Ultrasound Journal 34 - Use of IOTA-ADNEX & O-RADS risk assessment models in MDT management of Adult Granulosa Cell Tumor

2025-04-02

Special thanks:

Amani Abdulaziz, fellow at Maternal-Fetal Medicine Unit, Cairo University, Cairo, Egypt.

Raghda Elkattan, radiologist and clinical application specialist at Mindray, North Africa.

Sherif, M. Negm, professor at Maternal-Fetal Medicine Unit, Cairo University, Cairo, Egypt.

Case presentation:

A 35-year-old female patient presented to the gynecology out-patient clinic at Cairo university OB/GYN hospital complaining of pelvic pain, dysmenorrhea and irregular bleeding. Hormonal assay, Tumor markers and Trans-vaginal ultrasound were requested for this patient.

Laboratory findings:

Test Result Reference range
CA 125 4.87 U/mL <35 U/mL
CA 19-9 12.03 U/mL <37 U/mL
AFP 2.04 ng/mL <8.78 ng/mL
CEA 0.7 ng/mL <5 ng/mL
Serum LDH 248 U/L <247 U/L
Estradiol 49.26 pg/mL Follicular (22.4 -115 pg/mL)
Ovulatory (32 -517 pg/mL)
Luteal (36.5 – 246 pg/mL)

Imaging Findings:

1. Ultrasound Findings:

Using Mindray Nuewa I9 Elite edition transvaginal volume transducer DE 11-3Ws, the following findings were noted:

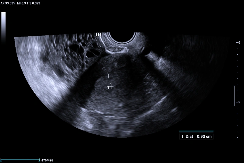
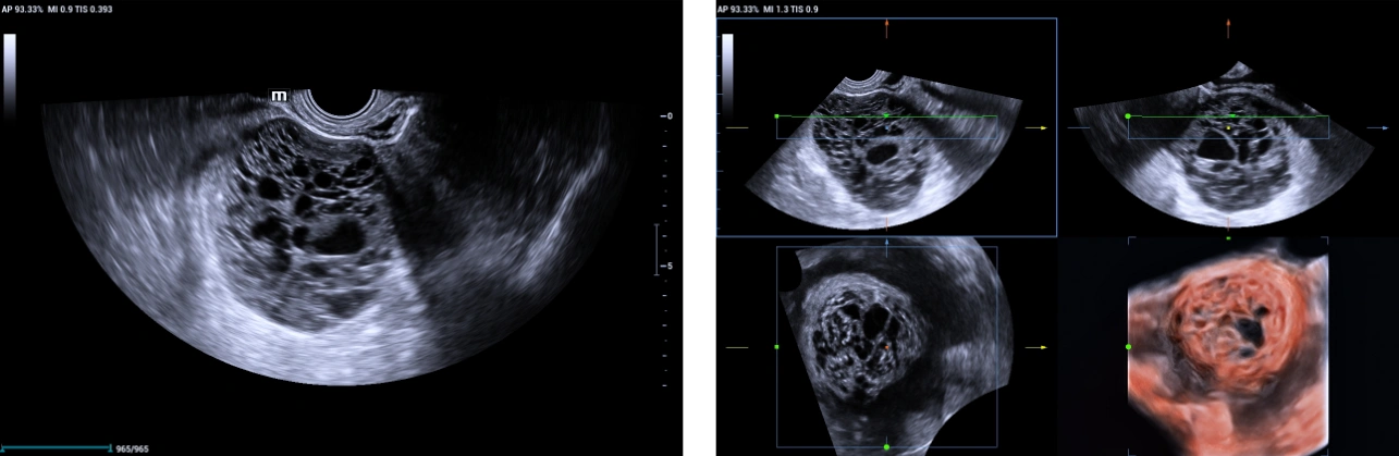
  • The left ovary harbors a multi-locular solid mass lesion measuring about 78x63x66 mm at maximum dimension showing multiple irregular (more than 10) locules giving the characteristic Swiss cheese appearance that was well appreciated on volume reconstructed images using Mindray’s iLive pro and Hyaline features.
Ultrasound Journal 35 - Use of IOTA - Adnex & O-RADS risk assessment models in MDT management of Adult Granulosa Cell Tumor
  • On color doppler interrogation on, marked internal vascularity was noted (color score 4). Combination of power doppler and 3D volume ultrasound helped in accurately assessing the mass vascularity and color scoring.
3D Doppler avi clip
  • Normal endometrium thickness and echo-pattern. No pelvic ascites.
Ultrasound Journal 35 - Use of IOTA - Adnex & O-RADS risk assessment models in MDT management of Adult Granulosa Cell Tumor
  • On applying the ultrasound finding and patient’s laboratory and clinical data on Mindray’s IOTA certified IOTA-ADNEX risk calculator, the mass had a low risk of malignancy. (less than 10%)
Ultrasound Journal 35 - Use of IOTA - Adnex & O-RADS risk assessment models in MDT management of Adult Granulosa Cell Tumor
  • Combining the O-RADS US risk assessment model proposed by the American College of Radiology with IOTA-ADNEX model upstaged the risk of malignancy to intermediate risk because it takes in the consideration the color scoring. [1]
Ultrasound Journal 35 - Use of IOTA - Adnex & O-RADS risk assessment models in MDT management of Adult Granulosa Cell Tumor
2. MRI

The patient was referred to do a complementary MRI with contrast to confirm the diagnosis and assess the extent of the mass and lymph node involvement.

Ultrasound Journal 35 - Use of IOTA - Adnex & O-RADS risk assessment models in MDT management of Adult Granulosa Cell Tumor

MRI confirmed the Swiss cheese appearance of the multi-locular ovarian mass and the enhancing septae in the post contrast sequences.

Gynecological onco-surgery:

Upon reviewing the laboratory results and the multi-modality imaging findings, staging for the mass according to FIGO classification for ovarian cancer was done. Patient’s staging was Ia (Tumor limited to one ovary, capsule intact, no tumor on surface). Patient opted for a fertility sparing surgery which indicated right salpingooophorectomy.

Post operative tubo-ovarian complex specimen

Pathological findings:

Gross findings:

Tubo-ovarian complex, 7x6x5 cm with tube 6 cm long. Serialling showed rubbery tan focally hemorrhagic cystified cut section. No ovarian remnants.

 

Microscopic:

Sections examined from the tubo-ovarian complex revealed neoplastic growth composed of diffuse trabecular and cord pattern of small bland cuboidal to polygonal cells with scant cytoplasm & angulated grooved nuclei.

 

Tumor cells showed high mitotic activity (>3/10HPF).

 

The stroma was limited to ovary with free intact capsule

 

Tube was Free.

 

Diagnosis:

Epithelioid neoplastic growth with features suggestive of Granulosa cell tumor, adult type for IHC (Inhibin - Calretinin - FOXL2 - SALL4... etc.)

 

Right salpingo-oophorectomy

 

Free tube.

About Adult Granulosa Cell Tumor

Background:

Adult Granulosa Cell Tumor (AGCT) of the ovary is a type of ovarian sex cord / stromal tumor. They are by far the most frequent subtype of granulosa cell tumors of the ovary (95%) and are commoner than the juvenile granulosa tumor of the ovary. The adult type is the most typical variety and manifests in peri- or post-menopausal women. In contrast, the juvenile type constitutes only 5% of cases and occurs in prepubertal girls and young women.

 

However, AGCT is a relatively uncommon gynecological malignancy, with an incidence of less than 3.7 per 100,000 persons. [2] [3]

 

Clinical manifestations:

Approximately 20% of the patients are asymptomatic at the time of the initial diagnosis. It is important to note that symptoms such as abdominal distention and pain are not specific clinical manifestations of AGCT.

 

Because AGCT is an endocrine ovarian cancer in nature, it shows similar hormone characteristics to GCs, especially abnormal estrogen secretion. Patients often have an abnormal endometrium due to long-term exposure to endogenous, abnormal estrogen. The abnormal endometrium causes vaginal bleeding, which is the most common symptom of AGCT.

 

Premenopausal patients initially exhibit irregular vaginal bleeding, amenorrhea, and rarely infertility due to the abnormal secretion of inhibin. [4]

 

For post-menopausal patients, abnormal vaginal bleeding and unilateral ovarian mass are the most prominent clinical manifestations.
Approximately 26-38% of patients present with endometrial hyperplasia and approximately 10% of the patients are diagnosed with concurrent endometrial cancer.

 

Cystic mass may be observed on ultrasound. Larger masses may cause abdominal distention or pain [4]. Ascites is not a significant ultrasound finding of AGCT and only observed in 18.6%-21% of the patients at initial diagnosis.

 

In 8–15% of the cases, the tumor presents with a spontaneous rupture manifesting as acute abdominal pain and hemoperitoneum.

 

Investigations and Diagnosis:
Ultrasound:

The first diagnostic approach is transvaginal ultrasound, possibly supplemented by transabdominal evaluation. Ultrasound findings vary widely:

  1. May appear anywhere from a solid mass to a multiloculated solid and cystic mass Swiss cheese, to a purely cystic lesion
  2. Varying degrees of hemorrhage or fibrosis
  3. Less likely to have intracystic papillary projections than epithelial ovarian tumors
  4. Color doppler shows increased vascularity (Color score 3 & 4)
  5. Pelvi-abdominal ascites is a rare finding
  6. The hyperoestrogenemia may produce endometrial hyperplasia, endometrial polyps and endometrial carcinoma: associated in about15% (range 3-25%) of cases.

 

Staging & prognosis:

Because of the slow growth and distinguishable hormonal symptoms, most AGCTs are diagnosed at an early stage and usually show a better prognosis than patients with other types of ovarian cancer. The majority (50–80%) are diagnosed at stage Ia, in which the tumor is completely inside the ovarian capsule, and no tumor cells are found outside the ovary. The second most common (∼30%) is stage Ic, in which tumor cells infiltrate through the ovarian capsule, or the capsule is ruptured either spontaneously or due to iatrogenic reasons.

 

The reported outcomes have significantly varied between cohorts. However, in a validated large cohort, patients have excellent outcomes, with the overall survival comparable to a general age-matched population; the 5- and 10-year overall survival rates are 98% and 84%, respectively. In addition, in advanced stage (III–IV), molecularly defined AGCTs are extremely uncommon. [5]

 

Treatment:

Treatment depends on the age of the patient and the extent of the disease. Surgery alone is sufficient primary treatment for most patients.

  • In young women with an early-stage disease, a fertility sparing surgery is feasible (surgical resection of the ovarian lesion or unilateral salpingooophorectomy).
  • In postmenopausal women or in patients who do not wish to preserve fertility, demolitive surgery (hysterectomy, bilateral adnexectomy, peritoneal biopsies, omentectomy, washing) is the standard of care.

Chemotherapy, radiotherapy, and biologic therapy are reserved for treating recurrent or metastatic disease. These additional treatment options may improve survival or increase the length of disease-free intervals before a recurrence. [6]

References:

[1]. O-RADS US v2022: An Update from the American College of Radiology’s Ovarian-Adnexal Reporting and Data System US Committee Lori M. Strachowski, Priyanka Jha, Catherine H. Phillips, Misty M. Blanchette Porter, Wouter Froyman, Phyllis Glanc, Yang Guo, Maitray D. Patel, Caroline Reinhold, Elizabeth J. Suh-Burgmann, Dirk Timmerman, and Rochelle F. Andreotti Radiology 2023 308:3

[2]. Shamsudeen S, Dunton CJ. Granulosa Theca Cell Tumors of the Ovary. [Updated 2023 Nov 12]. In: StatPearls [Internet]. Treasure Island (FL): StatPearls Publishing; 2025 Jan.

[3]. Malmstrom H, Hogberg T, Risberg B, Simonsen E. Granulosa cell tumors of the ovary: prognostic factors and outcome. Gynecol Oncol. 1994;52:50–55.

[4]. Li X, Tian B, Liu M, Miao C, Wang D. Adult-type granulosa cell tumor of the ovary. Am J Cancer Res. 2022 Aug 15;12(8):3495-3511. PMID: 36119817; PMCID: PMC9442026.

[5]. Färkkilä, A., Haltia, U. M., Tapper, J., McConechy, M. K., Huntsman, D. G., & Heikinheimo, M. (2017). Pathogenesis and treatment of adult-type granulosa cell tumor of the ovary. Annals of Medicine, 49(5), 435–447.

[6]. Nicoletta Colombo et al., Management of Ovarian Stromal Cell Tumors. JCO 25, 2944-2951(2007).

false