HemaBook hoofdstuk 4: Is bloedplaatjestransfusie altijd vereist bij trombocytopenie?

Mindray 2021-02-23

gln30-s0@pc

Als het aantal bloedplaatjes (PLT) extreem laag is, is een bloedplaatjestransfusie dan echt nodig? Laten we de volgende casus analyseren die ons een ander antwoord geeft.

 

Casus-achtergrond

Een 49-jarige vrouw ging naar de spoedafdeling vanwege een tijdelijke cognitieve stoornis. Ze had duidelijk paroxysmale hoofdpijn, met braken en epigastrische pijn. De hersen-CT toonde geen afwijkingen. De laboratoriumresultaten brachten bloedarmoede en ernstige trombocytopenie aan het licht. Wat mag worden verwacht?
 

gln30-s1-nl
Bloedonderzoek

Bloedonderzoek (afbeelding 1) toonde een lage RBC aan van 3.07×1012/l en lage HGB-concentratie, wat wees op bloedarmoede. PLT-O-telling was 15×109/l (CDR-modus, Mindray BC-6200). Onze aandacht werd getrokken door een dergelijk lage PLT-telling en abnormale RBC-gerelateerde parameters: Moest een bloedplaatjestransfusie worden geïnitieerd?

gln30-s3-nl
Afbeelding 1. Bloedonderzoek toonde een lage PLT-telling, RBC en toegenomen RET%

Het PLT-histogram was verre van normaal. Vervolgens hebben we het RET-spreidingsdiagram gecontroleerd, waarbij weinig PLT-punten zijn waargenomen en de RET is verhoogd (afbeelding 2).

gln30-s4
Afbeelding 2. Vergelijking van PLT-I- & PLT-O-resultaten (A/B: de casus; C/D: normaal)

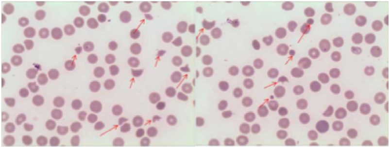
Deze abnormale resultaten gaven aanleiding tot de herhalingsregel, waarna het perifere bloeduitstrijkje werd beoordeeld (afbeelding 3). Het resultaat toonde aan dat er sprake was van intravasculaire hemolyse, waaronder schistocyten, een klein aantal sferocyten, helmcellen en trombocytopenie.

gln30
Afbeelding 3. PLT werden zelden waargenomen, en schistocyten, kleine aantallen sferocyten en helmcellen werden gevonden. (100x)

 

Beenmergonderzoek

Erytrocytische cellijnen 44%, granulocytische cellijnen 40%, G/E=0,91/1.

 

Ongedifferentieerde erytroblasten kwamen vaak voor in het beenmerguitstrijkje en er werden Howell-Jolly-lichamen gevonden. In totaal werden 257 megakaryocyten in het uitstrijkje gevonden, waarvan er 50 gedifferentieerd waren, waaronder 3 megakaryoblasten, 44 promegakaryocyten en 3 naakte kern-megakaryocyten. PLT werden zelden gezien. Dergelijke beenmerguitstrijkjes vertoonden een megakaryocytische trombocytopenie, verhoogde functie van erythroïde-differentiatie.

 

Chemietest

In de chemietest is het resultaat van de totale bilirubine (TBIL) verhoogd, terwijl de indirecte bilirubine (IBIL) is verhoogd, wat duidde op een hemolytische aandoening.

HemaBook Chapter3-PLT(1)_复制
Afbeelding 4. Resultaten chemietest

Gezien de gevallen met typische symptomen: (1) hemolytische anemie (schistocyten); (2) trombocytopenie; (3) neurologische symptomen (tijdelijke mentale stoornis) is trombotische trombocytopenie (TTP) waarschijnlijk. De resultaten en de diagnostische suggestie TTP werden onmiddellijk aan de artsen doorgegeven. En verdere ADAMTS13-testen bevestigden TTP. Tot slot werd er een plasmavervanging uitgevoerd in plaats van een bloedplaatjestransfusie.

gln30-s7-nl
Afbeelding 5. Klinische symptomen van TTP-ziekte

Conclusie

Als het PLT-niveau lager is dan de beslissingsdrempel, zullen ervaren artsen onmiddellijk opnieuw controleren of het monster gekwalificeerd is, het histogram en het spreidingsdiagram al dan niet normaal zijn en op eventuele andere abnormale celtellingsresultaten of significante waarschuwingsberichten, enz. Verdere bevestiging zal worden uitgevoerd door middel van microscopisch onderzoek van een bloeduitstrijkje. Ten slotte kan het laboratorium, na bestudering van de symptomen en de medische voorgeschiedenis van de patiënt, de resultaten rapporteren en een mogelijke diagnose stellen.

gln30-s8@pc
Afbeelding 6. PLT-O-spreidingsdiagram

Mindray's automatische 8x PLT-O-telling (SF Cube-technologie) zorgt voor een nauwkeurige en stabiele telling van trombocytopenie-monsters. Samen met een hoogwaardig bloeduitstrijkje van SC-120 Auto Slide Maker ondersteunen de Mindray hematologie-oplossingen een efficiënt beheer van trombocytopenie. PLT-O is verkrijgbaar in de Mindray BC-6000-serie Automatische hematologieanalysators en de CAL 8000/6000-lijnen voor cellulaire analyse.

 

Uitbreiding: Waarom wordt bloedplaatjestransfusie niet aanbevolen bij trombotische trombocytopenie?

 

Veel voorkomende oorzaken van trombocytopenie zijn een verminderde productie in het beenmerg, verhoogde vernietiging in het perifere bloed en medicijngebruik[1].

 

Trombotische trombocytopenie, inclusief TTP in dit geval, is een soort aandoening die wordt veroorzaakt door verhoogde PLT-vernietiging. Vanwege een tekort aan von Willebrand-factor (VWF) splitsingsprotease (ADAMTS13), kan VWF niet normaal worden afgesneden en accumuleren zich ultra-grote VWF (ULVWF), wat resulteert in abnormale PLT-aggregatie, microtrombose en gefragmenteerde RBC[2]. Onder dergelijke omstandigheden kan de bloedplaatjestransfusie trombose versnellen, wat leidt tot verergering van de symptomen[3]. Dus voor trombotische trombocytopenie moet de belangrijkste behandeling plasmavervanging zijn.

 

Erkenning:

We willen graag onze dank uitspreken aan Dr. Xiao Zuomiao, Dr. Chen Xianchun, Dr. Xiao Dejun en Dr. Luo Shi van het Ganzhou People's Hospital, China, voor het verstrekken van de casus-informatie.

Referenties:

[1] What Is Thrombocytopenia? - NHLBI, NIH". www.nhlbi.nih.gov. Opgehaald 2015-05-01.

[2] Tsai, Han-Mou(2010). “Pathophysiology of thrombotic thrombocytopenic purpura.” International journal of hematology vol. 91,1: 1-19. doi:10.1007/s12185-009-0476-1.

[3] Joly, BS; Coppo, P; Veyradier, A (2017). "Thrombotic thrombocytopenic purpura." Blood. 129 (21): 2836-2846. doi:10.1182/blood-2016-10-709857.