Ultrasound Journal 30 - Fetal Body Stalk Anomaly Diagnosis

2024-10-24

Special thanks to Dr. Erasmo Huertas Tacchino, Dr. Walter Castillo Urquiaga - Instituto Nacional Materno Perinatal. Lima-Perú, for sharing these cases.

Case Report

A woman of 22 years old, first pregnancy, marital status domestic partner, level education secondary schooling. The medical history includes a laparoscopic cholecystectomy 3 years ago and the first sexual relationship at the age of 15. The patient went to the Fetal Medicine Service of the Perinatal Maternal National Institute with a private ultrasound exam in which they consider a 9-week gestation + pleural effusion, so she was scheduled for a transvaginal ultrasound, which was performed with an Ultrasound System, model Nuewa I9 (Mindray) with an endocavitary volume transducer DE11-3Ws, observing a 26 mm CRL embryo, with cardiac activity of 171 B.P.M. who presents anencephaly (Figure 1), omphalocele (Figure 2), ectopia cordis (figure 3), hydrothorax and scoliosis (figure 4); Therefore, Body stalk is diagnosed, suggesting the interruption of the pregnancy as there is no prognosis for extrauterine life.

Anencephaly

Figure 1: Anencephaly

Omphalocele

Figure 2: Omphalocele

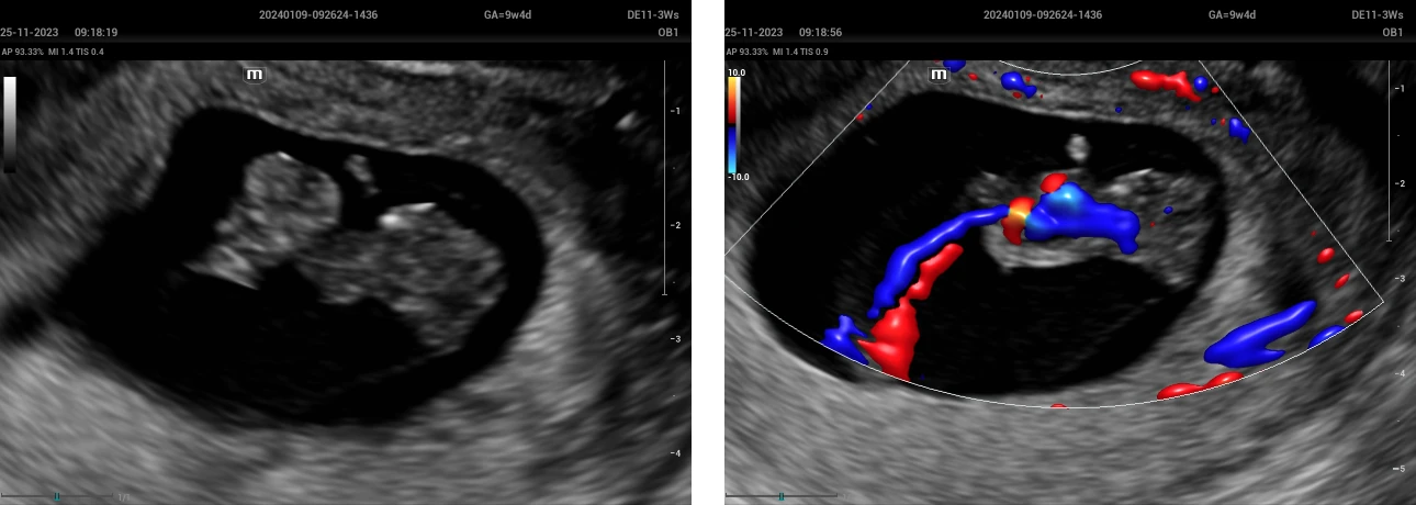
Ectopia cordis
Figure 3: Ectopia cordis
Kyphoscoliosis

Figure 4: Kyphoscoliosis

Fetus of 9w in 3D mode, using the virtual light rendering iLive Pro by Mindray

Figure 5: Fetus of 9w in 3D mode, using the virtual light rendering iLive Pro by Mindray

The patient goes to the outpatient office where her pre-surgical exams are requested. Hemoglobin: 12.4, Group: O +, Normal urinary sediment.

 

Because of the diagnosis, it was decided to end pregnancy. The procedure was performed 11 days after the ultrasound diagnosis at 11 weeks without complications, so she was discharged the next day.

Discussion

The Body stalk anomaly, also denominated Limb Body wall complex, refers to serious congenital malformations affecting several parts of the fetal body. This condition is uncommon and is characterized by abnormalities in the extremities (limb), thoraco-abdominal wall (body wall), and often also involves malformations in other internal organs.

 

According to Van Allen et al. (1987) [15], two of the following three anomalies must be present to diagnose Body stalk: (1) exencephaly/encephalocele with facial clefts, (2) thoraco- and/or abdominoschisis, and (3) limb defects. However, there is no consensus on the diagnostic criteria for this entity, which can include a wide spectrum of other important malformations [9], such as intestinal atresia, renal agenesis, anorectal malformations, short umbilical cord, kyphoscoliosis, coelomic cavity. persistent extraembryonic disease among the most frequent, which has raised the discussion [16] whether it should be classified as ATC (site of herniation in coelomic cavity + short/absent umbilical cord, without ectopia cordis + kyphoscoliosis) or Pentalogy of Cantrell (site of herniation in amniotic cavity + normal floating umbilical cord + ectopia cordis + absence of kyphoscoliosis). Body stalk is a lethal anomaly and affected pregnancies are currently commonly terminated [11].

 

The prevalence of Body stalk according to recent European studies is only 0.34 x every 10,000 pregnancies [3], although as they mention it probably represents an underestimation of the real prevalence. The ultrasound prevalence according to the publication by Daskalakis (1997) [5] is higher, amounting to 1 in every 7,500 pregnancies between 11 and 14 weeks, probably due to the high incidence of spontaneous abortion in the second trimester and/or termination of pregnancy due to its lethality.

 

Body stalk etiology is unknown to date, although several theories are postulated such as a defect in the amniotic sac that allows the passage of fetal parts to the coelomic cavity, another theory is that of abnormal embryonic folding (embryo dysgenesis) that produces a failure in the closure of the coelomic cavity and an abnormal formation of the amniotic sac. A third theory is the early alteration of embryonic blood flow that produces a failure in the closure of the ventral wall and persistence of the coelomic cavity [5,15], however, the etiology may be heterogeneous with several or all of the proposed theories being responsible for its genesis [3]. Finally, a genetic cause could be present [7].

 

One of the risk factors for this pathology is multiple pregnancies, especially monozygotic, which increases its incidence to 12.5%  [8], others proposed are young maternal age, an average of 23 years, [10] and maternal cocaine use [5].

 

The diagnosis can be made at 9 weeks of gestational age using transvaginal ultrasound (Becker, 2000) [2], although it is more frequently detectable between 11 and 21 weeks of gestation [13]. MRI is also useful as a complement to ultrasound for the identification of Body stalk between 17 and 24 weeks [1] because before this GA is too early to perform MRI.

The finding of scoliosis associated with thoracic / abdominoschisis helps a lot in the identification of this condition since it is observed in up to 75% of reported cases [8]. Two phenotypes have been described [12], the first presents craniofacial anomalies associated with cranio-placental adhesion, and the second phenotype called placenta-abdominal presents urogenital anomalies and anal atresia.

 

Body stalk differential diagnosis is with omphalocele, gastroschisis, pentalogy of Cantrell, bladder exstrophy, amniotic band syndrome, Beckwith-Wiedemann syndrome, and the OEIS complex (omphalocele, cloaca exstrophy, imperforate anus, and spinal defects). [11,14] The differential diagnosis of Amniotic Band Syndrome is even more difficult since many of the ultrasound findings overlap (Bergman, 2023).

 

There is no successful therapy available for Body stalk, so pregnancy termination is recommended to avoid possible complications in the mother since the condition is invariably lethal in the fetus [14]. However, in cases where this option is not legally possible or is not accepted by the patient, routine prenatal care should be continued and an elective cesarean section scheduled at term to avoid dystocias during delivery [4]. In the rare situation of limited postnatal survival of a Body stalk-affected newborn, only comfort care is indicated.

 

Usually, fetuses affected by Body stalk condition have a normal karyotype and therefore is not necessary to perform routine karyotyping in these cases [13].

 

An increased risk of recurrence of this condition has not been reported [4,6,14] so it is considered a sporadic disorder.

 

Prenatal diagnosis of Body stalk and its differentiation from other potentially treatable abdominal wall defects is crucial for counseling parents about pregnancy prognosis.

Summary

  1. Body stalk anomaly is an extremely rare and severe fetal malformation involving anomalies of the limbs, thoracoabdominal wall, and internal organs, with scoliosis being a key finding.
  2. Body stalk diagnosis can be made early from 9 weeks of gestational age with a transvaginal and multimodal approach (2D + volumetric + Doppler)
  3. A routine karyotype is not necessary in these cases since affected fetuses usually have a normal karyotype.
  4. There is no successful therapy available for Body Stalk so pregnancy termination is recommended as it is invariably considered lethal.
  5. An increased risk of recurrence of this condition has not been reported, which is why it is considered a sporadic disorder.
  6. Early detection of this malformation can provide information on life prognoses and allow the option of therapeutic interruption of pregnancy when the maternal mental and physical health status is threatened.

References:

[1]. Aguirre-Pascual, E., Epelman, M., Johnson, A.M. et al. Prenatal MRI evaluation of limb–body wall complex. Pediatr Radiol 44, 1412–1420 (2014). https://doi.org/10.1007/s00247-014-3026-9

[2]. Rolf Becker, Sanyukta Runkel, Michael Entezami; Prenatal Diagnosis of Body Stalk Anomaly at 9 Weeks of Gestation: Case Report. Fetal Diagn Ther 1 October 2000; 15 (5): 301–303. https://doi.org/10.1159/000021025

[3]. Bergman, J. E. H., Barišić, I., Addor, M.-C., Braz, P., Cavero-Carbonell, C., Draper, E. S., Echevarría-González-de-Garibay, L. J., Gatt, M., Haeusler, M., Khoshnood, B., Klungsøyr, K., Kurinczuk, J. J., Latos-Bielenska, A., Luyt, K., Martin, D., Mullaney, C., Nelen, V., Neville, A. J., O'Mahony, M. T., … de Walle, H. E. K. (2023). Amniotic band syndrome and limb body wall complex in Europe 1980–2019. American Journal of Medical Genetics Part A, 191A: 995–1006. https://doi.org/10.1002/ajmg.a.63107

[4]. Body-Stalk Anomaly. In: Bianchi DW, Crombleholme TM, D'Alton ME, Malone FD. eds. Fetology: Diagnosis and Management of the Fetal Patient, Second Edition. McGraw-Hill Education; 2010. Accessed June 04, 2024. https://obgyn.mhmedical.com/content.aspx?bookid=1306&sectionid=75206751

[5]. Daskalakis, G., Sebire, N.J., Jurkovic, D., Snijders, R.J.M. and Nicolaides, K.H. (1997), Body stalk anomaly at 10–14 weeks of gestation. Ultrasound Obstet Gynecol, 10: 416-418. https://doi.org/10.1046/j.1469-0705.1997.10060416.x

[6]. Foundation TFM. The Fetal Medicine Foundation. Accessed June 4, 2024. https://fetalmedicine.org/education/fetal-abnormalities/abdominal-wall/body-stalk-anomaly

[7]. Gajzer, D. C., Hirzel, A. C., Saigal, G., Rojas, C. P., & Rodriguez, M. M. (2015). Possible Genetic Origin of Limb-Body Wall Complex. Fetal and Pediatric Pathology, 34(4), 257–270. https://doi.org/10.3109/15513815.2015.1055021

[8]. Ginsberg, N.E., Cadkin, A. and Strom, C. (1997), Prenatal diagnosis of body stalk anomaly in the first trimester of pregnancy. Ultrasound Obstet Gynecol, 10: 419-421. https://doi.org/10.1046/j.1469-0705.1997.10060419.x

[9]. Martínez-Frías, M.L. (1997), Epidemiological characteristics of amniotic band sequence (ABS) and body wall complex (BWC): Are they two different entities?. Am. J. Med. Genet., 73: 176-179. https://doi.org/10.1002/(SICI)1096-8628(19971212)73:2<176::AID-AJMG12>3.0.CO;2-N

[10]. Martínez-Frías, M.L., Bermejo, E. and Rodríguez-Pinilla, E. (2000), Body stalk defects, body wall defects, amniotic bands with and without body wall defects, and gastroschisis: Comparative epidemiology. Am. J. Med. Genet., 92: 13-18. https://doi.org/10.1002/(SICI)1096-8628(20000501)92:1<13::AID-AJMG3>3.0.CO;2-

[11]. Redondo De Oro, K., Redondo Bermúdez, C., Mendoza Suárez, L., Robles Pérez, K., Rueda Tamayo, L., y Gómez Villa, J. (2020). Anomalía del tallo corporal fetal. Revista Ciencias Biomédicas, 5(1), 134–138. https://doi.org/10.32997/rcb-2014-2898

[12]. Russo, R., D'Armiento, M., Angrisani, P. and Vecchione, R. (1993), Limb body wall complex: A critical review and a nosological proposal. Am. J. Med. Genet., 47: 893-900. https://doi.org/10.1002/ajmg.1320470617

[13]. Smrcek, J.M., Germer, U., Krokowski, M., Berg, C., Krapp, M., Geipel, A. and Gembruch, U. (2003), Prenatal ultrasound diagnosis and management of body stalk anomaly: analysis of nine singleton and two multiple pregnancies. Ultrasound Obstet Gynecol, 21: 322-328. https://doi.org/10.1002/uog.84

[14]. Socolov D, Terinte C, Gorduza V, Socolov R, Puiu JM. (2009), Limb body wall complex-case presentation and literature review. Rom J Leg Med17(2)133-138. DOI:10.4323/rjlm.2009.133

[15]. Van Allen, M.I., Curry, C., Gallagher, L. and Reynolds, J.F. (1987), Limb body wall complex: I. Pathogenesis. Am. J. Med. Genet., 28: 529-548. https://doi.org/10.1002/ajmg.1320280302

[16]. Nagase H, Ohyama M, Yamamoto M, et al. Prenatal ultrasonographic findings and fetal/neonatal outcomes of body stalk anomaly. Congenit Anom. 2021; 61: 118–126. https://doi.org/10.1111/cga.12412

false