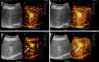
Diagnósticos más precisos con HiFR CEUS
                            La ecografía potenciada con contraste (CEUS) es un campo muy dinámico y en los últimos años las innovaciones tecnológicas han aumentado aún más la calidad de la imagen. Una de estas innovaciones es la ecografía potenciada con contraste de alto frame-rate(HiFR CEUS), que puede generar hasta diez veces más imágenes que el ultrasonido convencional, sin demorar más tiempo.
                            
                                Ecografía | Imágenes medicina general 
                                2023-04-28