Ultrasound Journal 31 - Ultrasound Diagnosis of Hb Bart's hydrops fetalis

2024-11-19

Case introduction

History:
  • The patient, a 20-year-old female with underlying non-transfusion dependent thalassemia (NTDT), presents with a history of loss to follow-up for 5 years.
  • She is currently at gestational age 28+3 weeks in her first pregnancy (G1P0) without any antenatal care.
  • The patient complaints of high fever, productive cough, jaundice, severe abdominal pain, frequent nausea and vomiting (4-5 times), diarrhea, as well as cold extremities.

1. Ultrasonography

Mindray ultrasound system, manufactured in Shenzhen, China, present Nuewa R9 ultrasound as a comprehensive solution for all aspects of Obstetrics and Gynecology care, from gynecology, Reproductive Assisted Medicine to Obstetrics to postpartum solutions.

 

During this examination, Nuewa R9 was utilized with SC6-1U 2D abdominal transducer to perform Fetal Biometry - an obstetric ultrasound procedure that involves measuring various parameters to assess fetal growth and detect any signs of growth abnormalities or disorders.

 

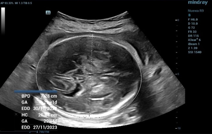
The measurement of Biparietal Diameter (BPD) (Figure 1) and Femur Length (FL) (Figure 2) demonstrated a close approximation to the actual gestational age. However, when assessing the Abdominal circumference (AC), it was observed that the measured gestational age exceeded the actual gestational age due to the presence of fluid accumulation around the fetal abdomen (Figure 3).

Fetal Head Biometric Measurements: Biparietal Diameter (BPD)
Figure 1 Fetal Head Biometric Measurements: Biparietal Diameter (BPD). BPD is used to estimate fetal weight and determine gestational age
Fetal Biometric Measurements: Femur Length (FL)
Figure 2 Fetal Biometric Measurements: Femur Length (FL). FL is a basic biometric parameter to assess fetal size
Fetal Biometric Measurements: Abdominal Circumference (AC)
Figure 3 Fetal Biometric Measurements: Abdominal Circumference (AC). AC is one of the basic biometric parameters used to assess fetal size

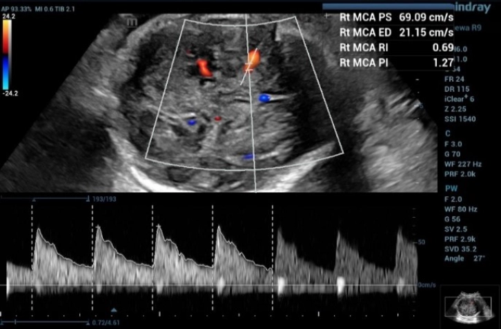
2. Middle Cerebral Artery Doppler for fetal anemia (Hb Bart's disease)

Fetal middle cerebral arterial (MCA) Doppler assessment is an important part of assessing fetal cardiovascular distress, fetal anemia or fetal hypoxia. In the appropriate situation it is a very useful adjunct to umbilical artery doppler assessment.

 

From the three MCA-PSV measurements in this fetus,

1st MCA-PSV= 69.09 = 1.833 MoM (Figure 4)

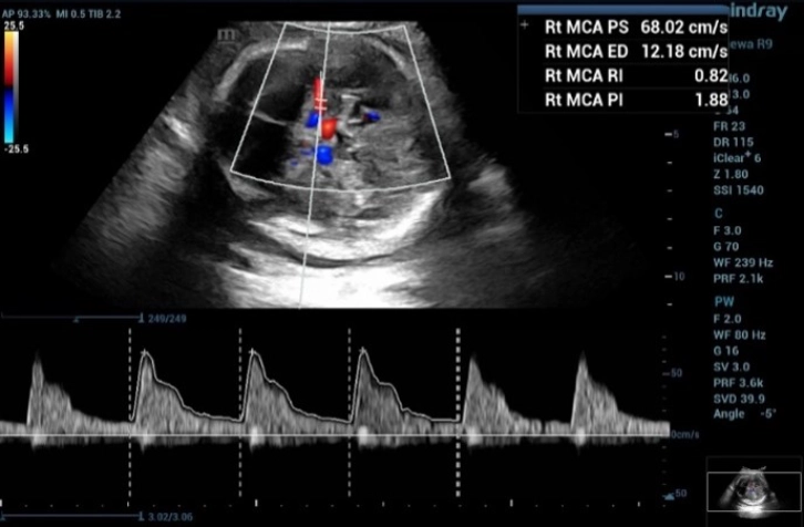
2nd MCA-PSV= 68.02 = 1.804 MoM (Figure 5)

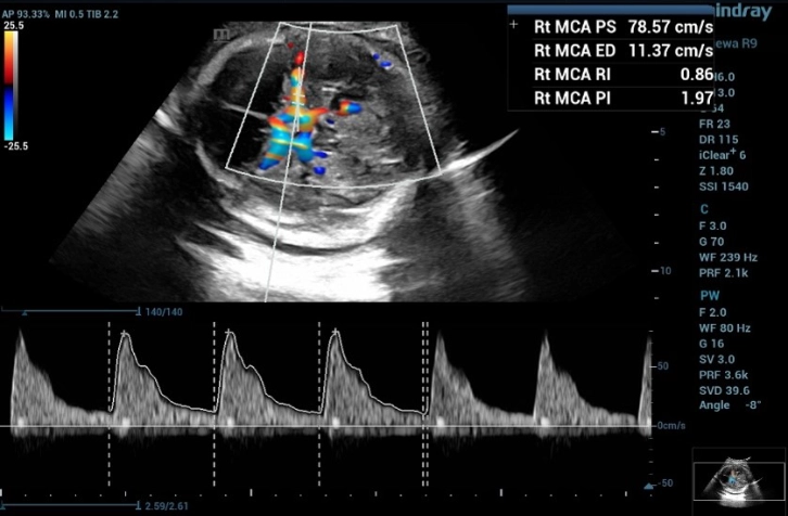
3rd MCA-PSV= 78.57 = 2.084 MoM (Figure 6)

MCA-PSV values ​​were greater than 1.55 MoM https://perinatology.com/calculators/MCA.htm

the first measurement of the doppler waveform of MCA in fetus with and the MCA-PSV value was 69.09 cm/s, which is greater than 1.55 MoM
Figure 4 Shows the first measurement of the doppler waveform of MCA in fetus with and the MCA-PSV value was 69.09 cm/s, which is greater than 1.55 MoM
the second measurement of the doppler waveform of MCA in fetus with and the MCA-PSV value was 68.02 cm/s, which is greater than 1.55 MoM
Figure 5 Shows the second measurement of the doppler waveform of MCA in fetus with and the MCA-PSV value was 68.02 cm/s, which is greater than 1.55 MoM
the third measurement of the doppler waveform of MCA in fetus with and the MCA-PSV value was 78.57 cm/s, which is greater than 1.55 MoM
Figure 6 Shows the third measurement of the doppler waveform of MCA in fetus with and the MCA-PSV value was 78.57 cm/s, which is greater than 1.55 MoM

3. Cardiothoracic ratio (CTR)

Fetal cardiothoracic (C/T) circumference ratio is a parameter that can be used in the assessment of fetal cardiac and thoracic/chest wall anomalies. It represents the proportion between the circumference of the heart and that of the thorax, which can be appropriately measured during fetal ultrasound examinations.

 

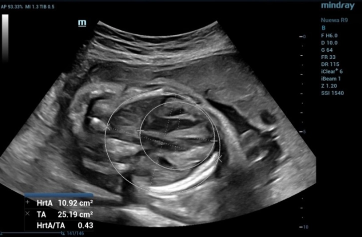
The CTR measurement in this fetus, as shown in Figure 7, is 0.43, which is less than the cut-off value of 0.54.

the measurement of the CTR in fetus and the CTR value was 0.43
Figure 7 Shows the measurement of the CTR in fetus and the CTR value was 0.43

4. Abdominal anomalies (Hydrops fetalis)

Abdominal circumference (AC) is one of the basic biometric parameters used to assess fetal size. AC, along with BPD, HC, and FL, are calculated to provide an estimation of fetal weight. In the second trimester, this can be extrapolated to estimate gestational age and the expected date of delivery (EDD).

 

In Figure 8, there is significant fluid accumulation observed around the fetus in both the abdominal cavity (ascites) and thorax (pleural effusion).

 

In Figure 9 reveals hepatomegaly as a consequence of extramedullary hematopoiesis in response to anemia.

fluid collection around the fetus
Figure 8 Shows fluid collection around the fetus
the measurement of the liver
Figure 9 Shows the measurement of the liver

5. Laboratory tests

Blood test result shows significant decrease in Hb (9.7 g/dL), Hct (30.5 %), Platelet (112000 cell/mm³), and WBC (9300 cell/mm³)

 

Hb typing: HbH disease with Hb Constant Spring

 

Percutaneous Umbilical Blood Sampling (PUBS) confirms fetal anemia

Test Description

Result

Normal Range (Women)

Unit

Hemoglobin, Hb

9.7

12-14

g/dL

Hematocrit, Hct

30.5

36-45

%

Red Blood Cell, RBC

3.8

3.9-5.0

106/μL

Mean Corpuscular Volume, MCV

80.2

80-96

fl

Platelet

112,000

150,000-450,000

cell/mm3

White Blood Cell, WBC

9,300

4,000-10,000

cell/mm3

6. Discussion

Hb Bart’s disease is a severe form of congenital thalassemia caused by the absence of the gene responsible for producing the alpha globin chain, a crucial component of hemoglobin in red blood cells. Infants lacking the alpha globin chain will develop anemia, which can lead to edema, causing fetal death and potential complications for pregnant women such as pre-eclampsia or hemorrhage during childbirth.

 

According to a study by Mari G and colleagues published in the New England Journal of Medicine in 2000 [9], fetuses at risk for anemia due to blood group incompatibility were examined. In this study, involving 111 mothers and fetuses with maternal red-cell alloimmunization, ROC (Receiver-Operating-Characteristic) curves were used to determine the appropriate cutoff points of MCA-PSV values to predict the severity of fetal anemia. The study found that MCA-PSV values greater than 1.29, 1.5, and 1.55 MoM indicated mild, moderate, and severe anemia, respectively.

 

A study by Wisit Chankhunaphas and colleagues, published online in Karger.com in 2021 [6], compared the performances of Middle Cerebral Artery Peak Systolic Velocity (MCA-PSV) and Cardiothoracic Diameter Ratio (CTR) in predicting fetal anemia using fetal Hemoglobin Bart's disease as a model. The study concluded that CTR outperformed MCA-PSV in predicting fetal anemia caused by Hb Bart’s disease. The best cutoff points for CTR at 12–14, 15–17, 18–20, 21–23, and ≥24 weeks of gestation were greater than 0.48, 0.49, 0.50, 0.51, and 0.54, respectively.

 

Hydrops fetalis caused by Hemoglobin Bart's Disease is a severe disorder with no chance of survival, as affected infants typically die at birth or shortly thereafter. Hemoglobin Bart is the leading cause of hydrops fetalis in Southeast Asia [10].

 

In conclusion, fetal ultrasound is a routine and low-risk procedure that provides crucial information during prenatal care. It can detect defects or other problems in the fetus and is performed transabdominally or transvaginally. Currently, there is no standard treatment for Hb Bart’s hydrops fetalis. Therefore, using ultrasound to diagnose severe fetal anemia (Hb Bart's disease) in high-risk pregnancies can help pregnant women make informed decisions regarding pregnancy termination.

References:

[1]. Srisupundit K, Piyamongkol W, Tongsong T. Identification of fetuses with hemoglobin Bart’s disease using middle cerebral artery peak systolic velocity. Ultrasound Obstet Gynecol. 2009;33(6):694–7.

[2]. Tongsong T, Wanapirak C, Sirichotiyakul S, Chanprapaph P. Sonographic markers of hemoglobin Bart disease at midpregnancy. J Ultrasound Med. 2004;23(1):49–55.

[3]. Sirichotiyakul S, Luewan S, Srisupundit K, Tongprasert F, Tongsong T. Prenatal ultrasound evaluation of fetal Hb Bart’s disease among pregnancies at risk at 11 to 14 weeks of gestation. Prenat Diagn. 2014;34(3):230–4.

[4]. Tongsong T, Wanapirak C, Sirivatanapa P, Sanguansermsri T, Sirichotiyakul S, Piyamongkol W,  Prenatal control of severe thalassaemia: Chiang Mai strategy. Prenat Diagn. 2000;20:229–34.

[5]. Tongprasert F, Srisupundit K, Luewan S, Traisrisilp K, Jatavan P, Tongsong T. The best cutoff value of middle cerebral artery peak systolic velocity for the diagnosis of fetal homozygous alpha thalassemia-1 disease. Prenat Diagn. 2019;39(3):232–7.

[6]. Wisit Chankhunaphas; Theera Tongsong; Fuanglada Tongprasert; Kasemsri Srisupundit; Suchaya Luewan; Kuntharee Traisrisilp ; Phudit Jatavan Comparison of the Performances of Middle Cerebral Artery Peak Systolic Velocity and Cardiothoracic Diameter Ratio in Predicting Fetal Anemia: Using Fetal Hemoglobin Bart’s Disease as a Study Model. (2021) 48 (10): 738–745.

[7]. Sirinart Sirilert, Fuanglada Tongprasert, Kasemsri Srisupundit, Theera Tongsong,Suchaya Luewan Z Score Reference Ranges of Fetal Cardiothoracic Diameter Ratio PMID: 30208233.

[8]. The Thai Society of Hematology (http://www.tsh.or.th/Knowledge/Details/34).

[9]. Mari G, Deter RL, Carpenter RL, Rahman F, Zimmerman R, Moise KJ, Jr., et al. Noninvasive diagnosis by Doppler ultrasonography of fetal anemia due to maternal red-cell alloimmunization. Collaborative Group for Doppler Assessment of the Blood Velocity in Anemic Fetuses. N Engl J Med 2000 Jan 6;342(1):9-14.

[10]. Ratanasiri T, Komwilaisak R, Sittivech A, Kleebkeaw P, Seejorn K. Incidence, causes and pregnancy outcomes of hydrops fetalis at Srinagarind Hospital, 1996-2005: a 10-year review. J Med Assoc Thai. 2009 May;92(5):594-9.

false