Ultrasound Journal 33 - Use of Smart ERA in diagnosis of Müllerian duct abnormalities

2025-01-14

mullerian-duct-abnormalities-kv-pc

Background:

Müllerian duct anomalies are congenital abnormalities that occur when the Müllerian ducts do not develop correctly. This may happen as a result of complete agenesis, defective vertical or lateral fusion, or resorption failure. They are estimated to occur in 1-5% of all women. There is a higher rate of women with repeated miscarriages (3-15%). Despite these anomalies being common, the majority are asymptomatic. However, patients may present with recurrent miscarriages and infertility.

 

Authors reported a prevalence of Müllerian anomalies in patients with recurrent miscarriages of 54.5% where septated uteri were found to be the most common anomaly and therefore they recommended that Müllerian uterine anomalies should be systematically assessed in patients with recurrent miscarriage.

Use of 3-Dimensional Ultrasound:

Studies have demonstrated that the acquisition of a proper coronal view on three-dimensional ultrasound of the uterine cavity can produce images comparable to MRI, and therefore similar diagnostic accuracy. However, it can be a tedious procedure and operator dependent that requires skillful sonologists of high level of experience and takes a considerable amount of time post-processing and adjusting multi-planar reconstruction views and tuning 3D reconstructed volume image parameters.

Mindray’s Smart ERA:

Mindray’s Smart ERA AI-based technology is the industry’s first fully automated tool that targets these pain points by creating an automatic workflow for endometrial cavity 3D imaging. It starts with automatic scenario recognition, automatic adjustment of the VOI box and automatic rendering to the coronal plane of the uterine cavity with automatic adjustment to the suitable 3D parameters.

 

The Smart ERA software will also differentiate and auto-segment the endometrial cavity from the surrounding myometrium creating a 3D volume reconstruction of the endometrium and will provide automatic measurement of endometrium thickness and volume. It will also provide quantification information and the endometrium vascular print like flow index (FI), vascularization index (VI) and vascular flow index (VFI) which can be useful in endometrial receptivity assessment.

 

In these case series that was provided courtesy of Dr Haissam Aref, Owner and director of Ultra Scan center in Tanta - Egypt. Dr Haissam using Mindray’s Nuewa I9, illustrates the value of using Smart ERA tool in diagnosing Müllerian duct abnormalities and myometrial lesions like sub-mucosal fibroids indenting the endometrium cavity.

 

1. Normal uterus.
Use of Smart ERA in diagnosis of Mullerian duct abnormalities - Normal uterus
2. Arcuate uterus.
Use of Smart ERA in diagnosis of Mullerian duct abnormalities - Arcuate uterus
Smooth indentation of fundal endometrial canal, the depth of indentation is <1 cm.
3. Uni-cornuate uterus.
Use of Smart ERA in diagnosis of Mullerian duct abnormalities - Uni-cornuate uterus
Unicornis-unicolis with no rudimentary horn, type b according to American Fertility Society classification.
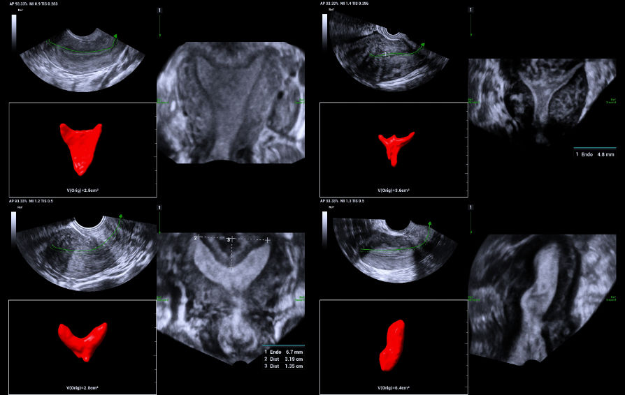
4. Subseptate uterus.
Use of Smart ERA in diagnosis of Mullerian duct abnormalities - Subseptate uterus
The fundal indentation was an acute angle at the central point > 1.5 cm deep. Using iPage+ clearly illustrates the extent of fundal indentation and the single cervix and vagina.
5. Sub-mucosal fibroid indenting the fundal endometrium.
Use of Smart ERA in diagnosis of Mullerian duct abnormalities - Sub-mucosal fibroid indenting the fundal endometrium
Smooth indentation of fundal endometrium giving a similar appearance to arcuate uterus.
false