P53-s1
Sistema de Ultrasonido

M9

Capacidades Premium|Fácil Movilidad

Ver vídeo del producto
Información general

Basado en la plataforma de última generación "m Quadro" de Mindray, el M9 ha elevado a un nivel superior los estándares de la industria. La transmisión de señales avanzadas y la recepción de los transformadores generan una detección muy sensible y precisa del eco. Las tecnologías innovadoras de los transductores le ofrecen una mejor penetración y una mayor resolución que mejoran su experiencia durante el diagnóstico.

m9-fig1-pc
DESCRIPCIÓN DE LAS TECNOLOGÍAS

Formación de haces enriquecida por eco

La formación de haces enriquecida por eco permite utilizar las señales de eco tradicionalmente ignoradas de los haces adyacentes para formar un haz de imagen más fino y fuerte, lo que permite obtener una mejor resolución de las imágenes "desenfocadas" y una penetración de imagen más profunda.

M9_02

3T Transducer Technology™

Tecnología patentada de transducción de Mindray para aumentar el ancho de banda de la imagen, así como la eficiencia de transmisión.

· Diseño de triple capa coincidente para una mayor sensibilidad, ancho de banda más amplio y S/R mejorado

· Diseño de corte total para reducir el ruido diafónico y mejorar la directividad y la resolución lateral

· Diseño con regulación térmica para una mejor transmisión acústica

m9-fig3-pc

Formación de varios haces

Un máximo de 12 asignaciones de tarea para un haz transmitido, lo que permite obtener una excelente resolución temporal y una velocidad de imagen más alta.

m9-fig4-pc

iClear™

Mejoramiento de la calidad de la imagen basada en la auto-detección de las estructuras de los tejidos para obtener:

· Bordes más Nítidos & Continuos

· Tejidos suaves y uniformes

· Aumentar la confiabilidad en el diagnóstico

Free Xros M™

Modo M anatómico permite realizar las observaciones y medidas anatómicamente precisas independientemente de la orientación. Provee mejores imágenes a través de la visualización simultánea de hasta 3 líneas M.

m9-fig8-pc

Free Xros CM™

Evaluación precisa del movimiento en diferentes fases y sincronización simultánea del miocardio. Provee alta velocidad de cuadros, proporcionando resultados precisos.

m9-fig9-pc

TDI

El diagnóstico por imagen en modo doppler tisular (TDI) permite evaluar cuantitativamente el movimiento miocárdico local y su función, proporcionando así modos TDI para un diagnóstico más rápido y directo.

m9-fig10-pc

Auto IMT (espesor de la media e íntima)

La medición automática del espesor de las paredes anterior y posterior proporciona un estado preciso de la carótida.

m9-fig12-pc

Auto LV

Procedimiento de medición simple del ventrículo izquierdo mejorado gracias a la función de seguimiento automático y fácil corrección manual.

m9-fig13-pc

Datos en bruto

Permite una flexibilidad óptima para el posprocesamiento de las imágenes almacenadas, incluidos el ajuste de parámetros, y la adición de comentarios y mediciones, lo que permite una productividad máxima durante el escaneo.

m9-fig11-pc

PSHI™ (Imagen armónica con inversión de fase)

Las imágenes armónicas puras permiten suprimir los artefactos, generando menos ruido y aumentando la calidad de las imágenes gracias a una mejor resolución de contraste.

m9-fig6-pc

FCI (adquisición de la imagen por composición de frecuencias)

Permite combinar diferentes frecuencias para formar una imagen de campo homogénea, lo que ofrece una penetración de imagen superior, especialmente para el escaneo de alta frecuencia.

m9-fig7-pc

iBeam™

Permite utilizar varios ángulos de adquisición de imagen para formar una sola imagen, obteniendo así una resolución con contraste aumentada y una mejor visualización.

M9_03

Adquisición de imagen 3D/4D

Funciones de rotación y sincronización 3D/4D, lo que ofrece una visualización de la imagen en volumen de forma sencilla y rápida desde cualquier dirección.

M9_05

iStorage™

Transfiera imágenes e informes directamente al PC mediante un cable de red.

M9_6

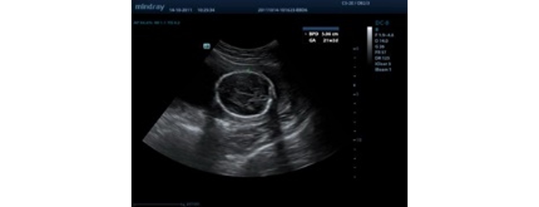
Smart OB™

Medición automática de los parámetros fetales: trace y calcule el BPD, OFD, HC, AC y FL con un solo clic.

M9_07

iWorks™

Una herramienta inteligente que le permite centrarse más en el paciente. Ayuda a reducir de forma significante el tiempo de escaneo del paciente mediante la estandarización y la función definida por el usuario.

m9-fig15-pc

FreeView™

Mejora la comodidad del paciente cambiando automáticamente el ángulo del plano de escaneo en el transductor endocavitario volumetrico DE10-3E de -45°a + 45°

M9_08

3D en color

Analice los vasos ramificados con eficacia gracias al Doppler 3D en color (disponible en 3D estático, solo con D6-2E).

20161102115846_1021

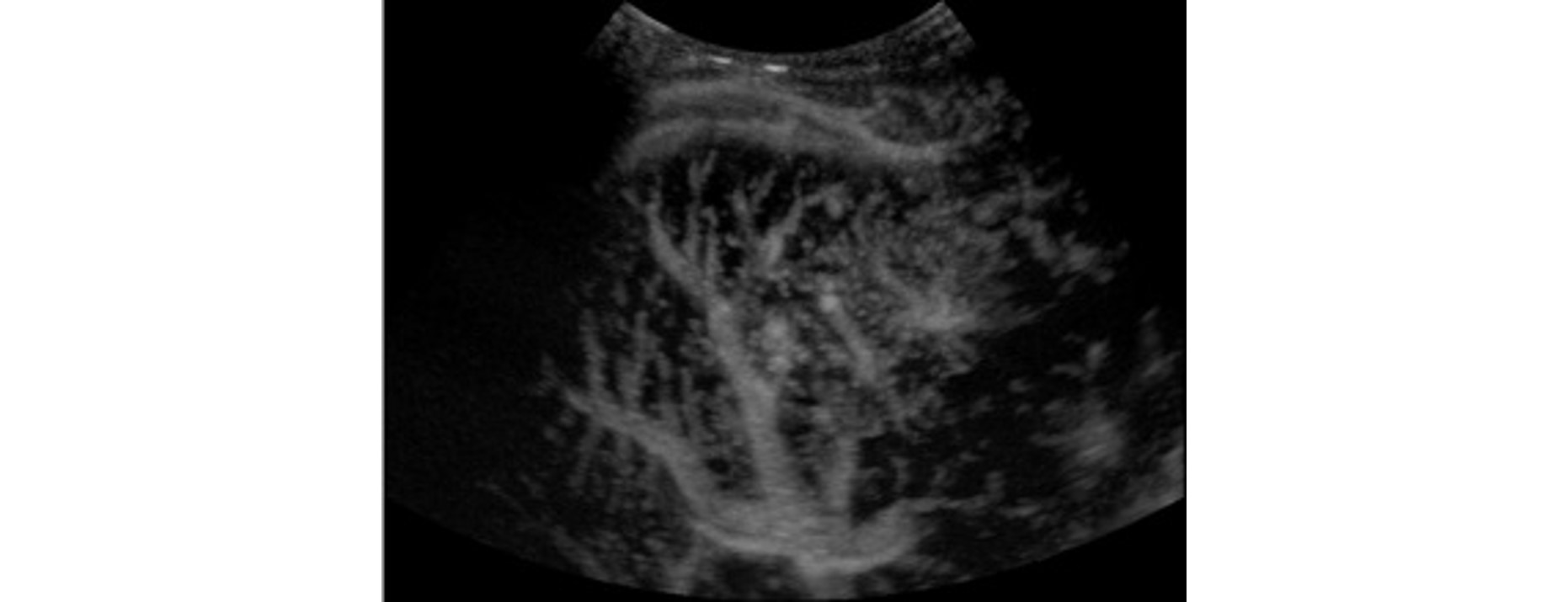
Mejora del microflujo

Vea mejor las perfusiones de los vasos pequeños y mejore su comprensión de la vascularidad de la patología mediante el uso de varios marcos para generar imágenes acumuladas.

M9_10

iScape™

Obtenga una vista completa y ampliada de la estructura anatómica a través de la generación de imágenes panorámicas, complementada con indicación de velocidad y función de escaneo hacia delante y atrás, lo que simplifica el escaneo y lo hace más suave y controlable.

M9_12

ExFOV(Imágenes clínicas necesarias)

Descubra una mejor información de diagnóstico gracias a una vista ampliada de la estructura anatómica en todas las sondas, tanto convexas como lineales.

M9_15

B-Steer/ iNeedle™

Su herramienta para una biopsia más profunda: permite ajustar la línea de escaneo para obtener una mejor visibilidad de la aguja, los nervios y los vasos pequeños.

M9_01

Elastografía

La función de escudo y la cuantificación de múltiples parámetros especiales de Mindray le proporcionarán mediciones precisas sobre la rigidez del tejido. Diferencie las estructuras benignas de las malignas mediante el uso de colores distintos para codificar diferentes valores de deformación.

M9_16

UWN Contrast Imaging™

La tecnología de adquisición de imágenes especial de Mindray utiliza caracteres de los medios de contraste con señales fundamentales de 2.º armónicos y no lineales para mejorar la tasa de S/R y obtener mejores detalles de diagnóstico, así como una duración mayor del medio de contraste para una observación mejor.

M9_17

iTouch™

Con solo un click, optimiza instantáneamente la imagen en los modos a color, B y PW

m9-fig14-pc

iZoom™

Con solo un click se obtiene instantáneamente la visualización en pantalla completa

 

 

 

iStation™

El sistema único de gestión de la información del paciente de Mindray permite integrar, revisar, archivar y recuperar los datos del paciente con eficacia.

 

 

 

Adquisición de imagen armónica de tejido

Mediante segundos armónicos generados por las capas tisulares limítrofes, mejora significativamente la resolución con contraste y mejora la calidad de la imagen, sobre todo en los sujetos técnicamente difíciles.

 

 

 

Imagen trapezoide

Descubra una mejor información de diagnóstico gracias a una vista ampliada de la estructura anatómica en todas las sondas lineales.

 

 

 

Ecocardiografía de estrés

Obtenga mediciones exactas de la función miocárdica en respuesta a un estrés externo o fármaco.

 

 

 

iRoam™

Solución de transferencia de datos inalámbrica.

 

 

 

IP

Mecanismo de mejora de la imagen consistente en varios parámetros.

 

 

 

TSI

El diagnóstico por imágenes específicas de tejido optimiza la calidad de la imagen basándose en las propiedades del tejido que se está escaneando. Hay cuatro opciones de diagnóstico por imagen disponibles: general, músculo, fluido y grasa.

 

 

 

TGC de 8 segmentos

TGC de 8 segmentos que garantiza ajustes sutiles en la imagen.

 

 

 

iScanhelper

iScanHelper es un software instructivo integrado específico que le proporciona una interfaz para conocer el funcionamiento del escaneo de ultrasonido. Acompañado de excelentes ejemplos prácticos e ilustraciones, iScanHelper es una herramienta educativa eficaz, práctica y fácil de usar para principiantes y profesionales con experiencia previa.

 

 

 

Fracción de eyección automática (AutoEF)

Una forma inteligente de analizar las 2D para reconocer automáticamente los niveles diastólicos/sistólicos y generar la estimación diastólica, el volumen diastólico, la fracción de eyección (EDV/ESV/EF), etc. resultantes del método Simpson.

Imágenes clínicas
  • p53-s5-1-web

    L12-4s_iNeedle

  • p53-s5-2-web

    L12-4s_Median Nerve

  • p53-s5-3-web

    L12-4s_Bicep tendon

  • p53-s5-4-web

    P7-3Ts_MR_Dual 2D Color

  • p53-s5-5-web

    SP5-1_4C_Auto EF_Tint

  • p53-s5-6-web

    SP5-1s_4C_Color

*Contenido solo para referencia. La disponibilidad de los productos de Mindray varía de un país a otro y Mindray no garantiza que todos los productos y opciones de software del catálogo estén disponibles en su mercado. Comuníquese con su representante de ventas de Mindray para obtener mayor información.