратной архитектурой, улучшенными функциями передачи и приема сигнала, усовершенствованной системой параллельной обработки и интеллектуальным алгоритмом, благодаря чему M8 может обеспечить эффективную визуализацию в сочетании с расширенными функциональными возможностями.

 
Датчики 3Т

В датчиках на основе технологии 3T используется трехслойная конструкция, монокристаллические пьезоэлементы и материалы с терморегуляцией для существенной оптимизации акустического спектра и снижения акустического импеданса, обеспечивая выдающиеся характеристики с высоким разрешением и однородностью изображения.

m8-ru-kv-fig1-pc
Профессиональное применение
Расширенные функциональные возможности M8 способны обеспечить профессиональные решения в различных сценариях для удовлетворения самых строгих требований.
Контрастная визуализация UWN+
Благодаря эксклюзивной технологии контрастной визуализации UWN+ от Mindray M8 может обнаружить и использовать как вторую гармонику, так и нелинейные первичные сигналы для создания контрастных изображений высокого качества прямо у койки пациента.
• Большая чувствительность ко второстепенным сигналам
• Большее время действия активного вещества и более низкие требования к интервалу измерения
• Кривая время-интенсивность для анализа
m8-ru-kv-fig2-1
Эластография Natural Touch
Метод компрессионной эластографии делает результаты исследования менее операторозависимыми , что повышает точность исследования в самых сложных клинических условиях.

• Эффективное выявление уплотнений
• Превосходная стабильность и высокая воспроизводимость результатов
• Уникальный анализ зоны интереса
m8-ru-kv-fig2-2
Тканевая допплеровская визуализация с количественным анализом
Благодаря уникальной технологии 3T компании Mindray M8 значительно улучшает характеристики тканевой допплеровской визуализации. Комплексный вывод таких параметров, как скорость, спектр и скорость деформации, позволяет выполнять тканевую доплеровскую визуализацию с количественным анализом непосредственно в палате пациента.
m8-ru-kv-fig2-3
Интенсивная терапия и реанимация
Возможность быстрого и точного определения делает M8 отличным выбором для обследования пациентов в критическом состоянии в ОРИТ, а также для решений TEE для взрослых и детей, удовлетворяющих самым строгим требованиям в отношении реанимации.
m8-ru-kv-fig2-4
Неотложная помощь
Благодаря быстрой и точной работе на M8 можно полагаться при принятии срочных решений при оказании медицинской помощи. Высокая портативность, длительная непрерывная работа от аккумулятора и специальный пакет для экстренной помощи делают M8 идеальным партнером в чрезвычайных ситуациях.
m8-ru-kv-fig2-5
Next
Previous
Эффективный рабочий процесс
Интеллектуальные инструменты
• Автоматическое измерение для эффективности рабочего процесса: Auto PW Trace, Smart OB/NT и т. д.
• Smart Track: определяет и отслеживает положение и направление кровотока сосудов для автоматической оптимизации доплера
m8-ru-kv-fig3-1
Эффективность
• Необработанные данные: возможность повторной обработки и оптимизации изображений из архива и устранение повторного сканирования
• iWorks: стандартизированные и автоматизированные протоколы обследований с сокращением времени обследования до 50% и количества нажатий клавиш до 75%
m8-ru-kv-fig3-2
Сверхбыстрая работа
• Загрузка из режима ожидания за 7 секунд
• Настраиваемые клавиши для быстрого измерения
m8-ru-kv-fig3-3
Next
Previous
Высокая мобильность

Высокомобильная, надежная и тонкая конструкция обеспечивает легкую транспортировку и хранение. Независимо от места установки, M8 можно свободно использовать в различных клинических сценариях и сложных условиях.

m8-ru-kv-fig4-pc
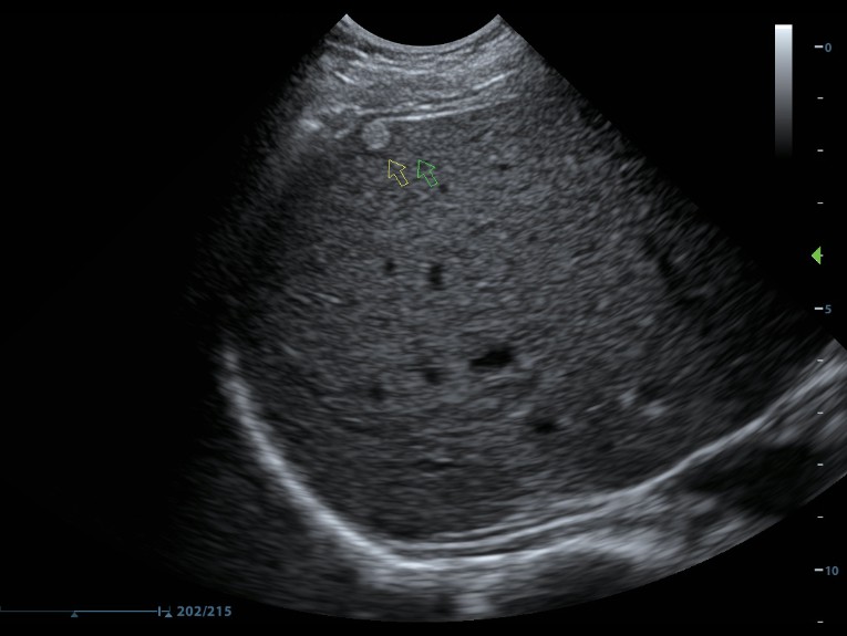
Клинические изображения
  • m8-ru-kv-fig5-1

    Гемангиома печени

  • m8-ru-kv-fig5-2

    Киста щитовидной железы

  • m8-ru-kv-fig5-3

    Контрастная визуализация почки

  • m8-ru-kv-fig5-4

    Почка в ЦДК режиме

  • m8-ru-kv-fig5-5

    Киста яичка

  • m8-ru-kv-fig5-6

    Бляшка ОСА

  • m8-ru-kv-fig5-7

    Митральный стеноз

  • m8-ru-kv-fig5-8

    Митральная регургитация