dc-80-exp-ru-kv-pc
Ультразвуковая диагностическая система

DC-80 EXP

Инновации и интеллект в Ваших руках

Предназначение DC-80 EXP состоит в том, чтобы помогать Вам спокойно реагировать на усложняющиеся день ото дня клинические задачи, предоставляя превосходное качество визуализации, первоклассные интеллектуальные решения и многое другое …

Высококачественная технология изготовления датчиков

Внедрение в DC-80 EXP датчиков сверхвысокой производительности обеспечивает для Вас превосходное качество визуализации.

Монокристаллические датчики с технологией 3Т™

Благодаря сочетанию технологии 3Т™ (Тройной согласующий слой, технология полностью разделенных кристаллов, термоконтроль акустической линзы) и монокристаллических датчиков обеспечивается как более высокая разрешающая, так и проникающая способность, в результате чего решается проблема исследований технически сложных пациентов.

dc-80-exp-ru-fig2-1-pc
Датчики с технологией ComboWave

По сравнению с традиционными датчиками, в датчиках с технологией ComboWave используется новый тип композитного пьезоэлектрического материала. Благодаря свойствам этого материала, оптимизируется акустический спектр и подавляются акустические шумы.

dc-80-exp-ru-fig2-2-pc
Ультралегкий объемный датчик с высокой производительностью

Ультралегкий и высокоплотный объемный датчик обеспечивает превосходное качество визуализации в акушерстве в режимах 2D, ЦДК, 3D/4D для большей диагностической уверенности и повышения качества исследования;

 
Специализированный интервенционный датчик

Специально сконструированный датчик для проведения инвазивных процедур и исследований в 2D с минимальной слепой зоной, а также контраст-усиленных исследований;

 

Его корпус удобно размещается в руке и поддерживает применение специализированной биопсийной насадки с покрытием из наноматериала для легкой дезинфекции.

Качество визуализации для решения сложных диагностических задач
Комплексное решение для эластографии

DC-80 EXP поддерживает комплексное решения для исследований методом эластографии с лучшей в классе эластографией сдвиговой волной и компрессионной эластографией. Sound Touch Elastography (STE) позволяет получить 2D эластограмму в режиме реального времени и значение модуля Юнга с высокой точностью и воспроизводимостью. Sound Touch Quantification (STQ) с уникальным "E Avg" позволяет быстро в режиме реального времени оценить жесткость ткани печени и определить стадию фиброза. Natural Touch Elastography с функцией оценки "ободка" для анализа инфильтрации окружающих тканей позволяет эффективно и с высокой чувствительностью оценить жесткость тканей в щитовидной и молочных железах, гинекологии и урологии. Запатентованные методы эластографии сдвиговой волны STE и STQ могут обеспечить получение более быстрого и более точного изображения, отражающего количественную информацию об эластичности тканей, что удовлетворяет клинические потребности различных областей применения.

dc-80-exp-ru-fig3-1-pc
UWN+ CEUS
UWN+ (Ультраширокополосная нелинейная визуализация) CEUS (Контраст-усиленная визуализация) позволяет обнаруживать и использовать как 2ю гармонику, так и нелинейный фундаментальный сигнал, генерируя изображение со значительным усилением сигнала, что повышает чувствительность даже к второстепенным сигналам и увеличивает продолжительность циркуляции контраста за счет более низкого MI.
dc-80-exp-ru-fig3-2-pc
3D с функцией Depth VR
Основанный на информации о глубине, инновационный алгоритм 3D-визуализации обеспечивает получение более наглядного и объемного трехмерного изображения за счет добавления светового эффекта.
dc-80-exp-ru-fig3-3-pc
Интеллектуальные функции как ведущий клинический тренд
Smart Planes CNS
Полностью автоматическое точное определение наиболее важных сечений и измерений для исследования головного мозга плода. Простым нажатием одной кнопки врач получает из 3D-изображения головного мозга плода 4 стандартных сечения: среднесагиттальное (MSP), чрезмозжечковое (TCP), чрезталамическое (TTP) и чрезжелудочковое (TVP); и 6 важнейший параметров расширенной биометрии плода: BPD, HC, OFD, TCD, CM и LVW.
dc-80-exp-ru-fig4-1-pc
Smart FLC
Smart FLC автоматически определяет количество фолликулов и рассчитывает объем каждого из них, используя данные трехмерного изображения яичника, таким образом обеспечивается точная оценка размера фолликулов, что особенно важно при ЭКО.
dc-80-exp-ru-fig4-2-pc
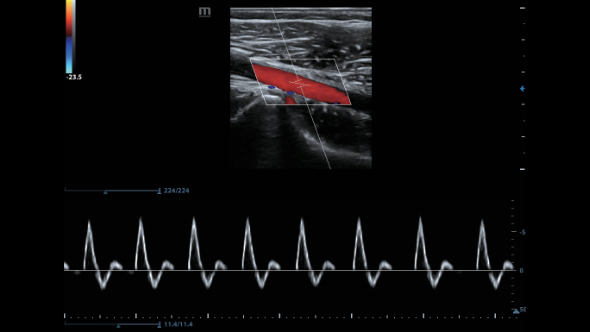
Smart Track
Функция автоматически позиционирует допплеровскую рамку и изменяет угол ее наклонения в режиме ЦДК, определяет положение и размер контрольного объема в режиме PW, таким образом сокращается количество повторяющихся трудоемких шагов операции при обследовании сосудов.
dc-80-exp-ru-fig4-3-pc
Next
Previous
Инновации которые расширяют Ваш опыт

Улучшенная эргономика, интуитивно понятный интерфейс и интеллектуальные опции, превосходящие Ваши ожидания.

dc-80-exp-ru-fig5-pc
Клинические видео

Желчный пузырь, В-режим

Цирроз печени, эластография сдвиговой волной

Молочная железа, липомиома в В-режиме

Злокачественное образование молочной железы, режим ЦДК

Аденома щитовидной железы, режим ЦДК

Вены нижних конечностей, В-режим

Сонная артерия, режим ЦДК

Гидроцеле яичка, В-режим

Простата, компрессионная эластография

Превосходное качество визуализации
  • dc-80-exp-ru-fig7-1

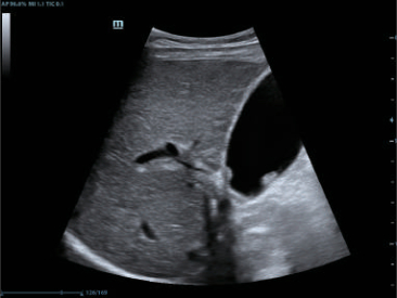
    Полипы желчного пузыря

  • dc-80-exp-ru-fig7-2

    Почечный кровоток, ЦДК с HR-Flow

  • dc-80-exp-ru-fig7-3

    Образование молочное железы, режим HR Flow

  • dc-80-exp-ru-fig7-4

    Эластография опухоли молочной железы с уникальной возможностью анализа ободка

  • dc-80-exp-ru-fig7-5

    Узел в щитовидной железе

  • dc-80-exp-ru-fig7-6

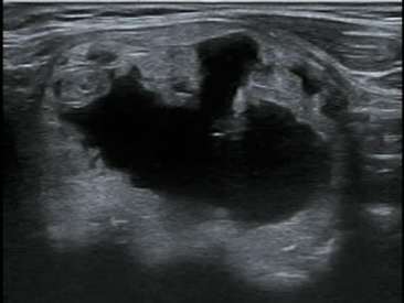
    Инфаркт яичка

  • dc-80-exp-ru-fig7-7

    Автоматический расчет толщины КИМ

  • dc-80-exp-ru-fig7-8

    Сканирование сосудов шеи в режиме ЦДК

  • dc-80-exp-ru-fig7-9

    Шунт в области овального окна

  • dc-80-exp-ru-fig7-10

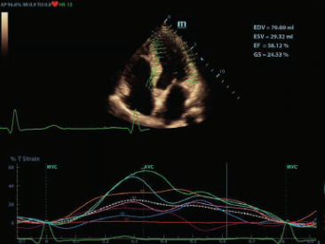
    Отображение направления движения участков миокарда в пространстве

  • dc-80-exp-ru-fig7-11

    3D реконструкция лица плода, iLive

  • dc-80-exp-ru-fig7-12

    Сердце плода, трикуспидальная регургитация

  • dc-80-exp-ru-fig7-13

    Почка плода, гидронефроз

  • dc-80-exp-ru-fig7-14

    Миома матки