Ultrasound Journal 29 - Pelvic floor ultrasound application in the follow-up of prosthetic material in the management of stress urinary incontinence

2024-09-13

pelvic-floor-ultrasound-stress-incontinence-kv-pc

Special thanks to Dra. Diana Rodriguez of Clínica del Prado from Colombia, for sharing these cases.

Introduction

Urinary incontinence is a problem that affects about half of the female population at some point in their lives [1]. Stress urinary incontinence (SUI) is defined as the involuntary loss of urine with some physical effort [2], affecting between 30-80% of incontinent patients, causing deterioration in quality of life.

 

Currently, the standard surgical management of SUI is the insertion of a Mid-urethral Sling (MUS), also known as a “sling”, with success rates close to 80% [1]. Introduced in the late 1990s, the polypropylene mesh sling is placed at the sub-urethral level in the area of critical elasticity of the vagina, generating a foreign body reaction and fibrosis, reinforcing the pubourethral ligament, which generates a decrease in urethral mobility and compression around it during increased intra-abdominal pressure, preventing urine leaks with effort. The tape can have 2 vectors depending on the exit point of the distal end of the mesh: towards the obturator foramen (trans obturator [TOT] or horizontal vector) and retropubic (TVT or vertical vector).

 

Surgical complications are low, with reports between 0.4-3.9% [1], the follow-up and treatment of complications after MUS placement is complex and requires a multidisciplinary approach, in which the identification of the position of the MUS and its anatomical relationships, the available literature supports pelvic floor ultrasound (US) as the best tool available for the diagnosis and therapeutic direction of patients with an unexpected response to treatment with MUS. [3–5]

 

In this work, we report two cases in which the satisfactory usefulness of pelvic floor ultrasonography in the evaluation of patients with MUS insertion is evident.

Case report presentation

The studies were performed with a Mindray model Nuewa I9 ultrasound system with a volumetric convex transducer in the supine position and an empty bladder.

 

In the first instance in 2D modality to evaluate the anterior compartment, with ultrasonographic parameters: urethral length (mm), post-void residual (ml), average detrusor thickness (DWT)(mm), bladder neck at rest and in Valsalva, descent of bladder neck (mm), urethral rotation or α angle, retrovesical angle or β angle, presence or absence of funneling, descent of pelvic organs, evaluation of the posterior compartment (presence or absence of rectocele, enterocele or intussusception), evaluation of MUS, location at rest and in Valsalva, GAP sling - pubes in Valsalva. Secondly, in 3-D modality to measure the genital hiatus in maximum Valsalva and finally in 4D - TUI modality to evaluate the Levator ani muscle and the internal and external anal sphincter complex.

 

Case 1:

A 60-year-old woman with 3 pregnancies and 1 abortion presents symptoms related to Stress urinary incontinence (SUI), prolapse, and fecal incontinence with a score of Wexner 10. She has a history of vaginal hysterectomy with Sling.

 

In the 2D scanning, we found the following results: Residual urine of 291ml, mean detrusor wall thickness (DWT) of 3.6mm within normal values. Bladder neck descent 22mm, α angle (URA) of 34°, β angle (RVA) of 67° (closed) and no presence of Funneling. Findings indicating Fixed urethra.

pelvic-floor-ultrasound-stress-incontinence-fig1
Figure 1: Evaluation of anterior compartment

During the evaluation at the periurethral level, an image suggestive of Sling with a horizontal vector (Trans obturator) was found, located in the middle third of the urethral; with the following measures:

 

Distance to the urethra (R) 2mm; distance to urethral meatus 16mm (R), 11mm (Val); distance to bladder neck 11mm (R), 8mm (Val), sling pubis GAP 18mm (R), 14mm (Val). No mesh presence. These findings are indicators of a Sling located at the level of the middle urethral third with measurements within the expected range.

pelvic-floor-ultrasound-stress-incontinence-fig2
Figure 2: Evaluation of trans obturator sling by ultrasound in Rest (left) and Valsalva (right)

In evaluating pelvic organ descent, we obtain bladder neck descent of 17mm below pubic symphysis, uterus N/A, and rectal ampulla 2mm above pubic symphysis. No presence of rectocele and weak pelvic floor muscle contraction.

pelvic-floor-ultrasound-stress-incontinence-fig3
Figure 3: Evaluation of organ descent

In the 3D/4D scanning, the Levator ani muscle status is intact, evaluated by the multi-slice tool iPage in contraction and the measures were: Left GAP 17mm, Right GAP 19mm (Figure 4). The Levator hiatal area in Valsalva was 24cm2 within normal values. (Figure 5)

pelvic-floor-ultrasound-stress-incontinence-fig4
Figure 4: Levator ani muscle evaluation in Contraction with iPage multi-slice tool
pelvic-floor-ultrasound-stress-incontinence-fig5
Figure 5: Levator hiatal area evaluation in Valsalva with Mindray Smart Pelvic tool

In the anal sphincter complex evaluation in 3D by the multi-slice tool, we found an External anal sphincter (EAS) with a defect of 108° in 4/6 of slides and an Internal anal sphincter (IAS) with a defect of 100° in 4/6 slides.

pelvic-floor-ultrasound-stress-incontinence-fig6
Figure 6: Evaluation of EAS & IAS with multi-slice tool iPage

Findings summary: Levator ani muscle intact, significant defect of the anal sphincter. Anterior compartment prolapse (recurrent). Residual urine is abnormal, detrusor wall thickness is normal, and low mobility in the urethra. Sling is suitable located and functional.

Case 2:

A 58-year-old woman with a history of 5 pregnancies presents symptoms of mixed urinary incontinence and symptoms of prolapse. She has a history of pelvic floor surgery with insertion of a mid-urethral sling (MUS).

 

Findings on 2D evaluation were as follows: Post-void residual 15 ml, increased DWT (5.9 mm). (Figure 7. a) Descent of bladder neck 14mm, α angle of 22°, β angle 93° (closed), and absence of funneling (Figure 7. b), indicative of FIXED URETHRA.

pelvic-floor-ultrasound-stress-incontinence-fig7
Figure 7: Evaluation of the anterior compartment 1. a) Urinary residue and DWT; 1. b) Descent of bladder neck and angles using Mindray Smart Pelvic

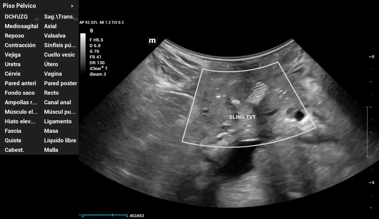
A periurethral evaluation was performed with an image suggestive of a MUS with a vertical vector (TVT), located at the junction of the middle and external urethral thirds (Figure 8).

 

The evaluation parameters of the MUS were: distance to the urethra 5mm (R); distance to the urethral meatus 4mm (R), 3mm (Val); distance to the bladder neck 16mm (R), 13mm (Val); pubic sling gap 17mm (R), 14mm (Val). No presence of prolapse mesh.

pelvic-floor-ultrasound-stress-incontinence-fig8
Figure 8: Presence of vertical vector sling (TVT) evaluated with HD Scope tool

During the evaluation of pelvic organ descent, the following was documented: descent of the bladder neck by 10mm below the pubic symphysis, absent uterus, and rectal ampulla 16mm below the pubic symphysis. No presence of rectocele and weak contraction of pelvic floor musculature.

 

In the 3D/4D exploration mode, the Levator ani muscle was observed intact. In the tomographic or multi-slice ultrasound evaluation (iPage) during contraction, the following measurements were obtained: left GAP 24mm, right GAP 25mm (Figure 9. a). The area of the Levator hiatus during Valsalva was 30cm2 with moderate ballooning (Figure 9. b).

pelvic-floor-ultrasound-stress-incontinence-fig9
Figure 9: Levator ani muscle evaluation: 3. a during Contraction, 3. b during Valsalva

In the evaluation of the sphincter complex (EAS/IAS) in 3D using the multi-slice mode, it was observed to be intact.

 

Summary of findings: Intact Levator ani muscle (MEA) with moderate ballooning of the Levator hiatus area. Intact anal sphincter. Significant prolapse of the anterior compartment: normal urinary residue, fixed urethra, vertical vector TVT sling 4mm from the urethral meatus, possibility of contact with urethral mucosa cannot be ruled out.

Discussion

Ultrasound (US) allows determining the location of the MUS and its relationship with pelvic floor structures through dynamic measurement parameters [6]. A typical example is the distance between the pubic symphysis (sling GAP - pubis) and its direct correlation with the corrective functional performance of stress urinary incontinence (SUI) [7]. It serves as a confirmatory study of the pelvic floor surgical history involving prosthetic materials, enabling the investigation of new urinary symptoms and pelvic pain, as well as the possibility of determining possible structural changes by describing the morphology adopted by tapes and meshes [8]. Similarly, it allows associating the location of MUS with voiding disorders, improving the identification of patients at risk of developing micturition disturbances and those who will require reintervention [9].

 

Among the most frequent early complications of MUS are bladder perforation (0.4-3.9%), extrusion (0.4-1.5%), and pelvic hematoma (0.5-1.9%). Long-term complications include approximately 21.3% of patients with TOT requiring reintervention due to urinary retention or micturition dysfunction caused by tension adjustments in the tape [10]. These conditions can be adequately assessed using a dynamic and readily available imaging tool such as ultrasound (US), which is the imaging modality of choice [3].

 

In the cases presented, the ultrasonographic approach performed with the Mindray Nuewa I9 system satisfactorily allowed the identification of all desired parameters, effectively discriminating the anatomical planes of interest and the morphology adopted by the MUS, as well as other associated incidental findings such as muscle plane injuries. This is a result of the ongoing technological development of both hardware and software.

Conclusion

Pelvic floor ultrasound emerges as the preferred tool for diagnostic support in disorders related to urinary incontinence surgery, particularly where prosthetic materials such as tapes or slings (MUS) have been inserted, as it is the only modality capable of reliably visualizing these components. These examinations must be performed by pelvic floor specialists proficient in performing ultrasound and interpreted by those familiar with its significance. It should be a complementary study to the patient's medical history, physical examination, and other investigations that assist in individualized management planning for the patient. There is an increasing need for standardization in terminology and measurement techniques to enable consistent and comparable reporting.

References

[1]. Ford AA, Rogerson L, Cody JD, Aluko P, Ogah JA. Mid‐urethral sling operations for stress urinary incontinence in women. Cochrane Database Syst Rev [Internet]. 2017 [cited March 11, 2023] ;(7). Available from: https://www.cochranelibrary.com/cdsr/doi/10.1002/14651858.CD006375.pub4/full

[2]. Haylen BT, de Ridder D, Freeman RM, Swift SE, Berghmans B, Lee J, et al. An International Urogynecological Association (IUGA)/International Continence Society (ICS) joint report on the terminology for female pelvic floor dysfunction. Int Urogynecology J. January 1, 2010;21(1):5-26.

[3]. Duckett J, Thakar R, Shah V, Stephenson J, Balachandran A. The Use of Imaging for Synthetic Midurethral Slings. J Ultrasound Med. 2020;39(8):1497-506.

[4]. Clark E, Wermuth DE, Oliver J, Sheridan A. Translabial Ultrasound: An Effective Modality for Evaluation of Midurethral Sling Revision. Ultrasound Q. December 2022;38(4):316-21.

[5]. Wermuth DE, Sheridan A, Oliver J, Glanc P, Khatri G, Bagley A, et al. Translabial Ultrasound for Assessment of Synthetic Midurethral Sling Complications. Ultrasound Q. September 2021;37(3):237-43.

[6]. Shek KL, Dietz HP. Ultrasound imaging of slings and meshes in urogynecology. Ultrasound Obstet Gynecol. 2021;57(4):526-38.

[7]. Pędraszewski P, Wlaźlak E, Wlaźlak W, Krzycka M, Pająk P, Surkont G. The role of TVT position in relation to the pubic symphysis in eliminating the symptoms of stress urinary incontinence and urethral funneling. J Ultrason. November 2019;19(78):207-11.

[8]. Taithongchai A, Sultan AH, Wieczorek PA, Thakar R. Clinical application of 2D and 3D pelvic floor ultrasound of mid-urethral slings and vaginal wall mesh. Int Urogynecology J. September 1, 2019;30(9):1401-11.

[9]. Pawlaczyk A, Wąż P, Matuszewski M. Introital ultrasound in the diagnosis of lower urinary tract symptoms following anti-incontinence surgery using a synthetic mid-urethral tape. Int Urogynecology J. September 1, 2019;30(9):1503-8.

[10.] Grigoryan B, Shadyan G, Kasyan G, Pushkar D. Adjustable slings versus other surgical methods in female stress urinary incontinence: a systematic review and meta-analysis. Int Urogynecology J. July 1, 2023;34(7):1351-67.

false