Episode III: Excellence through eXceptional Intelligence

Mindray 2018-07-12

pc33-s1@web

Some say that you can't have it both ways. When it comes to an ultrasound system, one has to choose between superior speed and optimum images. Yet Mindray begs to differ. Committed to advancing healthcare technologies, the innovator has been striving to deliver both efficiency and confidence in clinical diagnosis, in an exceptionally user-friendly manner.

pc33-s2@web

One of Mindray's essential approaches to strike a perfect balance between speed and precision is eXceptional Intelligence, which is also the second component of X-Insight’s “3X” strategy.

 

Based on in-depth research into clinician's usage patterns and real-life clinical cases, Mindray develops a profound understanding of sonographers' crucial needs. The combination of the insights with cutting-edge technologies endows X-Insight with the ability to function intelligently, taking ultrasound imaging performance to the next level.

pc33-s3@web

Keeping pace with this era of smartness, the innovative solution provides intelligent exams throughout the entire workflow, from plane acquisition to image optimization, and from calculation to exam protocol, with rich tools such as Smart Planes CNS, Smart Face, Auto EF, iWorks and more, improving scanning efficiency while ensuring accuracy and consistency.

 

 

Smart Planes CNS

Accuracy with smart acquisition

 

Previously, it could be a challenge to acquire the MSP from fetal central nerve system, especially for a fresh hand, who might find the difficulty in recognizing some views of the anatomy from a totally unfamiliar display very daunting initially. Even for experts it’s never an easy job. According to a report, it usually takes a skilled sonographer between 65 and 186 sec to manually acquire the MSP (Yang J, Yuan J & Qu X, 2012).

 

To boost the efficiency, Mindray has developed a remarkably easier way to get it done.

pc33-s4@web

Just acquire the 3D dataset of the fetal head and hit a button, then the standard CNS scanning planes (MSP, TCP, TTP and TVP) are obtained automatically. If you press Auto Measure, a range of anatomical measurements (BPD, HC, OFD, TCD, CM and LVW) will be displayed immediately with outstanding accuracy, within a second. The entire process takes less than a minute yet the images are of even higher quality than those acquired in the conventional method.

 

 

Smart Face

Simplicity with auto image optimization

 

Compared with MSP acquisition, it is not necessarily easier to get an optimal view of fetal face as moms-to-be expect by the traditional approach, since the fetus is rarely in a perfect position for scanning. Occlusions such as cord, placenta, and extremities can disturb OB exams frequently and prolong the clinician's schedule.

pc33-s5@web

Now, with the simple one-touch operation of Smart Face, removal of occlusions in the volume data and elimination of unwanted noise information are fulfilled instantly, minimizing the scanning effort and allowing fast and intelligent optimization for fetal face. It’s a real time saver for skilled sonographers, and a helpful facilitator for less experienced operators.

 

 

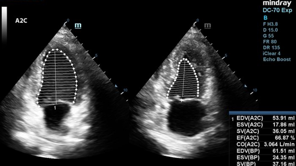
Auto EF

Productivity with auto calculation

 

To help cardiologists evaluate left ventricle function more productively, X-Insight enables Auto EF, an intelligent way to recognize diastolic and systolic frames by analyzing 2D echo clips, with or without ECG. It also outputs a series of measurements alongside the image using the Simpson method, such as EDV, ESV, EF, etc.

pc33-s6@web

During a cardiac exam, all the clinician needs to do is acquire the cardiac image and hit a few buttons. ECG is a plus but not a must. Auto EF will take care of the rest. It recognizes A2C or A4C and the border of endocardium immediately and identifies diastole and systole frames. With the calculation done accurately by its powerful algorithm, all the numbers you need are readily available for speedy and confident diagnosis in no time.

 

Coupled with fully automated operation, this user-friendly tool ensures accurate diagnosis, improved through-put, and reduced user dependency.

 

 

iWorks

Consistency with exam protocol

iWorks is a workflow automation tool that significantly speeds up routine exams for all applications through preset protocols. When such an automated workflow is launched, clinicians only need to scan and save images following the on-screen prompt, with no need to switch the mode between steps.

 

This handy feature is further enhanced with user-customization capabilities. Apart from standard workflows and protocols, iWork allows clinicians to create new protocols and customize workflows.

pc33-s7@web

By minimizing the number of manual key strokes, this intelligent interaction method slashes the exam time by up to 50% for extraordinary efficiency. Moreover, by standardizing exam procedures with the protocols, iWorks also helps ensure consistency across all exams by all users.

 

 

With smart tools and automatic features through the entire workflow, X-Insight delivers a superb experience for clinical experts in daily practice. We believe that a powerful ultrasound system has to be sophisticated, but not necessarily complicated. Leveraging advanced technologies and eXceptional Intelligence, X-Insight transforms an ultrasound system into a capable facilitator in clinical diagnosis.

 

 

Reference:

 

Yang J, Yuan J, Qu X, Three-dimensional ultrasound visualization for fetal corpus callosum and cerebellar vermis midline image, China Journal of Medical Imaging Technology, 2012.

 

 

To learn more about X-Insight, stay tuned with us for the next episode.

 

 

Further Reading:

 

Episode II: eXpress Clarity for effortless efficiency

 

Episode I : A story origins from Insight

pc33-s8@web