Intelligent Partner: Zone Intelligence of Resona 7

Mindray 2017-06-19

pc45-s1

Ongoing changes and challenges of human healthcare continue to seek for more valuable medical solution to emerge in, and evolving to be more innovative and appropriate. Possessing the unique cognitive abilities of learning, clinical expertise, is the core to pierce the veil of unknown medical field and make breakthrough defeating disease, safeguarding human healthcare.

 

However, under today’s demanding and overburden hospital environment, clinical expertise is always precious, needing an intelligent partner for enhanced diagnosis confidence and efficiency.

 

pc45-s2-2

Over years, Mindray has been continuously exploring new ways to improve diagnostic confidence. In virtue of the positive impact of intelligent partner, we have a humble yet ambitious start, a living imaging platform growing into more intelligent applications, to assist clinical expertise.

 

 

Resona 7 ultrasound system with Zone Intelligence, is evolving to provide a total solution to improve diagnostic confidence, efficiency, and standardization across different diagnostic challenges.

 

What is Zone Intelligence of Resona 7?

Powered by advanced acoustic acquisition, channel data storage and living technology with software based processing, the revolutionary ZST+ platform lays a solid foundation for Zone intelligence. With accurate image quality originated from the platform, Zone Intelligence builds up a truly smart mechanism by deep learning based on clinical expertise and raw data. Thereafter, it is able to provide multiple intelligent retrospective processing, leading to efficient and effective image visualization, plane recognition, measurement, and image enhancement. In consequence, Zone Intelligence establish, able to facilitate clinical experts for enhanced diagnostic confidence.

pc45-s2-3

Zone Intelligence Turned to Clinical Approach

 

Intelligent Visualization

 

Smart Face

In cases, it's always time and energy consuming for clinical experts to get an optimal view of fetal face. Occlusions such as cord, placenta, uterus, and extremities could slow down daily work and disturb the OB exams frequently. Now, with simply one-touch operation of Resona7 Smart Face, instant removal of occlusions in the volume data and elimination unwanted noise information is achieved, minimizing the scanning effort and allowing fast and intelligent optimization for fetal face.

pc45-s3-1

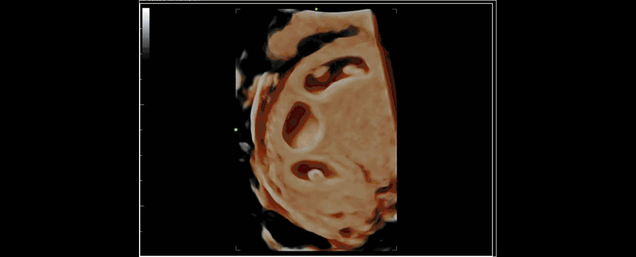
New iLive with Hyaline

Hyaline is a new rendering method that dynamically applies transparency to render structures from a solid surface. In below case, clinical experts could catch 4 sacs after Hyaline application instead of 3 sacs before. The comprehensive upgraded iLive with Hyaline significantly improves the detailed resolution as well as anatomical realism, obtaining more diagnosis information.

pc45-s3-2

Intelligent Plane Recognition

 

Smart Planes CNS

Previously, clinical experts may experience the challenge of MSP plane acquisition from fetal central nerve system under rounds of scanning. Now, by simply hitting the button, a 3D fetal brain volume image, the standard CNS scanning planes and a range of related anatomical measurements could be obtained immediately. More accuracy coupled with automated operation, Zone Intelligence, brings out a faster diagnosis for experts this time.

pc45-s3-3

Smart Planes FH

With extremely simple user-interaction of defining one point, Smart Planes for intelligent fetal heart, allows fully automatic and accurate detection of six most important fetal cardiac planes in the meanwhile. It helps standardize the orientation of the fetal heart images, which enhance diagnostic confidence greatly.

pc45-s3-4

Intelligent Measurement

 

Smart Pelvic

Mindray ultrasound solution for pelvic floor diagnosis generates a standard coordinate system and automatically provides all related measurements within a few seconds. A new solution greatly simplifies experts' operation procedures, and minimizes the exam time for a standardized evaluation on pelvic floor.

p45-video1
p45-video2

Smart FLC

Smart FLC automatically detects the number of follicles and calculates each volume from a 3D ovarian volume image. Zone Intelligence, instantly provides clinical experts anaccurate assessment of all follicles, assuring their quality in rank.

pc45-s4-1

Intelligent Enhancement

 

HD Scope

Powered by updated channel data processing, HD Scope greatly improves imaging clarity and enhances internal structure contrast for a specific region of interest. Without any adjustment on imaging parameters, border comes out clearer with more detailed information.

pc45-s4-2

Sound Speed Compensation

By retrospectively analyzing complete channel data stored in channel data memory, SSC is able to intelligently choose the optimal sound speed to improve image accuracy even with tissue variation, allowing for adaptive tissue-specific optimization. Regardless of the patients' figure, the information is no more coming from a general detection. Providing excellent spatial and contrast resolution, it significantly enhances detailed information for clinical experts.

pc45-s4-3

With all the clinical application from Zone Intelligence, Resona 7, is redefining a new standard of image performance to meet the needs of the changes and challenges of human healthcare.

pc45-s5

Mindray believes medical expertise is a key to advancing innovation. This is why our technology is always relevant. The Resona 7 Ultrasound System is not only more accurate but has important applications in both clinical research and diagnosis. Zone Intelligence, aiming at liberating clinical expert for enhanced diagnostic confidence and efficiency, is able to enable, engage and enhance the clinical expertise for more.

 

 

Click “Read More” to envision more about Resona 7 ultrasound innovation system.

 

 

Further reading:

See more about ZONE Sonography technology plus platform :

Breaking out of the Image Quality Dilemma

 

Find out more about Resona 7 revolutionary innovation:

How does Resona 7 lead new waves in ultrasound innovation?