Episode II: eXpress Clarity for effortless efficiency

Mindray 2018-05-29

pc32-s1

In daily practice, clinical experts are often tasked with an overwhelming workload of routine ultrasonic exams, which requires them to minimize the time spent on each test but still get confidence-maximizing images. For them, nothing can be more helpful than the ability to get quality images within minutes.

 

Inspired by insights into clinical needs, X-Insight takes a revolutionary approach that involves three "X"es — eXpress Clarity, eXceptional Intelligence and eXceeding Performance — to deliver high efficiency with precision imaging. To achieve the first "X", X-Insight employs three tactics allowing more clarity at hand for clinicians: thunder-speed imaging, "Touch and Bingo" and superb visualization.

pc32-s2@web

Thunder-speed imaging

powered by X-Engine

 

Based on X-Engine, a hardware architecture incorporating GPU and CPU, X-Insight enables multi-core parallel processing for fast imaging. With the advanced powerhouse, the processing speed is tripled or even quadrupled compared with the traditional approach, resulting in extremely fast imaging for 3D/4D and other applications.

pc32-s3@web

“Touch and Bingo”

with premier probes

 

Combining premier 3T single crystal and ComboWave transducers, X-Insight presents a full-ranged transducer solution for all clinical applications. As long as the appropriate probe is chosen, clinical experts can easily approach the target part of the body and get superior images the moment the probe touches the patient.

pc32-s4@web

Single crystal transducers with 3T technology

Mindray's unique single crystal transducers with 3T technology

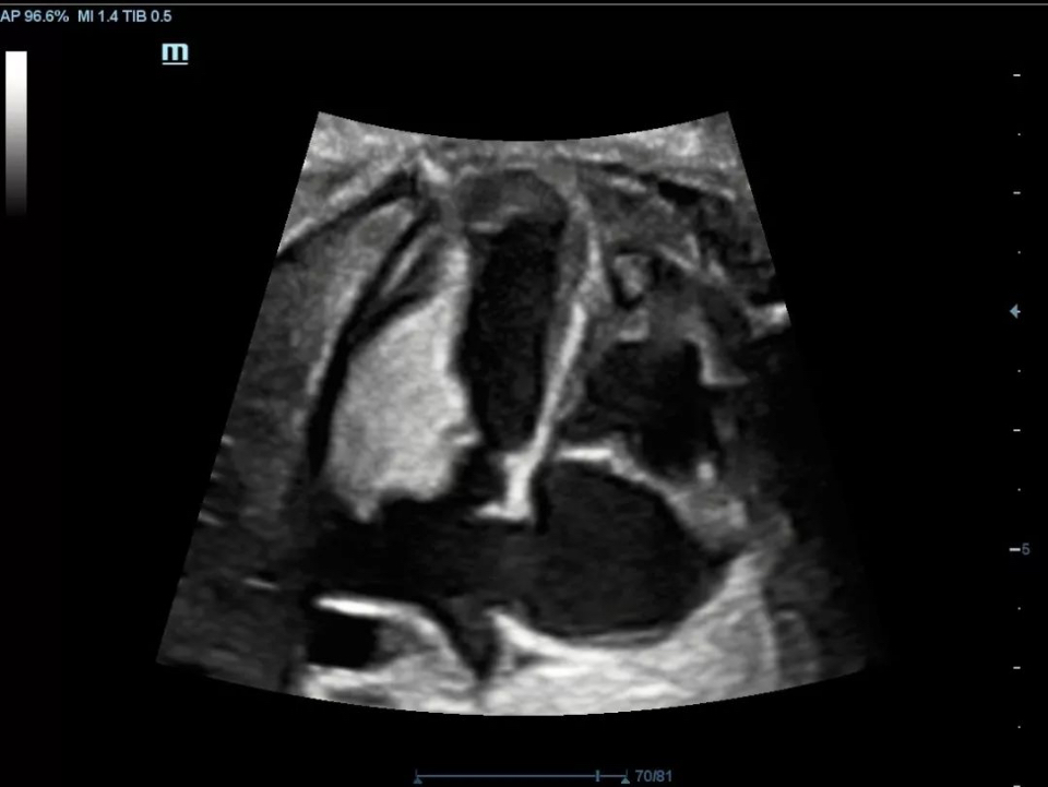
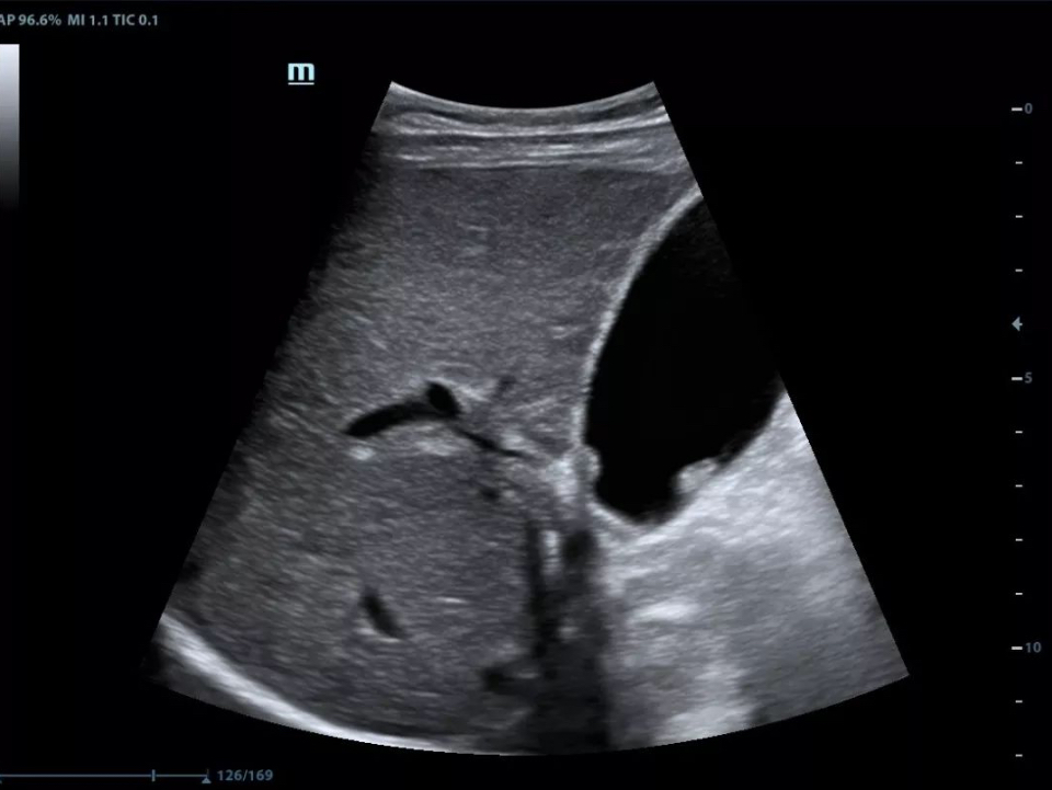
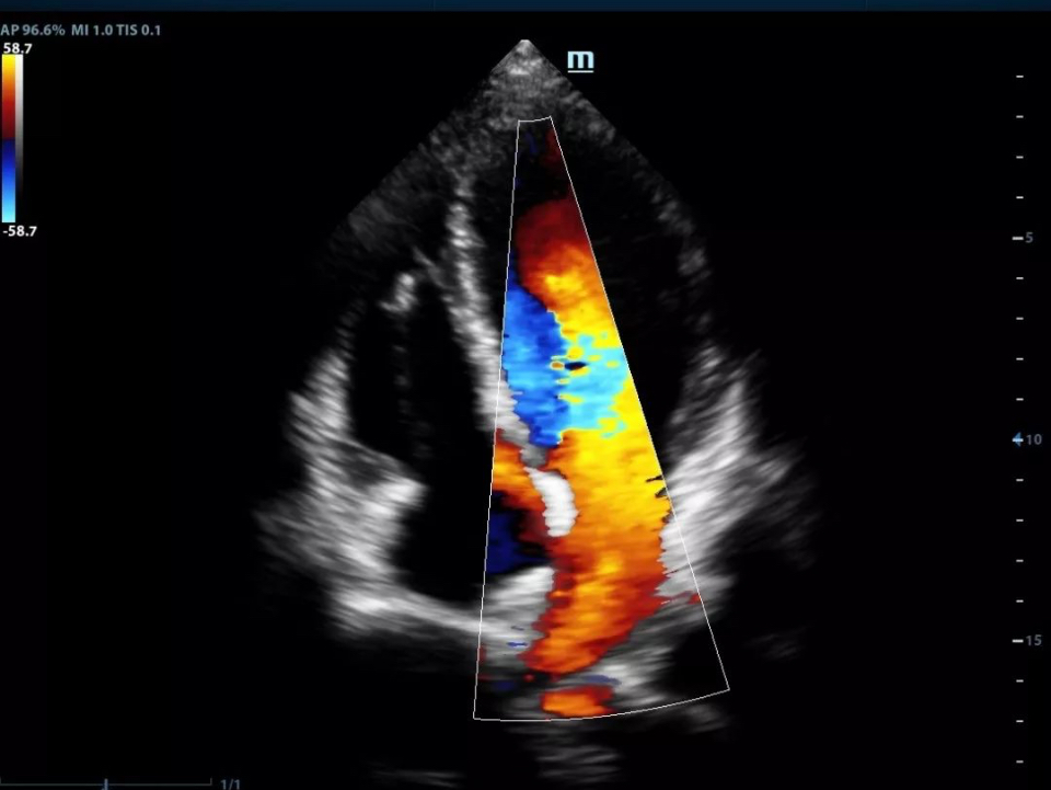
(Triple-matching layers, Total-cut design and Thermal control) provide a wider bandwidth to simultaneously offer better penetration and higher resolution. Integrating the brand-new single crystal volume, convex and phased array transducers with the system, X-Insight makes an optimum scanning solution in OB/GYN, ABD, Cardiology, and more.

pc32-s5@web
Gallbladder polyp
pc32-s6@web
Fetal heart sclerosis
pc32-s7@web
Four chamber view

ComboWave Transducer Technology

 

X-Insight provides ComboWave linear transducers for thyroid, breast, vascular and other applications. The transducers utilize a new type of composite piezoelectric material to dramatically optimize the acoustic spectrum and reduce acoustic impedance, allowing clinical experts to experience outstanding performance with extreme image resolution and uniformity.

pc32-s8@web
HR flow of breast tumor
pc32-s9@web
Nodular goiter

Superb visualization

with Hyaline

 

Apart from the speedy hardware structure and premier transducers, X-Insight also significantly optimizes its software to improve scanning efficiency by upgrading iLive to Hyaline — a new rendering method that dynamically applies transparency to rendered structures for a more comprehensive view of anatomy, therefore better displaying internal anatomy from a solid surface. It remarkably improves the detail resolution as well as the anatomical realism of the images.

pc32-s10@web
7W embryo 3D with Hyaline
pc32-s11@web
Fetal spine with Hyaline

With imaging speed accelerated by X-engine, connectors enhanced by cutting-edge transducer technologies, and software performance optimized by Hyaline, X-Insight enables eXpress clarity, delivering a superb experience for clinical experts in daily practice.

 

The future of patient care and clinical requirements are vastly changing. With ultrasound technology constantly evolving, Mindray is listening to the voice of customers, and providing the most advanced solution for high efficiency with precision imaging.

 

To learn more about X-Insight, stay tuned with us for the next episode.

 

 

Further Reading:

Episode I: A story origins from Insight

pc32-s12@web